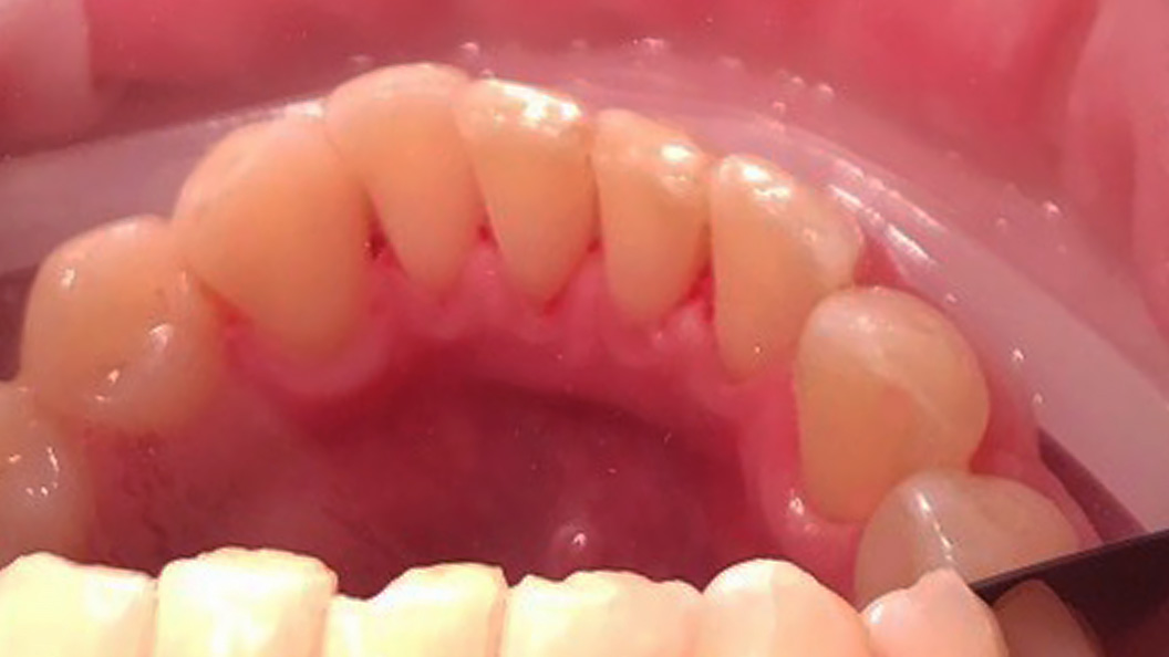
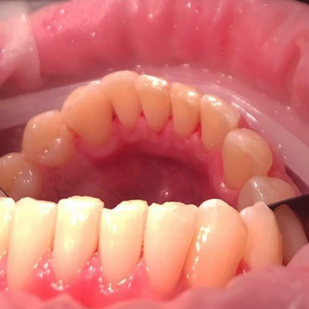
До и после лечения


Осмотр и диагностика
Пациент обратился с жалобой на наличие зубных отложений и кровоточивость во время чистки зубов. Во время осмотра были выявлена над- и поддесневые отложения. Маргинальная десна отечна и гипермирована, при зондировании кровоточит.
Чтобы предотвратить появление зубных отложений, недостаточно просто чистить зубы дважды в день. Зубная нить, специальные ёршики и ирригаторы позволяют более эффективно ухаживать за полостью рта и снижают вероятность развития заболеваний.
Процесс работы
Ход лечения:
- удаление над- и поддесневых отложений с помощью УЗ-аппарата
- профессиональная чистка зубов пастой Detarine Z
- полная консультация по личной гигиене полости рта
Улыбку создавали
Другие работы



Восстановление всех зубов верхней челюсти по методу «Всё на 6», замена протеза на постоянный через 3 месяцаСмотреть работуСрок лечения:5 визитовСумма лечения:452 000 руб.
Мы работаем с 1988 года
Все наши специалисты — профессионалы своего дела. Гарантируем, вам будет оказана квалифицированная помощь.
Высокое качество лечения
Используем лучшие материалы и оборудование. В качестве работы вы можете убедиться, ознакомившись с отзывами.
Доступные цены
Мы стараемся сократить ваши расходы, поэтому регулярно организуем для вас выгодные акции и скидки.
Тёплое отношение
Вам больше не нужно бояться стоматологов. Наши специалисты гарантируют комфортное и безболезненное лечение.
Удобное расположение
6 филиалов в 10 минутах ходьбы от метро в разных районах Санкт-Петербурга. Мы всегда рады вас видеть!
Сервис онлайн-записи
Теперь вы можете записаться к врачу быстро и легко. Просто выберите удобное время и оставьте заявку на приём!


