До и после лечения


Осмотр и диагностика
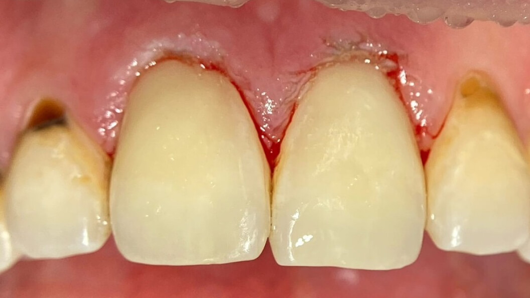
Пациент обратился в «Стоматологию Комфорта» с жалобами на эстетический дефект передних зубов. Врач Галухина Карина Николаевна провела осмотр и поставила диагноз: кариес дентина 1.1 и 2.1 зуба. Врач приняла решение о лечении кариеса с помощью пломбировочного материала Vitremer, а также рекомендовала тщательную индивидуальную гигиену полости рта после лечения.
Пломбировочно-косметический материал Vitremer обладает хорошей адгезией и биосовместимостью с тканями зуба. Композит выделяет фтористые соединения. Вещество затвердевает под действием света и имеет механизм самополяризации в участках, которые лишены доступа света. При реставрации зубов происходит послойное наложение и светооблучение материала.
Процесс работы
В ходе лечения проведены следующие работы:
- введение анестетика;
- применение системы изоляции рабочего поля;
- наложение лечебной прокладки;
- наложение изолирующей прокладки;
- пломбирование композитом Vitremer;
- шлифовка и полировка пломбы;
- обработка полости рта.
Улыбку создавали
Другие работы

Лечение хронического фиброзного пульпита 13 зубаСмотреть работуСрок лечения:2 часа (2 посещения)Сумма лечения:15 350 руб.
Лечение хронического пульпита с временной реставрацией коронковой частиСмотреть работуСрок лечения:1 визитСумма лечения:13 090 руб.
Мы работаем с 1988 года
Все наши специалисты — профессионалы своего дела. Гарантируем, вам будет оказана квалифицированная помощь.
Высокое качество лечения
Используем лучшие материалы и оборудование. В качестве работы вы можете убедиться, ознакомившись с отзывами.
Доступные цены
Мы стараемся сократить ваши расходы, поэтому регулярно организуем для вас выгодные акции и скидки.
Тёплое отношение
Вам больше не нужно бояться стоматологов. Наши специалисты гарантируют комфортное и безболезненное лечение.
Удобное расположение
6 филиалов в 10 минутах ходьбы от метро в разных районах Санкт-Петербурга. Мы всегда рады вас видеть!
Сервис онлайн-записи
Теперь вы можете записаться к врачу быстро и легко. Просто выберите удобное время и оставьте заявку на приём!


