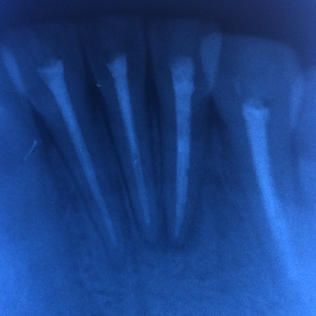
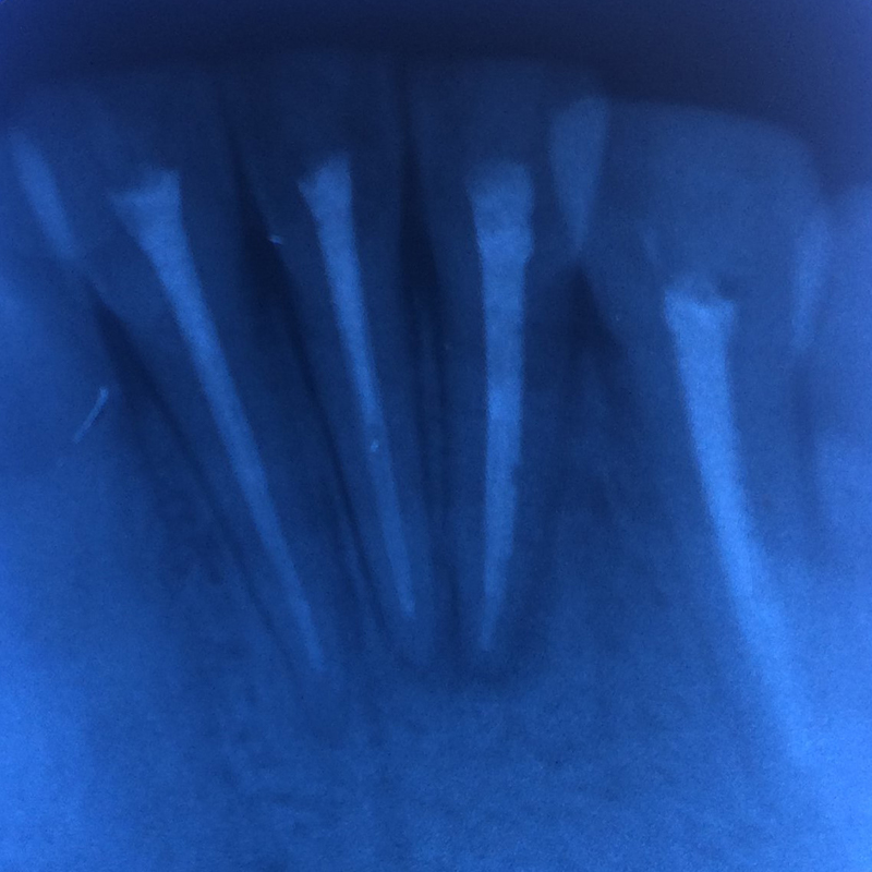
До и после лечения


Осмотр и диагностика
Пациент обратился в «Стоматологию Комфорта» с жалобой на острую боль в области нижних резцов, возникшую после начала лечения в другой клинике. В ходе осмотра и по результатам диагностики врач стоматолог-терапевт Вахлюева Елена Сергеевна поставила диагноз — периодонтит в стадии обострения.
Периодонтит — это воспалительное заболевание, которое характеризуется острой болью в зубе, его подвижностью и появлением отёков. Воспалительные процесс протекает стремительно, в связи с чем требуется оперативное медицинское вмешательство. При отсутствии лечения периодонтит приводит к потере здоровых зубов.
Процесс работы
В процессе лечения проведены следующие манипуляции:
- эндодонтическое лечение зубов 3.1, 3.2, 4.1, 4.2;
- пломбировка корневых каналов;
- временное восстановление коронковой части зубов.
Улыбку создавали
Другие работы

Лечение кариеса зуба 1.6 композитом EsteliteСмотреть работуСрок лечения:1 часСумма лечения:6 500 руб.
Эндодонтическое лечение с коффердам и пломбировкой при хроническом пульпитеСмотреть работуСрок лечения:1 визит, 90 минутСумма лечения:12 090 руб.
Мы работаем с 1988 года
Все наши специалисты — профессионалы своего дела. Гарантируем, вам будет оказана квалифицированная помощь.
Высокое качество лечения
Используем лучшие материалы и оборудование. В качестве работы вы можете убедиться, ознакомившись с отзывами.
Доступные цены
Мы стараемся сократить ваши расходы, поэтому регулярно организуем для вас выгодные акции и скидки.
Тёплое отношение
Вам больше не нужно бояться стоматологов. Наши специалисты гарантируют комфортное и безболезненное лечение.
Удобное расположение
6 филиалов в 10 минутах ходьбы от метро в разных районах Санкт-Петербурга. Мы всегда рады вас видеть!
Сервис онлайн-записи
Теперь вы можете записаться к врачу быстро и легко. Просто выберите удобное время и оставьте заявку на приём!





