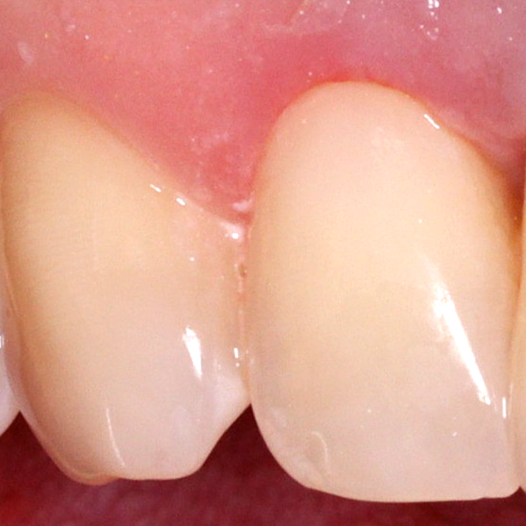
До и после лечения


Осмотр и диагностика
В клинику обратилась пациентка с жалобами на неудовлетворительную эстетику и повышенную чувствительность верхнего резца во время чистки зубов. Стоматолог осмотрел полость рта, провёл обследование и поставил диагноз — хронический средний кариес зуба 1.2. Проведено лечение с применением композитного материала Эстелайт.
Опасность хронического кариеса в том, что он не вызывает таких болевых ощущений, как острое воспаление. В результате пациенты не придают этому должное значение и запускают заболевание. Если не приступить к лечению среднего кариеса своевременно, он перетекает в глубокую стадию, что чревато потерей зуба.
Процесс работы
В ходе лечения проведены следующие работы:
- введение инфильтрационной анестезии;
- обработка кариозной полости с применением системы коффердам;
- установка пломбы из светоотверждаемого композита Estelite;
- микроконтурирование и макроконтурирование пломбы.
Улыбку создавали
Другие работы

Реставрация 3.7. зуба светоотверждаемым композитом Filtek PosteriorСмотреть работуСрок лечения:1,5 часаСумма лечения:6 000 руб.
Удаление твёрдых отложений с помощью ультразвука, чистка Air Flow и полировка зубовСмотреть работуСрок лечения:50 минутСумма лечения:3 850 руб.
Мы работаем с 1988 года
Все наши специалисты — профессионалы своего дела. Гарантируем, вам будет оказана квалифицированная помощь.
Высокое качество лечения
Используем лучшие материалы и оборудование. В качестве работы вы можете убедиться, ознакомившись с отзывами.
Доступные цены
Мы стараемся сократить ваши расходы, поэтому регулярно организуем для вас выгодные акции и скидки.
Тёплое отношение
Вам больше не нужно бояться стоматологов. Наши специалисты гарантируют комфортное и безболезненное лечение.
Удобное расположение
6 филиалов в 10 минутах ходьбы от метро в разных районах Санкт-Петербурга. Мы всегда рады вас видеть!
Сервис онлайн-записи
Теперь вы можете записаться к врачу быстро и легко. Просто выберите удобное время и оставьте заявку на приём!


