Портфолио

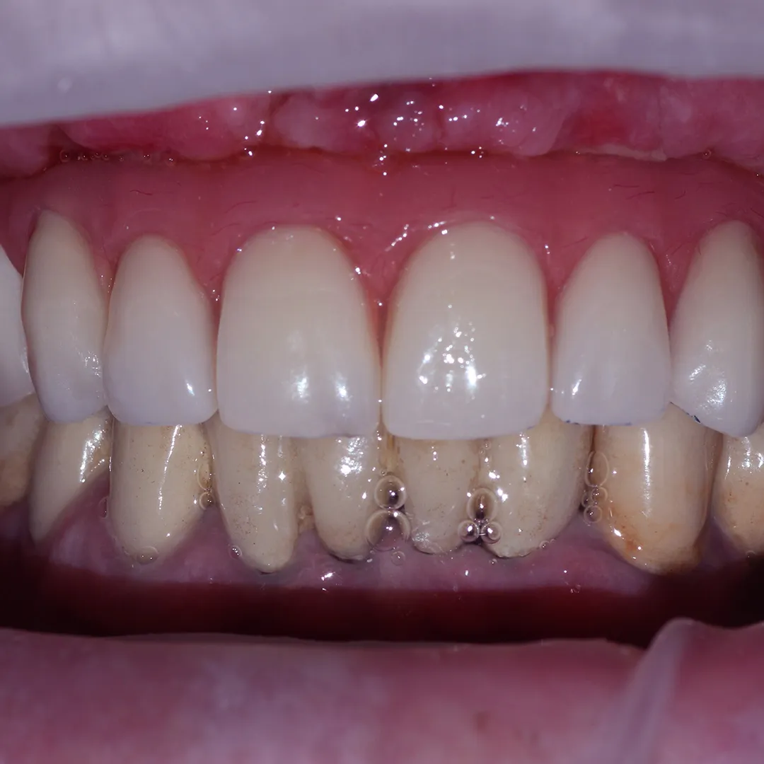
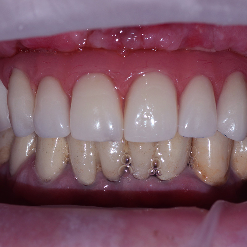
Установка прикручиваемого протеза на импланты системы Alpha BioСмотреть работуСрок лечения:3 визитаСумма лечения:246 000 р.
Установка протеза на верхнюю челюсть через 3 дня после имплантацииСмотреть работуСрок лечения:2 визитаСумма лечения:388 000 р.
Восстановление зубов нижней челюсти при полной адентииСмотреть работуСрок лечения:3 визитаСумма лечения:426 000 р.
Мы работаем с 1988 года
Все наши специалисты — профессионалы своего дела. Гарантируем, вам будет оказана квалифицированная помощь.
Высокое качество лечения
Используем лучшие материалы и оборудование. В качестве работы вы можете убедиться, ознакомившись с отзывами.
Доступные цены
Мы стараемся сократить ваши расходы, поэтому регулярно организуем для вас выгодные акции и скидки.
Тёплое отношение
Вам больше не нужно бояться стоматологов. Наши специалисты гарантируют комфортное и безболезненное лечение.
Удобное расположение
6 филиалов в 10 минутах ходьбы от метро в разных районах Санкт-Петербурга. Мы всегда рады вас видеть!
Сервис онлайн-записи
Теперь вы можете записаться к врачу быстро и легко. Просто выберите удобное время и оставьте заявку на приём!
Обратная связь
Звоните:+7 (812) 407-22-11
Пишите:

