Портфолио

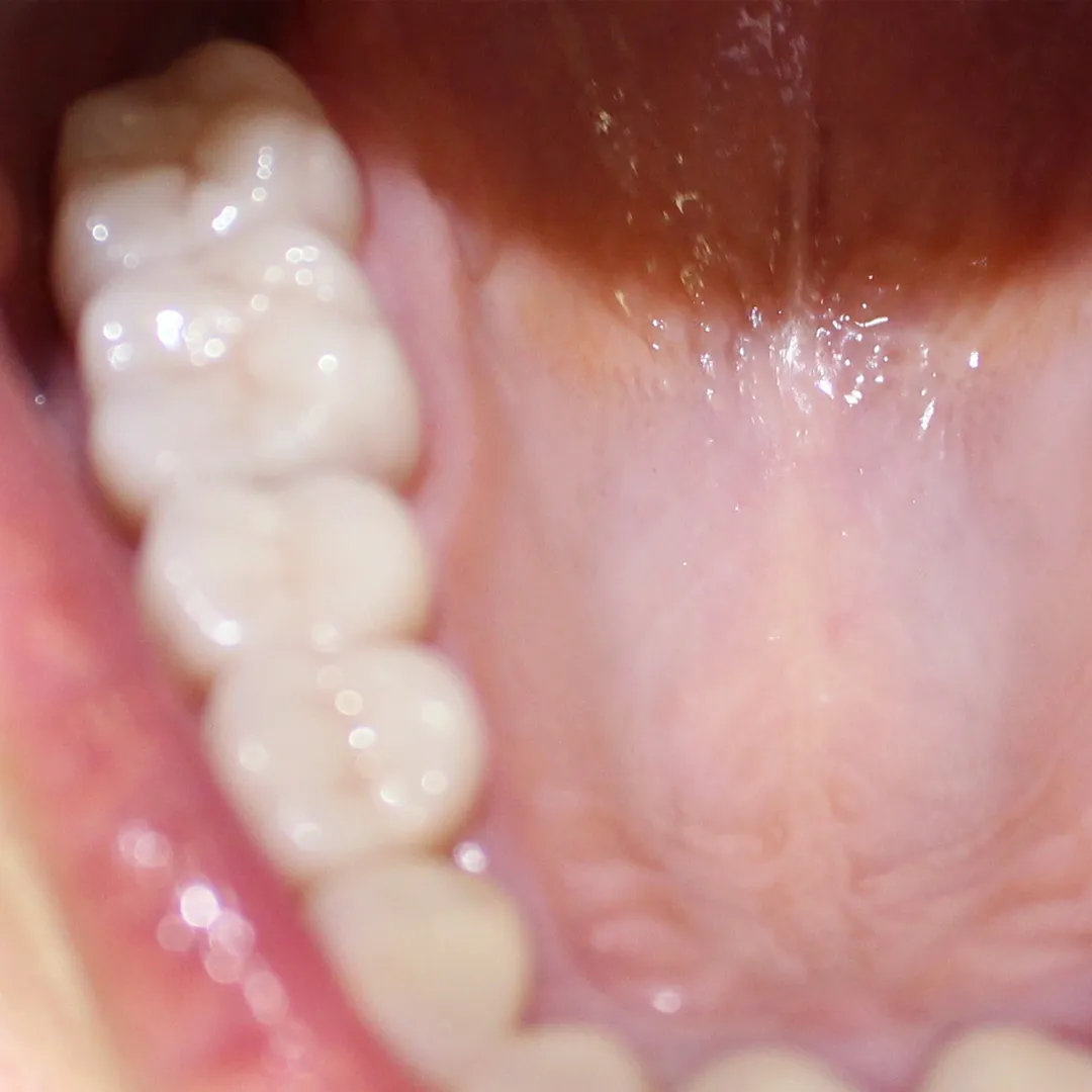
Установка импланта (первый этап). Изготовлена циркониевая коронка на имплант (второй этап)Смотреть работуСрок лечения:3 месяца и 2 неделиСумма лечения:36 000 р.
