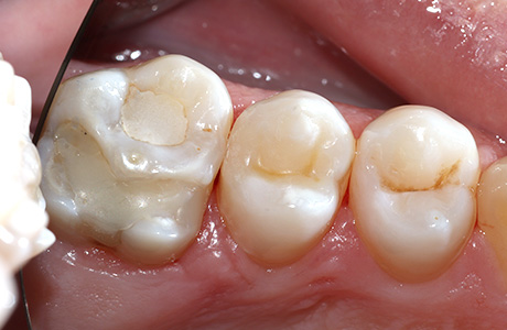
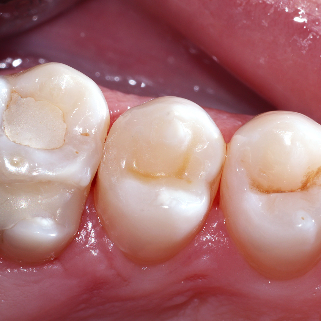
До и после лечения


Осмотр и диагностика
Пациентка обратилась к нам в клинику с жалобами на застревание пищи между зубами во время еды. Беспокоили болевые ощущения в области 15 зуба. Особенно сильный дискомфорт наблюдался от сладкого.
После осмотра наш врач Афанасьева Юлия Евгеньевна поставила диагноз — хронический глубокий кариес 15 зуба.
Часто пациенты не сразу обнаруживают кариозные повреждения зубов. Мы рекомендуем своевременно посещать стоматолога для профилактического осмотра, чтобы избежать развития глубокого кариеса. Всегда лучше решать проблему на ранней стадии.
Процесс работы
В процессе лечения врач провёл следующие работы:
- механическая обработка кариозной полости с использованием коффердама
- медикаментозная обработка Хлоргексидином 2 %
- пломбирование полости светокомпозитным материалом
Улыбку создавали
Другие работы

Устранение кариозной полости и пломбирование зуба 1.2 светоотверждаемым композитом ЭстелайтСмотреть работуСрок лечения:60 минутСумма лечения:6 500 руб.
Лечение глубокого кариеса с установкой пломбы из светоотверждаемого композита EsteliteСмотреть работуСрок лечения:60 минутСумма лечения:7 020 руб.
Мы работаем с 1988 года
Все наши специалисты — профессионалы своего дела. Гарантируем, вам будет оказана квалифицированная помощь.
Высокое качество лечения
Используем лучшие материалы и оборудование. В качестве работы вы можете убедиться, ознакомившись с отзывами.
Доступные цены
Мы стараемся сократить ваши расходы, поэтому регулярно организуем для вас выгодные акции и скидки.
Тёплое отношение
Вам больше не нужно бояться стоматологов. Наши специалисты гарантируют комфортное и безболезненное лечение.
Удобное расположение
6 филиалов в 10 минутах ходьбы от метро в разных районах Санкт-Петербурга. Мы всегда рады вас видеть!
Сервис онлайн-записи
Теперь вы можете записаться к врачу быстро и легко. Просто выберите удобное время и оставьте заявку на приём!


