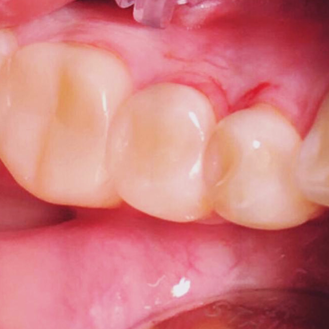
До и после лечения


Осмотр и диагностика
Пациентка обратилась в «Стоматологию Комфорта» с жалобами на выпадение пломб зубов 44 и 45, болезненную реакцию на холодное и застревание пищи. В результате обследования врач Похилько Надежда Геннадьевна обнаружила глубокий кариес в районе зубов 44 и 45. Принято решение провести лечение с использованием композита светового отверждения Estelite.
Глубокий кариес зачастую проявляется ноющими болями, значительными углублениями на эмали и неприятным запахом изо рта. Такое заболевание поражает не только эмаль, но и глубокие слои дентина, граничащего с пульпой. Отсутствие лечения приводит к развитию пульпита, периодонтита, а также потере зубов.
Процесс работы
Ход лечения:
- проведение местной анестезии;
- вскрытие кариозной полости, её очищение и обработка;
- установка пломбы из композита светового отверждения Estelite.
Улыбку создавали
Другие работы

Смотреть работуСрок лечения:90 минутСумма лечения:5 600 руб.
Лечение хронического пульпита жевательного зуба с восстановлением коронковой частиСмотреть работуСрок лечения:1 визитСумма лечения:8 550 р.
Мы работаем с 1988 года
Все наши специалисты — профессионалы своего дела. Гарантируем, вам будет оказана квалифицированная помощь.
Высокое качество лечения
Используем лучшие материалы и оборудование. В качестве работы вы можете убедиться, ознакомившись с отзывами.
Доступные цены
Мы стараемся сократить ваши расходы, поэтому регулярно организуем для вас выгодные акции и скидки.
Тёплое отношение
Вам больше не нужно бояться стоматологов. Наши специалисты гарантируют комфортное и безболезненное лечение.
Удобное расположение
6 филиалов в 10 минутах ходьбы от метро в разных районах Санкт-Петербурга. Мы всегда рады вас видеть!
Сервис онлайн-записи
Теперь вы можете записаться к врачу быстро и легко. Просто выберите удобное время и оставьте заявку на приём!