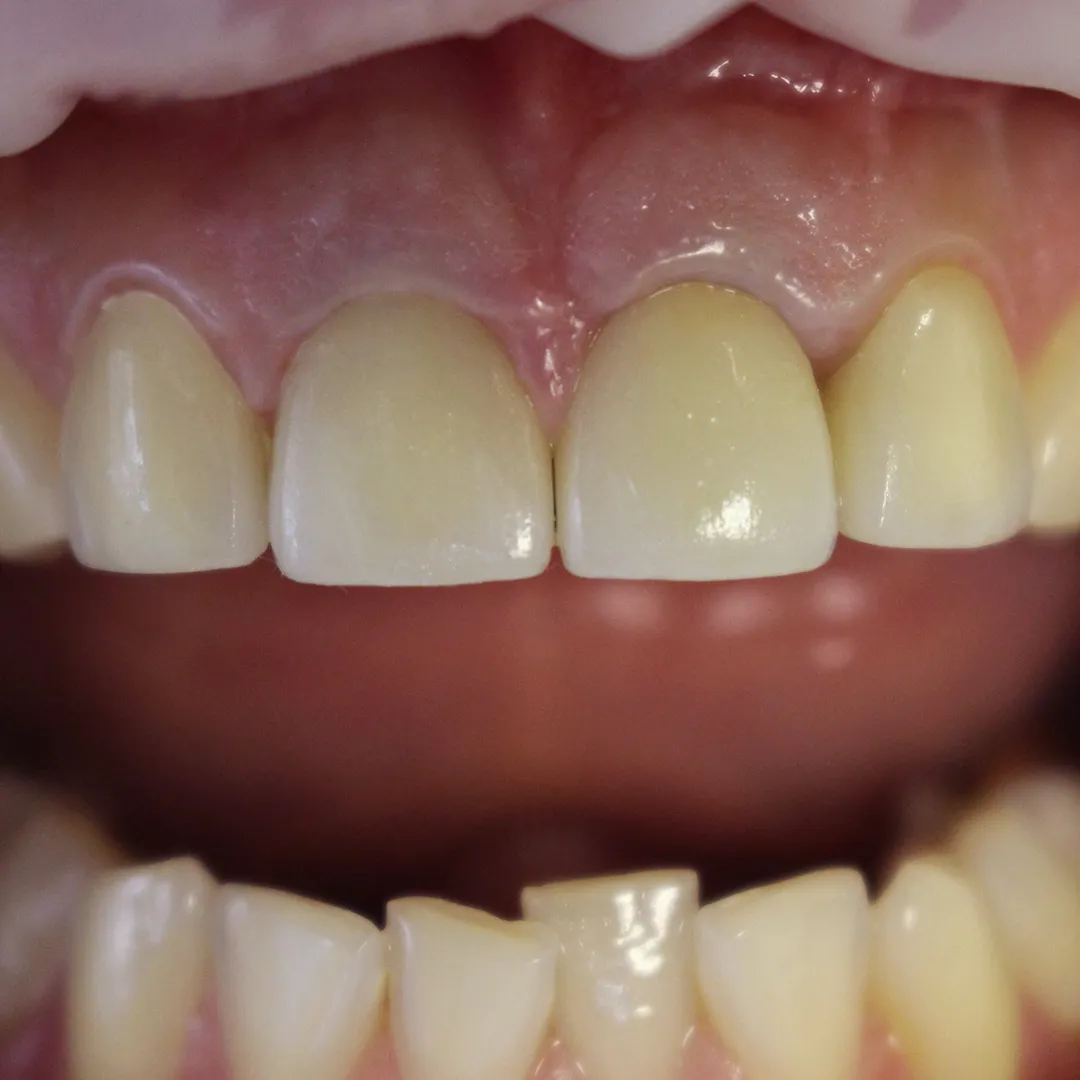
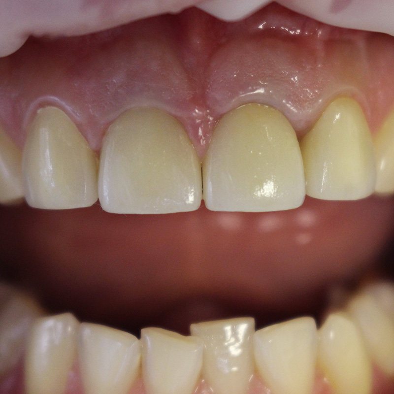
Протезирование верхних зубов высокоэстетичными безметалловыми коронкамиСмотреть работуСрок лечения:2 визитаСумма лечения:63 000 р.
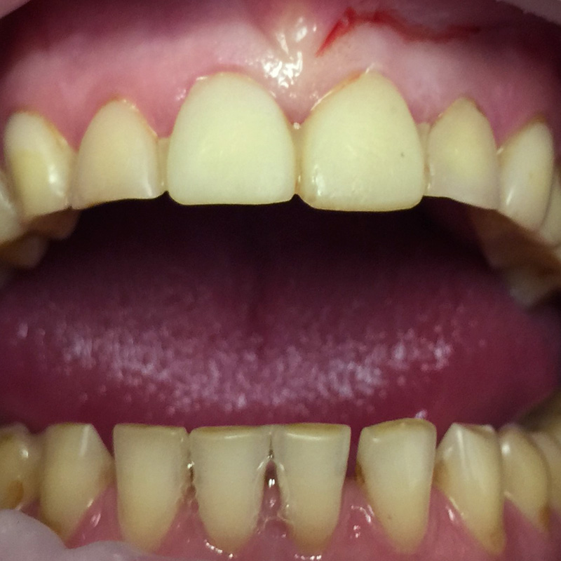
Высокоэстетичная реставрация передних зубов керамикойСмотреть работуСрок лечения:2 визитаСумма лечения:75 000 р.
Установка 4-х высокоэстетичных коронок из диоксида циркония на передние зубыСмотреть работуСрок лечения:2 визитаСумма лечения:107 000 р.
Мы работаем с 1988 года
Все наши специалисты — профессионалы своего дела. Гарантируем, вам будет оказана квалифицированная помощь.
Высокое качество лечения
Используем лучшие материалы и оборудование. В качестве работы вы можете убедиться, ознакомившись с отзывами.
Доступные цены
Мы стараемся сократить ваши расходы, поэтому регулярно организуем для вас выгодные акции и скидки.
Тёплое отношение
Вам больше не нужно бояться стоматологов. Наши специалисты гарантируют комфортное и безболезненное лечение.
Удобное расположение
6 филиалов в 10 минутах ходьбы от метро в разных районах Санкт-Петербурга. Мы всегда рады вас видеть!
Сервис онлайн-записи
Теперь вы можете записаться к врачу быстро и легко. Просто выберите удобное время и оставьте заявку на приём!
Обратная связь
Звоните:+7 (812) 407-22-11
Пишите:

