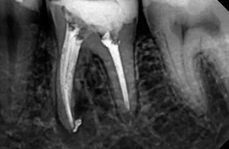
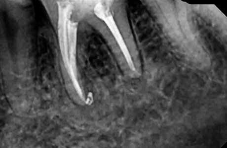
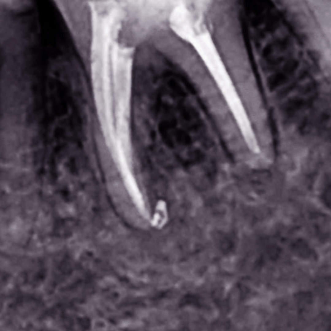
До и после лечения


Осмотр и диагностика
Пациент обратился к нам с жалобами на длительные боли ноющего характера. Боль в области 36 зуба усиливалась при накусывании. После проведения осмотра и рентген-диагностики врачом Афанасьевой Юлией Евгеньевной был поставлен диагноз — обострение хронического периодонтита 36 зуба.
Периодонтит — серьёзное заболевание, развитие которого может привести к потере зуба. Лечение должно быть проведено своевременно и качественно, тогда можно спасти зуб и восстановить его.
Процесс работы
В ходе лечения врач провёл работы:
- проведено эндодонтическое лечение с применением коффердама;
- постоянная пломбировка 4-х корневых каналов;
- временно восстановлена коронковая часть 36 зуба;
- рекомендовано протезирование 36 зуба постоянной коронкой.
Улыбку создавали
Другие работы

Лечение кариозных полостей 14 и 15 зубов при хроническом глубоком кариесе с использованием светоотверждаемого композита ЭстелайтСмотреть работуСрок лечения:90 минутСумма лечения:12 590 руб.
Проведена имплантация по методу All-on-4 имплантами Hi-tecСмотреть работуСрок лечения:5 днейСумма лечения:Стоимость с учётом скидки: 266 000 р.
Мы работаем с 1988 года
Все наши специалисты — профессионалы своего дела. Гарантируем, вам будет оказана квалифицированная помощь.
Высокое качество лечения
Используем лучшие материалы и оборудование. В качестве работы вы можете убедиться, ознакомившись с отзывами.
Доступные цены
Мы стараемся сократить ваши расходы, поэтому регулярно организуем для вас выгодные акции и скидки.
Тёплое отношение
Вам больше не нужно бояться стоматологов. Наши специалисты гарантируют комфортное и безболезненное лечение.
Удобное расположение
6 филиалов в 10 минутах ходьбы от метро в разных районах Санкт-Петербурга. Мы всегда рады вас видеть!
Сервис онлайн-записи
Теперь вы можете записаться к врачу быстро и легко. Просто выберите удобное время и оставьте заявку на приём!


