До и после лечения


Осмотр и диагностика
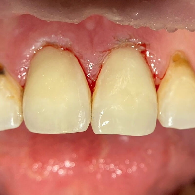
Пациент обратился с жалобой на дефект старой пломбы и боль при накусывани в зубе. С его слов, зуб раньше лечили от кариеса в другом ЛПУ. Диагноз врача «Стоматологии Комфорта» после осмотра — хронический фибриозный пародонтит.
Хронический фибриозный пародонтит трудно выявить при визуальном осмотре. Заболевание считается наименее опасной для человека формой периодонтита, но может вызывать осложнения. Он возникает из-за снижения метаболический процессов и ухудшения васкуляризации.
Процесс работы
Ход лечения:
- рентгенограмма и её анализ
- проведение эндодонтического лечения
Улыбку создавали
Черных Антон АлексеевичВрач стоматолог-терапевт, хирург, имплантолог, ортопедо врачеСтаж работы:
11 лет
Другие работы

Восстановление премоляра, поражённого кариесом, с помощью пломбы ЭстелайтСмотреть работуСрок лечения:60 минутСумма лечения:6 820 руб.
Реставрация 3.7. зуба светоотверждаемым композитом Filtek PosteriorСмотреть работуСрок лечения:1,5 часаСумма лечения:6 000 руб.
Мы работаем с 1988 года
Все наши специалисты — профессионалы своего дела. Гарантируем, вам будет оказана квалифицированная помощь.
Высокое качество лечения
Используем лучшие материалы и оборудование. В качестве работы вы можете убедиться, ознакомившись с отзывами.
Доступные цены
Мы стараемся сократить ваши расходы, поэтому регулярно организуем для вас выгодные акции и скидки.
Тёплое отношение
Вам больше не нужно бояться стоматологов. Наши специалисты гарантируют комфортное и безболезненное лечение.
Удобное расположение
6 филиалов в 10 минутах ходьбы от метро в разных районах Санкт-Петербурга. Мы всегда рады вас видеть!
Сервис онлайн-записи
Теперь вы можете записаться к врачу быстро и легко. Просто выберите удобное время и оставьте заявку на приём!

