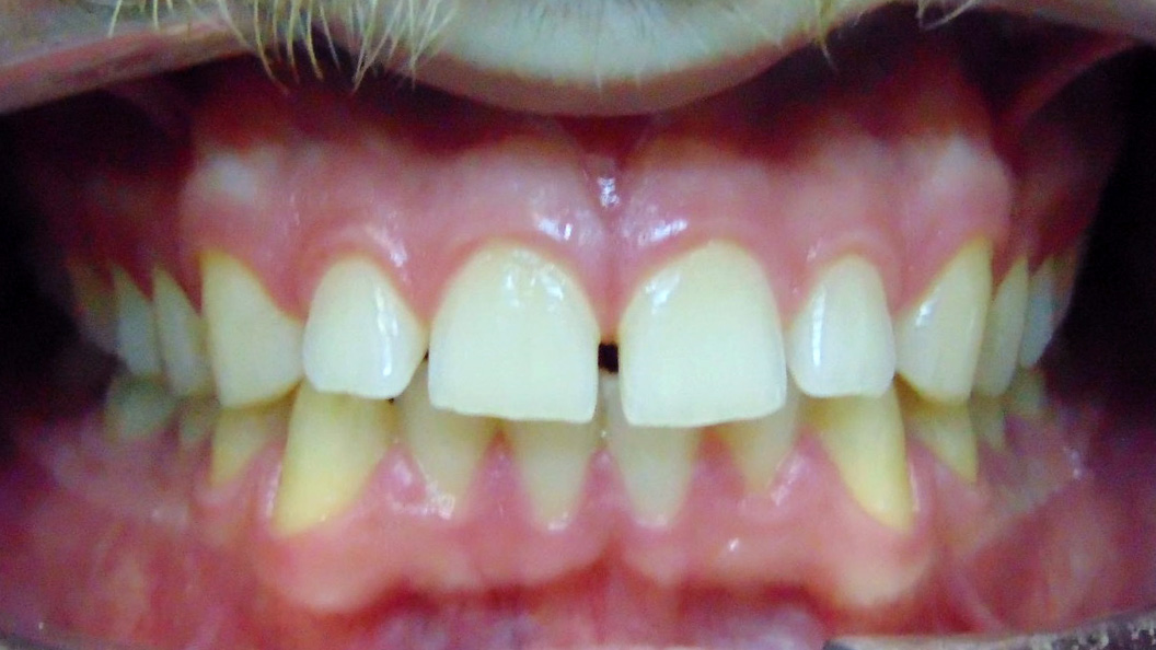
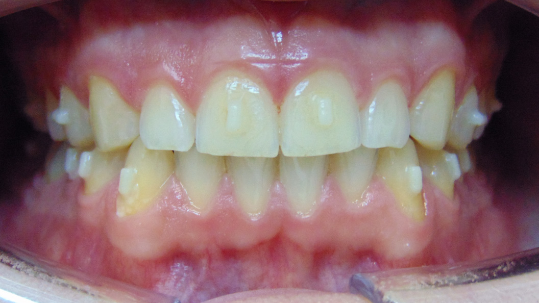
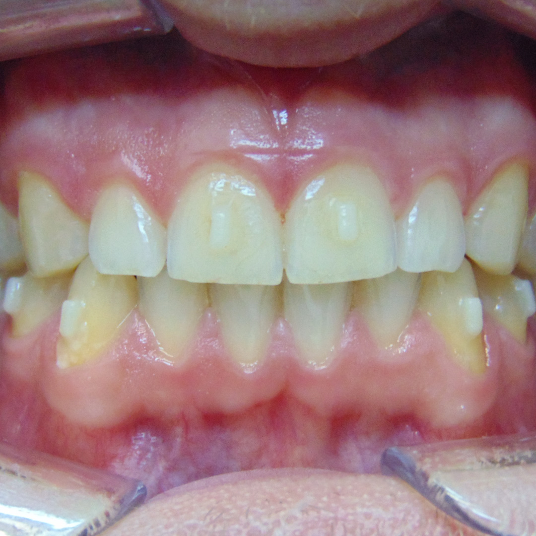
До и после лечения


Осмотр и диагностика
В «Стоматологию Комфорта» обратился пациент с целью исправления нескольких дефектов прикуса. Проведя осмотр, врач-ортодонт Резниченко Анна Васильевна сделала заключение о наличии диастемы, тремы на верхней челюсти во фронтальном отделе. Также было диагностировано скученное положение зубов на нижней челюсти во фронтальном отделе. Врач принял решение об ортодонтическом лечении элайнерами 3D-smile.
Элайнеры 3D-smile — индивидуальные прозрачные капы для коррекции положения зубов. Наборы кап изготавливаются с помощью 3D-моделирования для достижения прогнозируемого результата. Преимущества системы — незаметность, лёгкость в эксплуатации и отсутствие дискомфорта в процессе ношения. Конструкция изготавливается из мягкого атравматичного материала и оказывает минимальное давление на зубы, что исключает повреждения мягких тканей.
Процесс работы
В ходе лечения проведены следующие работы:
- санация полости рта;
- профессиональная гигиена;
- снятие цифровых оттисков челюсти;
- 3D-рентгенологическое исследование;
- фиксация аттачментов пломбировочным материалом для закрепления капы;
- плановые приёмы для оценки результата и предоставления новых наборов кап.
Улыбку создавали
Другие работы

Проведено протезирование на имплантах на верхней челюсти. Установлены импланты и временный протез. Изготовлен и установлен постоянный металлокерамический протезСмотреть работуСрок лечения:3 месяца и 3 неделиСумма лечения:452 000 руб.
Лечение кариеса зуба 1.7. с нанесением пломбировочного материала Filtek PosteriorСмотреть работуСрок лечения:90 минутСумма лечения:6 000 руб.
Мы работаем с 1988 года
Все наши специалисты — профессионалы своего дела. Гарантируем, вам будет оказана квалифицированная помощь.
Высокое качество лечения
Используем лучшие материалы и оборудование. В качестве работы вы можете убедиться, ознакомившись с отзывами.
Доступные цены
Мы стараемся сократить ваши расходы, поэтому регулярно организуем для вас выгодные акции и скидки.
Тёплое отношение
Вам больше не нужно бояться стоматологов. Наши специалисты гарантируют комфортное и безболезненное лечение.
Удобное расположение
6 филиалов в 10 минутах ходьбы от метро в разных районах Санкт-Петербурга. Мы всегда рады вас видеть!
Сервис онлайн-записи
Теперь вы можете записаться к врачу быстро и легко. Просто выберите удобное время и оставьте заявку на приём!


