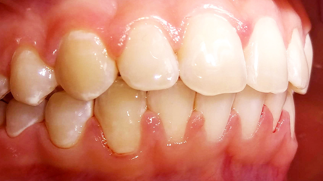
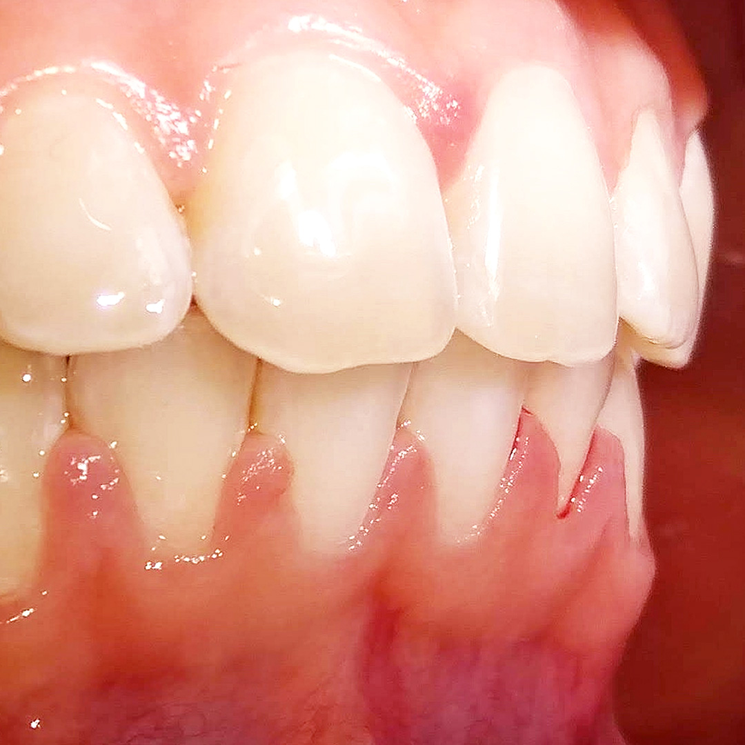
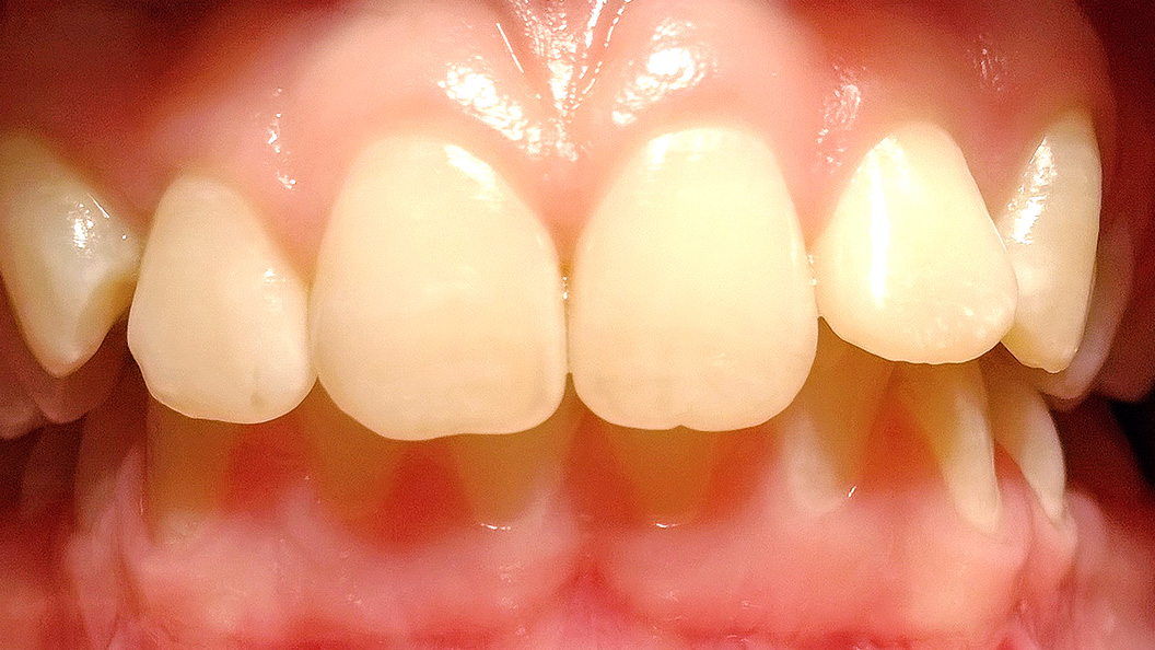
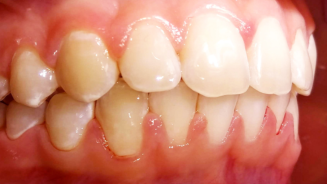
До и после лечения


Осмотр и диагностика
В наш филиал на ул. Дыбенко обратился пациент с жалобами на неправильный прикус и эстетическую неполноценность лица (профиль).
Приём проводил врач-ортодонт Скуратовский Семён Константинович. После проведения компьютерной томографии, доктор назначил ортодонтическое лечение с применением брекет-системы Damon Q и межчелюстных эластичных тяг.
Брекеты Damon — самолигирующая система, которая позволяет выровнять зубы под воздействием собственных мышц лица. Это позволяет ускорить лечение и провести его с максимальным комфортом.
Улыбку создавали
Другие работы



Смотреть работуСрок лечения:120 минут (2 визита)Сумма лечения:9 980 руб.
Мы работаем с 1988 года
Все наши специалисты — профессионалы своего дела. Гарантируем, вам будет оказана квалифицированная помощь.
Высокое качество лечения
Используем лучшие материалы и оборудование. В качестве работы вы можете убедиться, ознакомившись с отзывами.
Доступные цены
Мы стараемся сократить ваши расходы, поэтому регулярно организуем для вас выгодные акции и скидки.
Тёплое отношение
Вам больше не нужно бояться стоматологов. Наши специалисты гарантируют комфортное и безболезненное лечение.
Удобное расположение
6 филиалов в 10 минутах ходьбы от метро в разных районах Санкт-Петербурга. Мы всегда рады вас видеть!
Сервис онлайн-записи
Теперь вы можете записаться к врачу быстро и легко. Просто выберите удобное время и оставьте заявку на приём!






