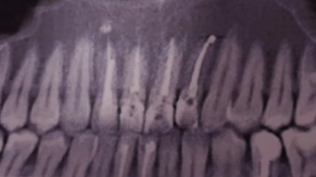
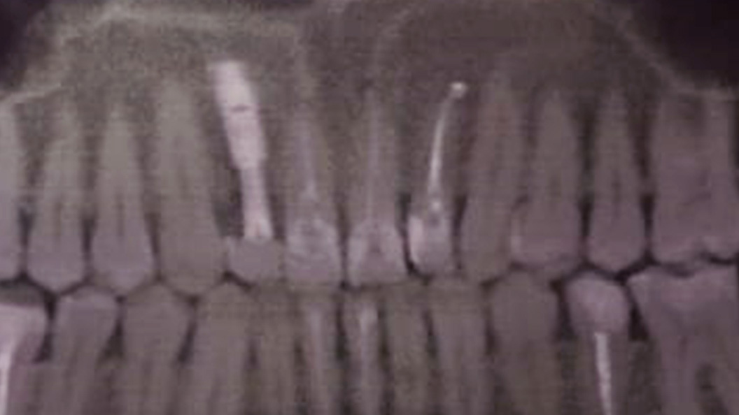
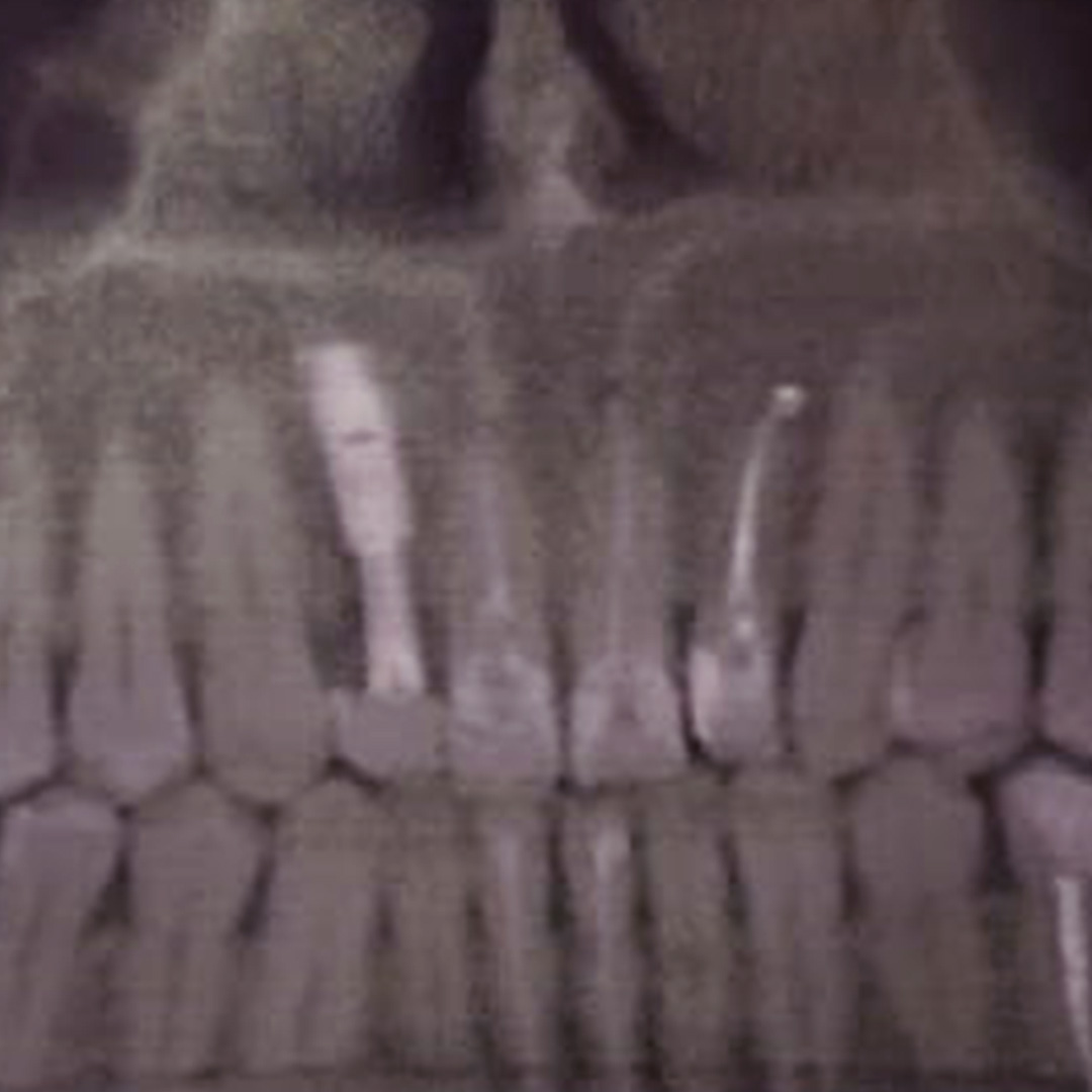
До и после лечения


Осмотр и диагностика
Пациентка обратилась в «Стоматологию Комфорта» с жалобами на периодические ноющие боли в зубе 1.2. Врач Тарасов Денис Геннадьевич провёл обследование и поставил диагноз — хронический периодонтит верхнего резца. Проведено удаление зуба с одномоментной имплантацией.
В случае невозможности лечения зуба и неизбежного удаления необходимо как можно скорее определиться со способом его восстановления. Если оставить лунку пустой, соседние единицы начнут постепенно смещаться, будет нарушен прикус. Спустя год после удаления происходит существенная атрофия костной ткани. Экспресс-имплантация — оптимальное решение, при котором вы экономите деньги и достигаете максимального результата на всю жизнь!
Процесс работы
Ход лечения:
- комплексное обследование полости рта;
- введение анестезии;
- удаление зуба 1.2;
- проведение одномоментной имплантации;
- установка коронки.
Улыбку создавали
Другие работы

Эндодонтическое лечение с коффердам и пломбировкой при хроническом пульпитеСмотреть работуСрок лечения:1 визит, 90 минутСумма лечения:12 090 руб.
Восстановление коронковой части зуба временным пломбировочным материаломСмотреть работуСрок лечения:90 минутСумма лечения:14 300 руб.
Мы работаем с 1988 года
Все наши специалисты — профессионалы своего дела. Гарантируем, вам будет оказана квалифицированная помощь.
Высокое качество лечения
Используем лучшие материалы и оборудование. В качестве работы вы можете убедиться, ознакомившись с отзывами.
Доступные цены
Мы стараемся сократить ваши расходы, поэтому регулярно организуем для вас выгодные акции и скидки.
Тёплое отношение
Вам больше не нужно бояться стоматологов. Наши специалисты гарантируют комфортное и безболезненное лечение.
Удобное расположение
6 филиалов в 10 минутах ходьбы от метро в разных районах Санкт-Петербурга. Мы всегда рады вас видеть!
Сервис онлайн-записи
Теперь вы можете записаться к врачу быстро и легко. Просто выберите удобное время и оставьте заявку на приём!


