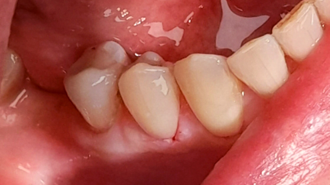
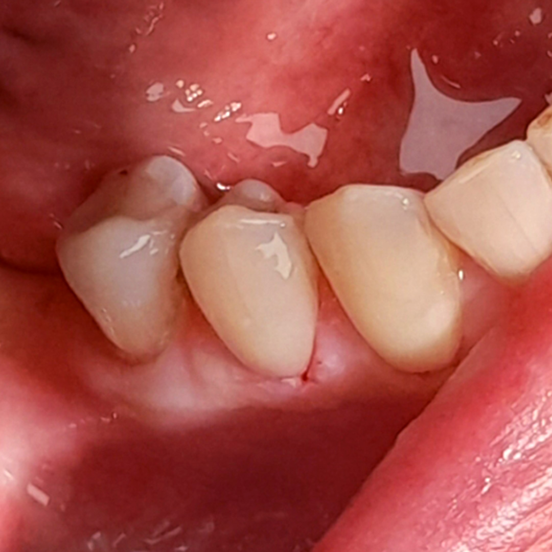
До и после лечения


Осмотр и диагностика
В «Стоматологию Комфорта» обратилась пациентка с жалобами на боль при чистке зубов и кратковременную боль от холодного в области 44 зуба. При осмотре врач-стоматолог Похилько Н. Г. обнаружила кариозную полость на вестибулярной поверхности 44 зуба. Было установлено, что зондирование чувствительно, перкуссия безболезненна, реакция на холод выражена, но проходит при прекращении действия раздражителя. Доктор диагностировала хронический средний кариес 44 зуба и приняла решение о лечении с использованием композита светового отверждения Estelite под инфильтрационной анестезией и под контролем кариес-маркера.
Estelite — инновационный пломбировочный материал с повышенными эстетическими показателями. Учёные создали особый композитный раствор Estelite Sigma Quick с рентгеноконтрастными свойствами. Он предназначен для зубов, поражённых кариесом. Композит выглядит естественно, имеет высокий уровень прочности и быстро полимеризуется под воздействием светового излучения. Кремниево-циркониевый и композиционный наполнители являются основными составляющими Estelite.
Процесс работы
В ходе лечения проведены следующие работы:
- окрашивание кариес-маркером;
- гигиеническая чистка зубов;
- выбор оттенка пломбировочного материала Estelite;
- введение инфильтрационного анестетика;
- удаление кариозного дентина;
- наложение коффердама для изоляции зуба от жидкостей;
- антисептическая обработка кариозной полости;
- обработка эмали адгезивом;
- наложение изолирующей прокладки;
- пломбирование зуба композитным материалом Estelite;
- шлифовка и полировка 44 зуба;
- обработка полости рта.
Улыбку создавали
Другие работы

Устранение эстетических дефектов и болевых ощущенийСмотреть работуСрок лечения:1 визитСумма лечения:12 810 р.
Лечение кариеса с применением пломбировочного материала EsteliteСмотреть работуСрок лечения:60 минутСумма лечения:5 360 р.
Мы работаем с 1988 года
Все наши специалисты — профессионалы своего дела. Гарантируем, вам будет оказана квалифицированная помощь.
Высокое качество лечения
Используем лучшие материалы и оборудование. В качестве работы вы можете убедиться, ознакомившись с отзывами.
Доступные цены
Мы стараемся сократить ваши расходы, поэтому регулярно организуем для вас выгодные акции и скидки.
Тёплое отношение
Вам больше не нужно бояться стоматологов. Наши специалисты гарантируют комфортное и безболезненное лечение.
Удобное расположение
6 филиалов в 10 минутах ходьбы от метро в разных районах Санкт-Петербурга. Мы всегда рады вас видеть!
Сервис онлайн-записи
Теперь вы можете записаться к врачу быстро и легко. Просто выберите удобное время и оставьте заявку на приём!


