Имплантация с имплантом Adin
19 900 ₽
Имплантация «все на 4-х»
от 181 000 ₽
Скидка 20% на лечение кариеса
-20%
Протезирование со скидкой 20%
-20%
Наш адрес в Санкт-Петербурге
Режим работы:
Пн-Вс с 9:00 до 21:00, без перерыва и выходных
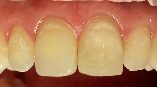
Как опытный стоматолог, я часто сталкиваюсь с пациентами, у которых откололся зуб. Важно знать, что в большинстве случаев ситуацию можно исправить.

В этой статье я расскажу, что делать, если у вас откололся зуб, и как действовать в различных ситуациях.

Первые действия

Если у вас откололся зуб, сохраняйте спокойствие, все поправимо, и следуйте этим шагам:

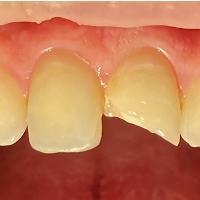
а) Оцените ситуацию. Определите, насколько большая часть зуба откололась. Это может быть небольшой скол эмали или крупный фрагмент, обнажающий дентин или пульпу.

б) Сохраните отколовшийся фрагмент. Если возможно, найдите и сохраните отколовшийся кусочек зуба. Поместите его в чистый контейнер с молоком, физиологическим раствором или слюной. В некоторых случаях его можно будет использовать для реставрации.

в) Прополощите рот. Аккуратно прополощите рот теплой водой. Это поможет очистить область повреждения и уменьшить риск инфекции.

г) Защитите область повреждения. Если скол большой и обнажает дентин или пульпу, можно временно защитить зуб, используя специальный воск для зубов, который продается в аптеках. В крайнем случае можно использовать кусочек жевательной резинки без сахара.

д) Обратитесь к стоматологу. Независимо от размера скола, важно как можно скорее обратиться к стоматологу для профессиональной оценки и лечения.

Виды сколов зубов и их лечение

Сколы зубов могут быть разными по размеру и серьезности.

Рассмотрим основные типы и методы их лечения:

а) Небольшие сколы эмали

  • Характеристика: затрагивают только внешний слой зуба (эмаль).
  • Лечение: обычно требуется простая полировка или небольшая реставрация композитным материалом.
  • Прогноз: отличный, обычно не вызывает долгосрочных проблем.

б) Умеренные сколы, затрагивающие дентин

  • Характеристика: скол проникает через эмаль в дентин, может вызывать чувствительность.
  • Лечение: как правило, требуется реставрация композитным материалом или установка винира.
  • Прогноз: хороший, при своевременном лечении долгосрочных проблем обычно не возникает.

в) Крупные сколы с обнажением пульпы

  • Характеристика: скол достигает пульпы зуба, вызывает сильную боль и чувствительность.
  • Лечение: может потребоваться эндодонтическое лечение (лечение корневых каналов) с последующей реставрацией или коронкой.
  • Прогноз: зависит от степени повреждения и своевременности лечения.

г) Вертикальные трещины

  • Характеристика: трещина проходит вертикально по зубу, иногда достигая корня.
  • Лечение: в зависимости от глубины трещины может потребоваться установка коронки или даже удаление зуба.
  • Прогноз: варьируется от хорошего до неблагоприятного, в зависимости от серьезности трещины.

Методы восстановления сколотого зуба

Современная стоматология предлагает различные методы восстановления сколотых зубов.

а) Композитная реставрация

  • Описание: Использование специального пломбировочного материала для восстановления формы зуба.
  • Показания: Небольшие и средние сколы.
  • Преимущества: Быстрая процедура, сохранение большей части натурального зуба.
  • Недостатки: Может потребовать замены через несколько лет.

б) Виниры

  • Описание: Тонкие керамические или композитные накладки на переднюю поверхность зуба.
  • Показания: Умеренные сколы передних зубов.
  • Преимущества: Отличный эстетический результат, долговечность.
  • Недостатки: Более дорогостоящая процедура, требует подготовки зуба.

