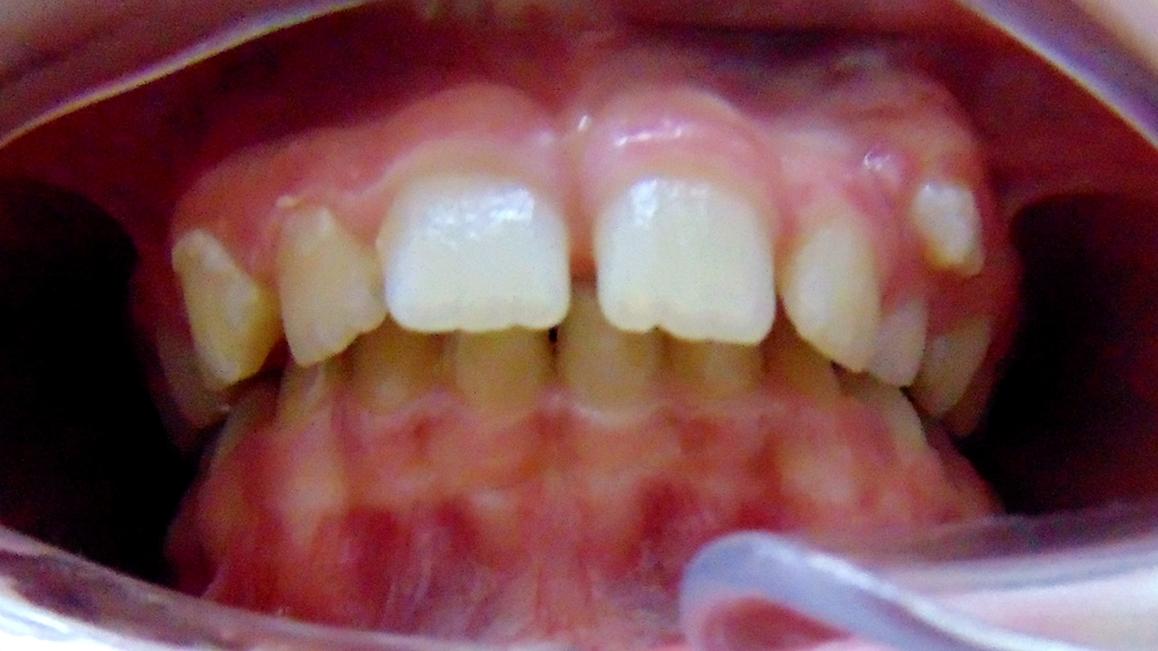
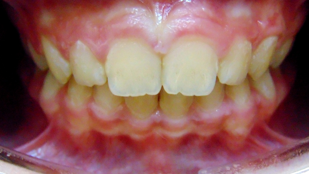
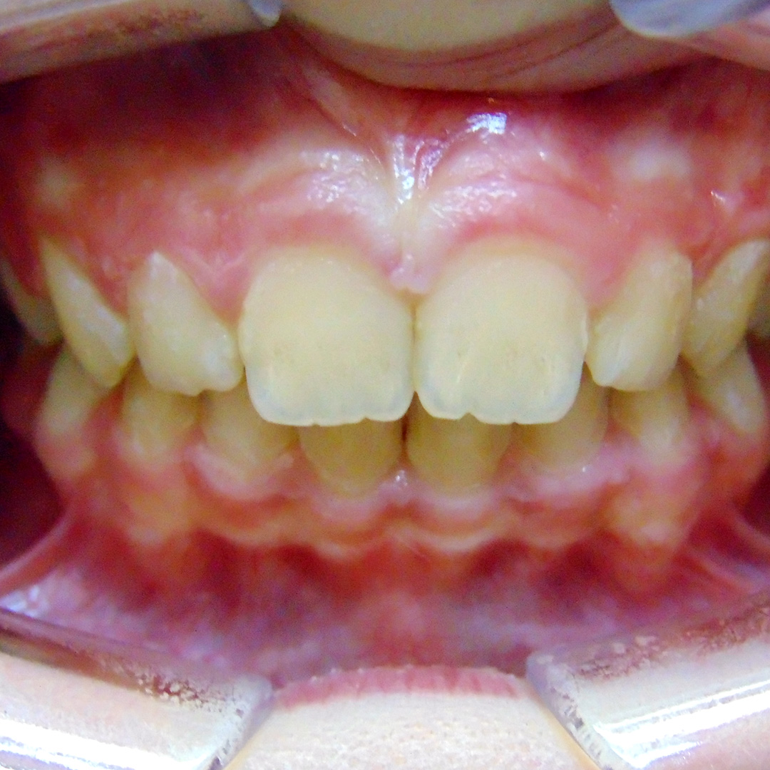
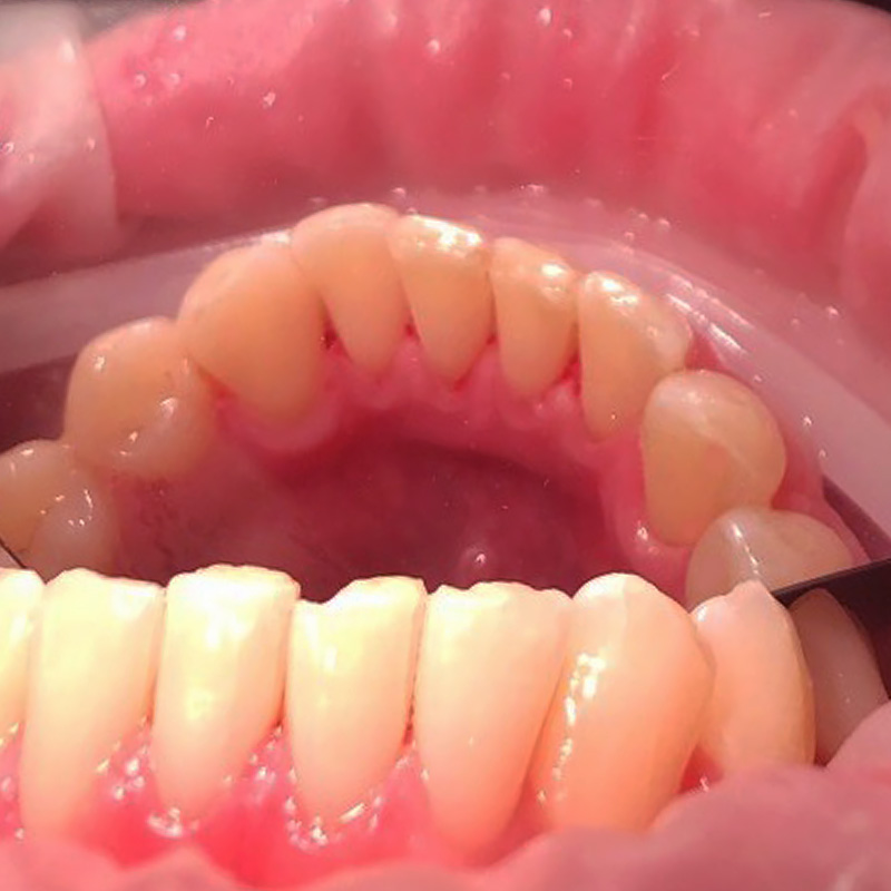
До и после лечения


Осмотр и диагностика
Родители пациента обратились в «Стоматологию Комфорта» для исправления неправильного прикуса у ребёнка 11-и лет. Врач-ортодонт Резниченко Анна Васильевна провела осмотр и установила, что у пациента наблюдается суперпозиция 23 зуба и вертикальная резцовая окклюзия. Врачом было принято решение о целесообразности лечения съёмным аппаратом-ортокорректором Occlus-o-Guide.
Ортокорректор Occlus-o-Guide производства США предотвращает нарушение окклюзии зубных рядов в сменном прикусе. Аппарат ускоряет процесс выравнивания зубных единиц у детей, а также способствует улучшению профиля ребёнка. Occlus-o-Guide предназначен для лечебных ортодонтических упражнений. Его применение направляет и смещает прорезывающиеся постоянные зубы к нормальной окклюзии.
Процесс работы
В ходе лечения проведены следующие работы:
- рентген-снимок;
- подбор анатомически оптимальной конструкции;
- инструкции по применению съёмного аппарата-трейнера.
Улыбку создавали
Другие работы

Лечение кариеса зуба 4.6 композитом Filtek Posterior A3Смотреть работуСрок лечения:90 минутСумма лечения:6 000 руб.
Удаление зуба при хроническом локализованном пародонтите тяжёлой степениСмотреть работуСрок лечения:1 визит, 30 минутСумма лечения:3920 руб.
Мы работаем с 1988 года
Все наши специалисты — профессионалы своего дела. Гарантируем, вам будет оказана квалифицированная помощь.
Высокое качество лечения
Используем лучшие материалы и оборудование. В качестве работы вы можете убедиться, ознакомившись с отзывами.
Доступные цены
Мы стараемся сократить ваши расходы, поэтому регулярно организуем для вас выгодные акции и скидки.
Тёплое отношение
Вам больше не нужно бояться стоматологов. Наши специалисты гарантируют комфортное и безболезненное лечение.
Удобное расположение
6 филиалов в 10 минутах ходьбы от метро в разных районах Санкт-Петербурга. Мы всегда рады вас видеть!
Сервис онлайн-записи
Теперь вы можете записаться к врачу быстро и легко. Просто выберите удобное время и оставьте заявку на приём!


