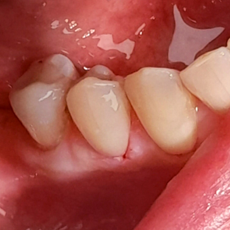
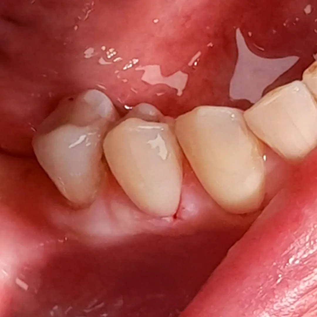
До и после лечения


Осмотр и диагностика
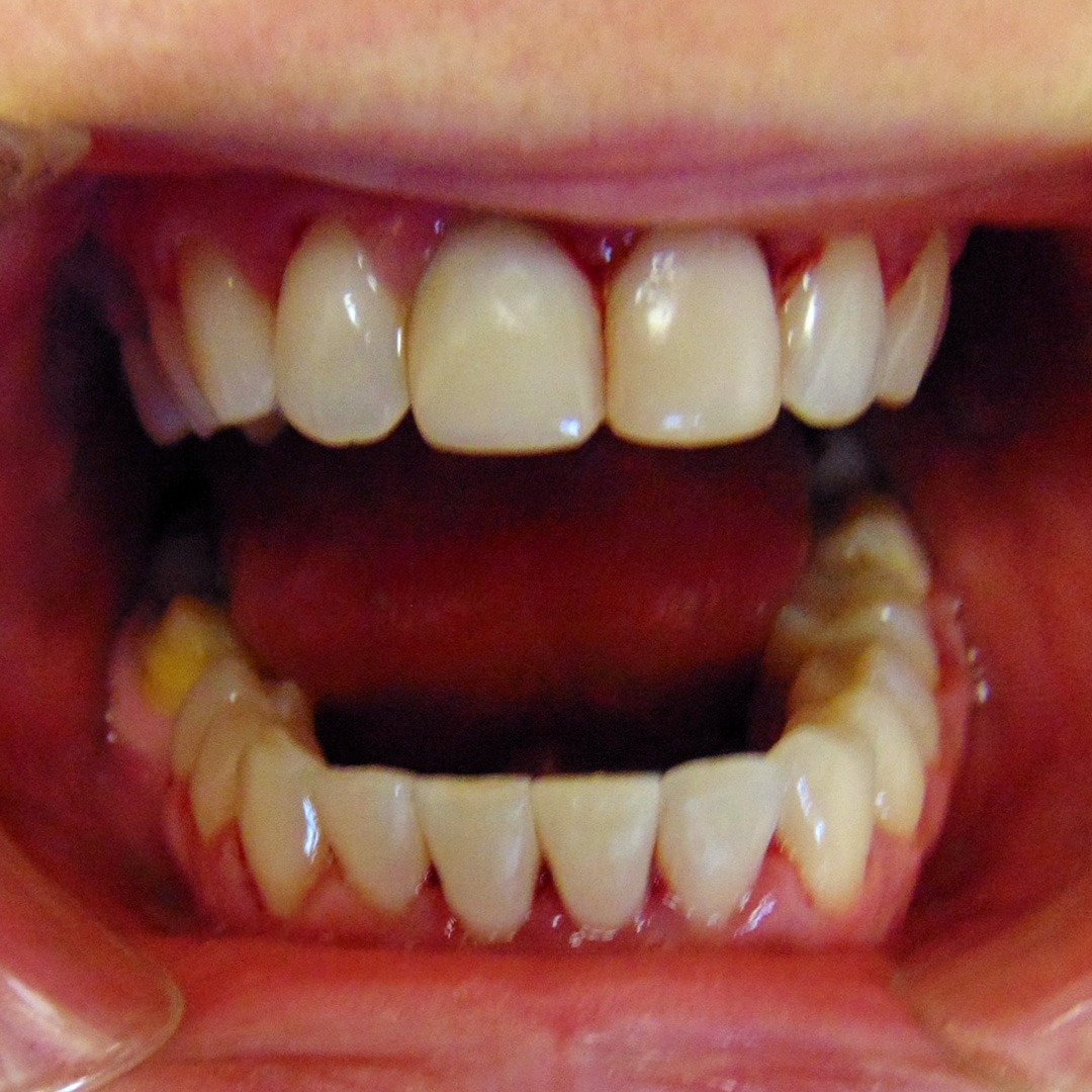
В «Стоматологию Комфорта» обратилась пациентка с целью проведения ортодонтического лечения в качестве подготовки к протезированию. Врач-ортодонт Резниченко Анна Васильевна провела осмотр и диагностировала скученность зубов III степени на нижней челюсти. Врач пришла к выводу о целесообразности исправления дефекта с помощью лигатурной брекет-системы Diamond в качестве подготовки к протезированию.
Лигатурная брекет-система Diamond — надёжная конструкция производства американской компании Ormko. Ортодонты рекомендуют её как эффективный инструмент для коррекции патологий высокой, средней и низкой степеней сложности. Эстетический внешний вид ортодонтического аппарата позволяет не волноваться о красоте улыбки в процессе лечения. Клиническое преимущество брекетов Diamond — выраженный лечебный эффект и функциональность.
Процесс работы
В ходе лечения проведены следующие работы:
- компьютерная томография;
- санация полости рта;
- лечение зубов и дёсен;
- профессиональная чистка;
- снятие индивидуальных слепков;
- наложение изолирующей прокладки;
- последовательная фиксация замочков на зубах светоотверждаемым составом;
- установка силовой дуги с лигатурной фиксацией;
- плановая коррекция аппарата 1 раз в 3 недели.
Улыбку создавали
Другие работы

В результате обострения хронического периодонтита и появления ноющих болей проведено пломбирование канала зубаСмотреть работуСрок лечения:2 часаСумма лечения:9 590 руб.
Лечение глубокого кариеса с применением светоотверждаемого композита EsteliteСмотреть работуСрок лечения:1 часСумма лечения:6 500 руб.
Мы работаем с 1988 года
Все наши специалисты — профессионалы своего дела. Гарантируем, вам будет оказана квалифицированная помощь.
Высокое качество лечения
Используем лучшие материалы и оборудование. В качестве работы вы можете убедиться, ознакомившись с отзывами.
Доступные цены
Мы стараемся сократить ваши расходы, поэтому регулярно организуем для вас выгодные акции и скидки.
Тёплое отношение
Вам больше не нужно бояться стоматологов. Наши специалисты гарантируют комфортное и безболезненное лечение.
Удобное расположение
6 филиалов в 10 минутах ходьбы от метро в разных районах Санкт-Петербурга. Мы всегда рады вас видеть!
Сервис онлайн-записи
Теперь вы можете записаться к врачу быстро и легко. Просто выберите удобное время и оставьте заявку на приём!


