До и после лечения


Осмотр и диагностика
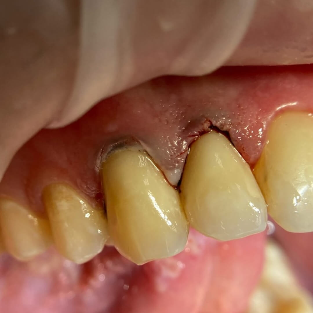
Пациентка обратилась в «Стоматологию Комфорта» с жалобами на эстетический дефект передних зубов. Врач Галухина Карина Николаевна во время осмотра выявила кариозные полости на 1.2. и 1.3 зубах. Было решено провести лечение с помощью пломбировочного материала Vitremer A3. Врач также рекомендовала рациональную гигиену полости рта после лечения.
Пломбировочный материал Vitremer имеет 3 механизма отверждения, что благотворно влияет на краевое прилегание к зубу, а также качественную адгезию. При этом все области полноценно заполняются при нанесении 1 порции материала. Масса является интактной: пломба отличается долговечностью, риск выпадения сведён к минимуму. Vitremer препятствует развитию кариозных процессов.
Процесс работы
В ходе лечения проведены следующие работы:
- введение анестетика;
- применение системы изоляции рабочего поля;
- наложение лечебной прокладки;
- наложение изолирующей прокладки;
- пломбирование композитом Vitremer;
- шлифовка и полировка пломбы;
- обработка полости рта.
Улыбку создавали
Другие работы

Восстановление зубов нижней челюсти при полной адентииСмотреть работуСрок лечения:3 визитаСумма лечения:426 000 р.
Лечение хронического пульпита с временной реставрацией коронковой частиСмотреть работуСрок лечения:1 визитСумма лечения:13 090 руб.
Мы работаем с 1988 года
Все наши специалисты — профессионалы своего дела. Гарантируем, вам будет оказана квалифицированная помощь.
Высокое качество лечения
Используем лучшие материалы и оборудование. В качестве работы вы можете убедиться, ознакомившись с отзывами.
Доступные цены
Мы стараемся сократить ваши расходы, поэтому регулярно организуем для вас выгодные акции и скидки.
Тёплое отношение
Вам больше не нужно бояться стоматологов. Наши специалисты гарантируют комфортное и безболезненное лечение.
Удобное расположение
6 филиалов в 10 минутах ходьбы от метро в разных районах Санкт-Петербурга. Мы всегда рады вас видеть!
Сервис онлайн-записи
Теперь вы можете записаться к врачу быстро и легко. Просто выберите удобное время и оставьте заявку на приём!


