До и после лечения


Осмотр и диагностика
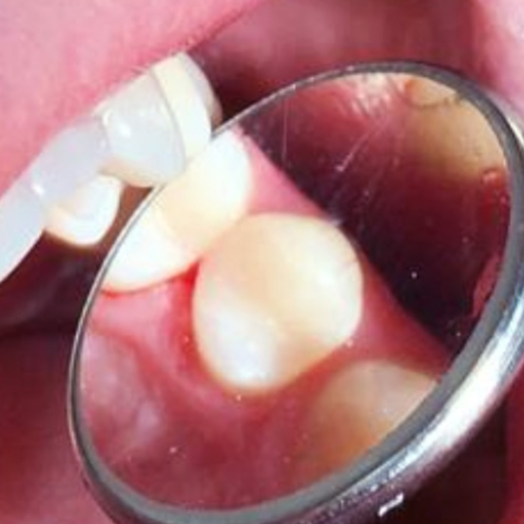
В клинику «Стоматология Комфорта» обратился пациент с жалобой на острую и быстро проходящую боль в премоляре верхней челюсти в результате высокой чувствительности к холодному, а также застревание пищи. Врач Похилько Надежда Геннадьевна осмотрела полости рта и диагностировала глубокий кариес зуба 24, предложила пациенту пройти лечение с установкой световой пломбы Эстелайт.
Пломбы из светоотверждаемых композитов отличаются от пломб химического отверждения тем, что застывают под воздействием УФ-лучей. Светокомпозит обладает высокой эстетикой, не отличается от натурального оттенка зуба. Среди других преимуществ: гипоаллергенность, высокая прочность и безопасность, быстрая фиксация, долговечность.
Процесс работы
В процессе лечения врач провёл следующие манипуляции:
- анестезия;
- изоляция зуба перед лечением;
- очищение и формирование кариозной полости;
- установка светового композита и его фиксация;
- шлифовка и полировка готового зуба.
Улыбку создавали
Другие работы

Лечение кариеса зуба 4.6 композитом Filtek Posterior A3Смотреть работуСрок лечения:90 минутСумма лечения:6 000 руб.
Удаление зуба при хроническом локализованном пародонтите тяжёлой степениСмотреть работуСрок лечения:1 визит, 30 минутСумма лечения:3920 руб.
Мы работаем с 1988 года
Все наши специалисты — профессионалы своего дела. Гарантируем, вам будет оказана квалифицированная помощь.
Высокое качество лечения
Используем лучшие материалы и оборудование. В качестве работы вы можете убедиться, ознакомившись с отзывами.
Доступные цены
Мы стараемся сократить ваши расходы, поэтому регулярно организуем для вас выгодные акции и скидки.
Тёплое отношение
Вам больше не нужно бояться стоматологов. Наши специалисты гарантируют комфортное и безболезненное лечение.
Удобное расположение
6 филиалов в 10 минутах ходьбы от метро в разных районах Санкт-Петербурга. Мы всегда рады вас видеть!
Сервис онлайн-записи
Теперь вы можете записаться к врачу быстро и легко. Просто выберите удобное время и оставьте заявку на приём!


