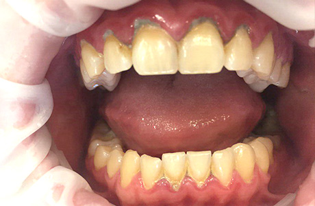
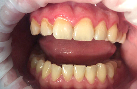
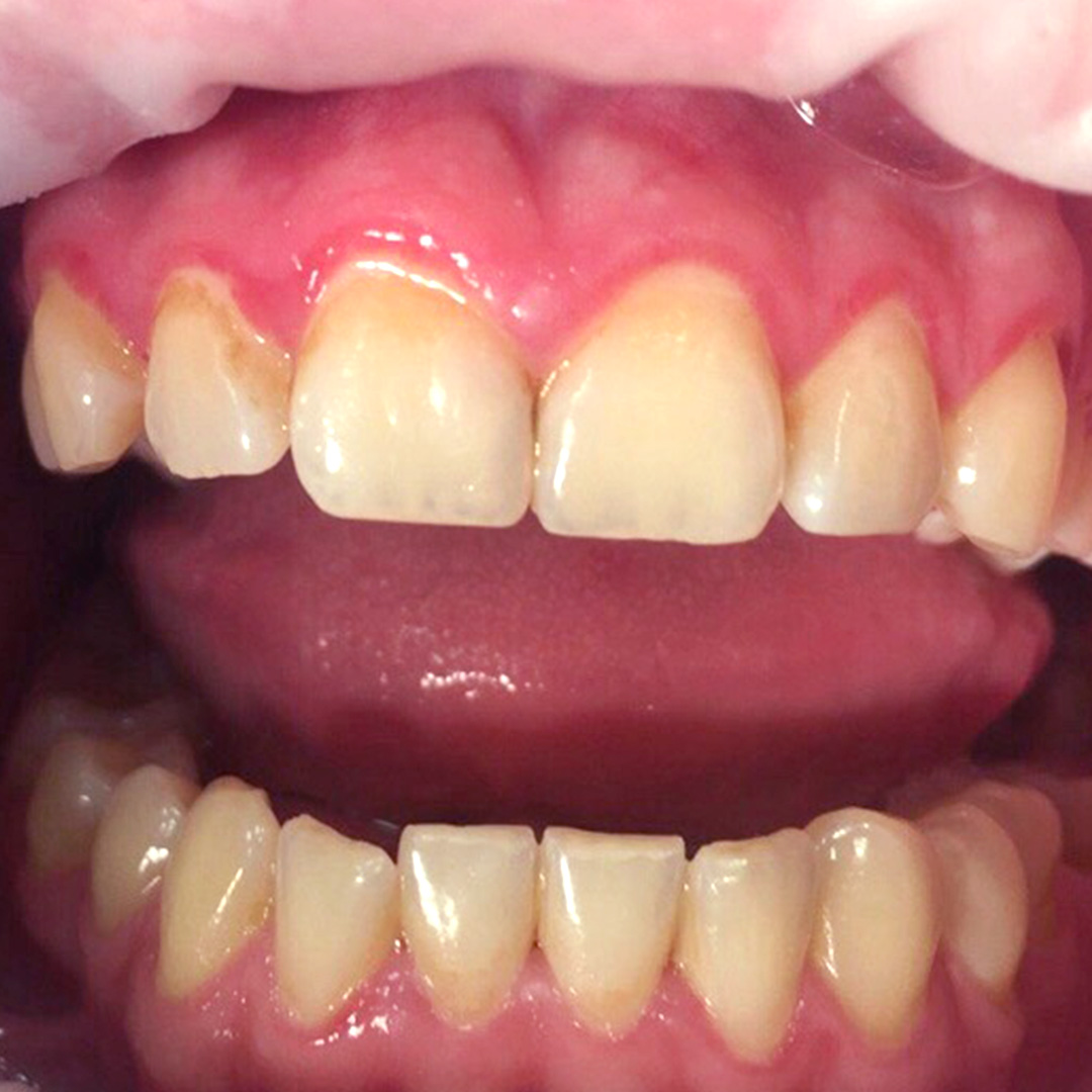
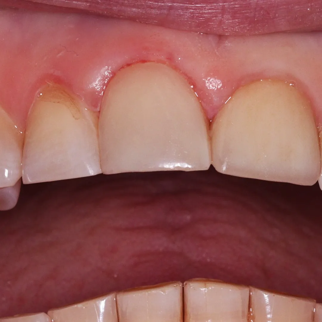
До и после лечения


Осмотр и диагностика
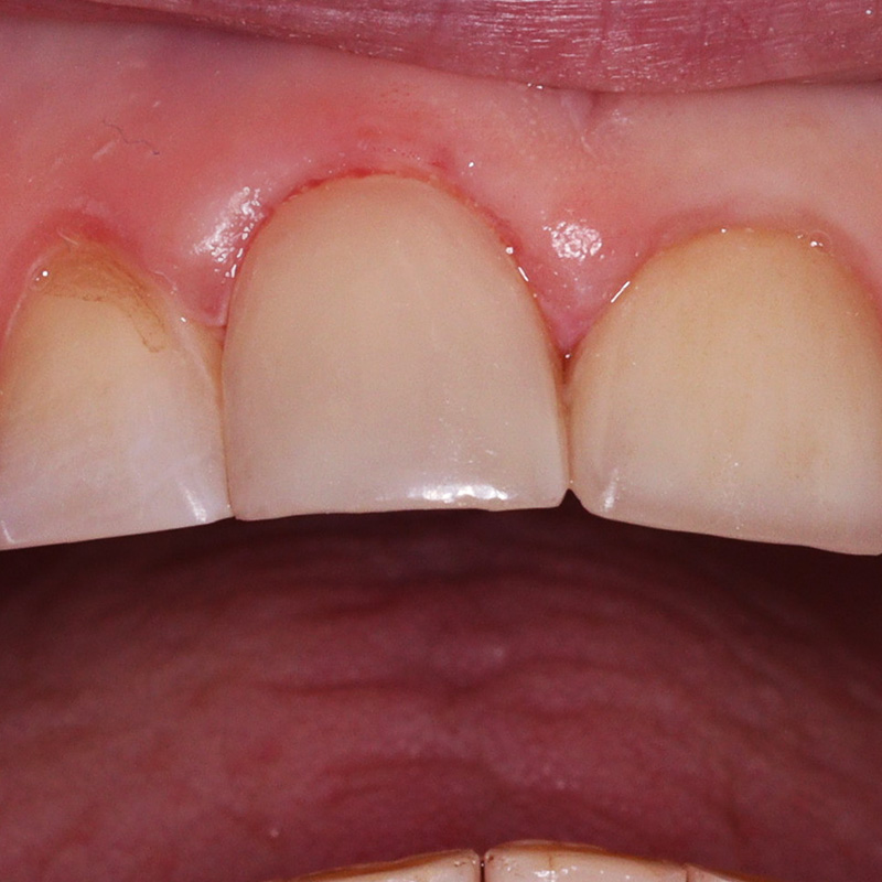
К нам обратился пациент с жалобами на наличие зубных отложений и кровоточивость десен во время чистки зубов. При осмотре были обнаружены над- и поддесневые зубные отложения, маргинальная десна отечна и гиперемирована, при зондировании кровоточит. Патологической подвижности зубов и пародонтальных карманов не наблюдалось. Был поставлен диагноз: хронический генерализованный катаральный гингивит. Доктор Абдураманова Марина Ягьяевна рекомендовала провести профессиональную гигиену полости рта.
Профессиональную чистку рекомендуется проводить раз в полгода. Это помогает сохранить зубы здоровыми, красивыми и уменьшить риски возникновения воспалительных заболеваний дёсен.
Процесс работы
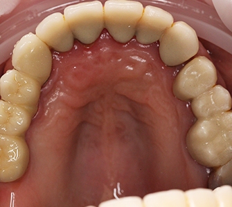
В процессе лечения были проведены следующие мероприятия:
- удаление над- и поддесневых зубных отложений с помощью ультразвукового аппарата;
- полировка зубов щёточкой с пастой;
- даны рекомендации по ежедневной личной гигиене полости рта.
Улыбку создавали
Другие работы

Лечение среднего кариеса зуба 4.5 при помощи пломбировочного материала EsteliteСмотреть работуСрок лечения:60 минутСумма лечения:6 500 руб.
Устранение кариозной полости и восстановление жевательной функции зубаСмотреть работуСрок лечения:1 визитСумма лечения:5 860 р.
Мы работаем с 1988 года
Все наши специалисты — профессионалы своего дела. Гарантируем, вам будет оказана квалифицированная помощь.
Высокое качество лечения
Используем лучшие материалы и оборудование. В качестве работы вы можете убедиться, ознакомившись с отзывами.
Доступные цены
Мы стараемся сократить ваши расходы, поэтому регулярно организуем для вас выгодные акции и скидки.
Тёплое отношение
Вам больше не нужно бояться стоматологов. Наши специалисты гарантируют комфортное и безболезненное лечение.
Удобное расположение
6 филиалов в 10 минутах ходьбы от метро в разных районах Санкт-Петербурга. Мы всегда рады вас видеть!
Сервис онлайн-записи
Теперь вы можете записаться к врачу быстро и легко. Просто выберите удобное время и оставьте заявку на приём!