в) Коронки

  • Описание: Полное покрытие зуба искусственной коронкой.
  • Показания: Крупные сколы, значительное разрушение зуба.
  • Преимущества: Полное восстановление формы и функции зуба.
  • Недостатки: Требует значительного препарирования зуба.

г) Онлеи и инлеи

  • Описание: керамические или композитные вкладки, восстанавливающие часть зуба.
  • Показания: сколы на жевательной поверхности задних зубов.
  • Преимущества: сохранение большей части здоровой ткани зуба по сравнению с коронкой.
  • Недостатки: для данного метода требуется несколько визитов к стоматологу.

Профилактика сколов зубов

Предотвратить сколы зубов не всегда возможно, но следующие меры помогут снизить риск:

а) Использование капы при занятиях спортом. Защитная капа может предотвратить повреждение зубов при контактных видах спорта.

б) Отказ от вредных привычек. Избегайте использования зубов для открывания бутылок, разгрызания орехов или других твердых предметов.

в) Лечение бруксизма. Если вы скрипите зубами во сне, обратитесь к стоматологу для изготовления ночной каппы.

г) Регулярные осмотры у стоматолога. Профессиональные осмотры помогут выявить ранние признаки проблем с зубами, которые могут привести к сколам.

д) Правильная гигиена полости рта. Регулярная чистка зубов и использование зубной нити поможет сохранить зубы крепкими и здоровыми.

Особые случаи

1. Скол зуба с пломбой или коронкой

  • Оценка: определите, откололась ли только пломба/коронка или часть зуба вместе с ней.
  • Действия: в любом случае необходимо обратиться к стоматологу для восстановления.
  • Особенности: может потребоваться полная замена реставрации.

2. Скол зуба после недавнего лечения

  • Оценка: если зуб откололся вскоре после лечения, это может указывать на проблемы с проведенной процедурой.
  • Действия: обратитесь к стоматологу, проводившему лечение, для оценки ситуации.
  • Особенности: может потребоваться повторное лечение или изменение плана лечения.

Нужно помнить

Скол зуба – это неприятное, но решаемое происшествие. Ключ к успешному лечению – быстрое обращение к стоматологу. Современная стоматология предлагает множество вариантов восстановления сколотых зубов, от простых реставраций до сложных ортопедических конструкций.
Помните, что профилактика всегда лучше лечения. Регулярные осмотры у стоматолога, правильная гигиена полости рта и защита зубов при занятиях спортом или наличии вредных привычек помогут сохранить ваши зубы целыми и здоровыми.
Если все же произошел скол зуба, не паникуйте. Следуйте рекомендациям, описанным в этой статье, и обратитесь к квалифицированному стоматологу. С правильным подходом ваша улыбка быстро вернется к своему прежнему великолепию, а зубы будут функционировать так же хорошо, как и раньше.
В «Стоматологии Комфорта» мы лечим зубы любой сложности с комфортом и гарантией по доступным ценам. Запишитесь к нам на прием и убедитесь в этом сами.

Почему нас выбирают уже более 35 лет

Мы создаём идеальные улыбки уже 35 лет! Предлагаем новейшие технологии и методики лечения в сочетании с высоким профессионализмом врачей!
Получите первичную консультацию специалиста!
  • Мы работаем с 1988 года

    Все наши специалисты — профессионалы своего дела. Гарантируем, вам будет оказана квалифицированная помощь.

  • Высокое качество лечения

    Используем лучшие материалы и оборудование. В качестве работы вы можете убедиться, ознакомившись с отзывами.

  • Доступные цены

    Мы стараемся сократить ваши расходы, поэтому регулярно организуем для вас выгодные акции и скидки.

  • Тёплое отношение

    Вам больше не нужно бояться стоматологов. Наши специалисты гарантируют комфортное и безболезненное лечение.

  • Удобное расположение

    6 филиалов в 10 минутах ходьбы от метро в разных районах Санкт-Петербурга. Мы всегда рады вас видеть!

  • Сервис онлайн-записи

    Теперь вы можете записаться к врачу быстро и легко. Просто выберите удобное время и оставьте заявку на приём!

Обратная связь