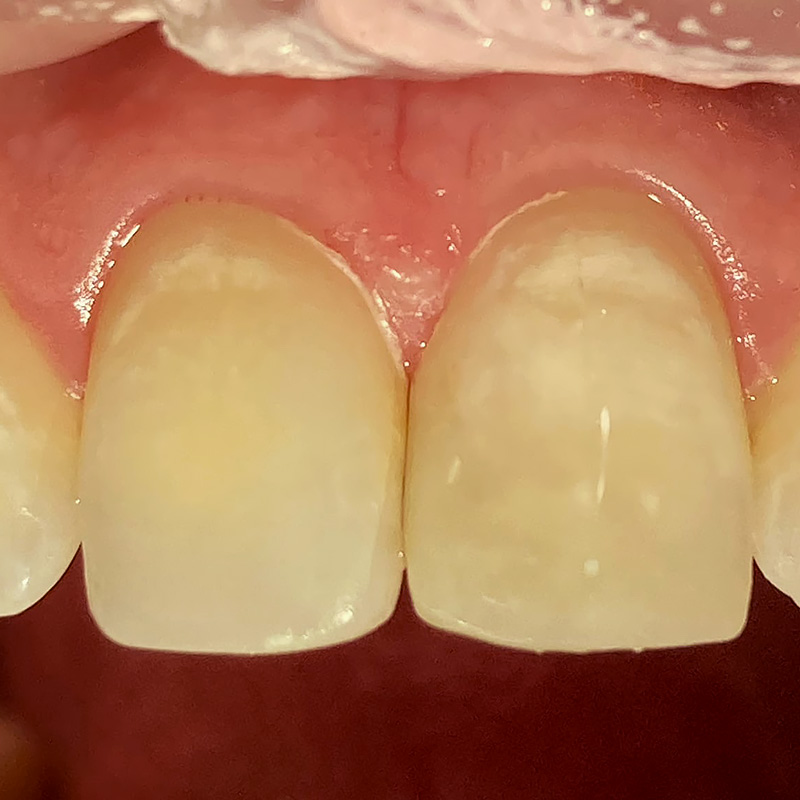
До и после лечения


Осмотр и диагностика
В нашу клинику обратилась пациентка с целью тотальной реабилитации верхней челюсти. После осмотра и проведения необходимой диагностики, врач-ортопед Мельников Алексей Владимирович рекомендовал протезирование по технологии «Всё на 4-х» (All-on-4).
Метод позволяет быстро восстановить эстетику и жевательную функцию, поскольку протез устанавливается сразу после имплантации.
Имплантация All-on-4 может проводиться даже при недостатке костной ткани. Это возможно благодаря особой технологии вживления имплантов под углом в боковых отделах челюсти.
Процесс работы
В ходе процедуры были проведены следующие работы:
- профессиональная гигиена полости рта;
- изготовление протеза на основе предварительно созданной модели;
- вживление 4-х имплантов Alpha Bio;
- фиксация заживляющего прикручиваемого протеза.
Улыбку создавали
Другие работы

Реставрация зуба 3.5, пораженного глубоким кариесом, композитом из светоотверждаемого материала ЭстелайтСмотреть работуСрок лечения:60 минутСумма лечения:7 280 руб.
Имплантация зубов верхней челюсти с установкой мостовидной металлокерамической конструкции через 4 месяцаСмотреть работуСрок лечения:4 визитаСумма лечения:217 000 руб.
Мы работаем с 1988 года
Все наши специалисты — профессионалы своего дела. Гарантируем, вам будет оказана квалифицированная помощь.
Высокое качество лечения
Используем лучшие материалы и оборудование. В качестве работы вы можете убедиться, ознакомившись с отзывами.
Доступные цены
Мы стараемся сократить ваши расходы, поэтому регулярно организуем для вас выгодные акции и скидки.
Тёплое отношение
Вам больше не нужно бояться стоматологов. Наши специалисты гарантируют комфортное и безболезненное лечение.
Удобное расположение
6 филиалов в 10 минутах ходьбы от метро в разных районах Санкт-Петербурга. Мы всегда рады вас видеть!
Сервис онлайн-записи
Теперь вы можете записаться к врачу быстро и легко. Просто выберите удобное время и оставьте заявку на приём!




