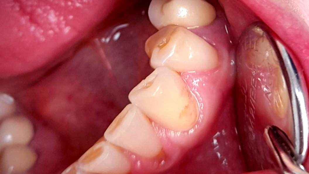
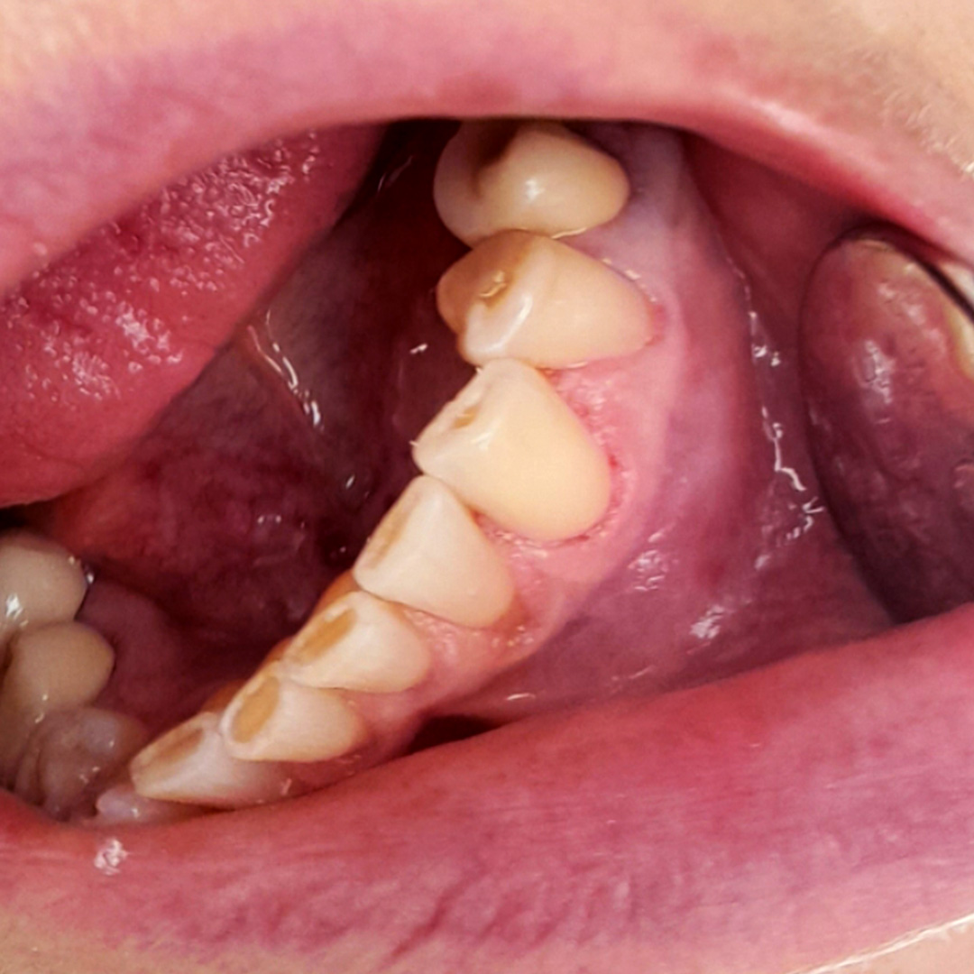
До и после лечения


Осмотр и диагностика
В стоматологию обратилась пациентка с жалобами на быстро проходящую боль от холодного в районе клыка нижней челюсти. Врач провёл осмотр, а также реакцию зуба на холодный воздух и зондирование. В результате выявлена кариозная полость. Поставлен диагноз — средний кариес зуба 3.3 (вестибулярно). Проведено лечение с использованием композита светового отверждения Эстелайт.
Средний кариес зачастую приносит лишь лёгкий дискомфорт, в результате чего пациент длительное время откладывает визит к стоматологу. Тем временем заболевание прогрессирует и перерастает в глубокую стадию. Чтобы избежать осложнений и потери зуба, проходите осмотр стоматолога раз в полгода, а также обращайтесь к специалисту при появлении первых симптомов воспаления.
Процесс работы
В ходе лечения врач провёл следующие манипуляции:
- инфильтрационная анестезия;
- ретракция десны нитью;
- механическая и медикаментозная обработка кариозной полости;
- наложение изолирующей прокладки;
- постановка пломбы из материала Эстелайт.
Улыбку создавали
Другие работы

Устранение кровоточивости дёсен и налёта на зубахСмотреть работуСрок лечения:1 визитСумма лечения:3 850 р.

Мы работаем с 1988 года
Все наши специалисты — профессионалы своего дела. Гарантируем, вам будет оказана квалифицированная помощь.
Высокое качество лечения
Используем лучшие материалы и оборудование. В качестве работы вы можете убедиться, ознакомившись с отзывами.
Доступные цены
Мы стараемся сократить ваши расходы, поэтому регулярно организуем для вас выгодные акции и скидки.
Тёплое отношение
Вам больше не нужно бояться стоматологов. Наши специалисты гарантируют комфортное и безболезненное лечение.
Удобное расположение
6 филиалов в 10 минутах ходьбы от метро в разных районах Санкт-Петербурга. Мы всегда рады вас видеть!
Сервис онлайн-записи
Теперь вы можете записаться к врачу быстро и легко. Просто выберите удобное время и оставьте заявку на приём!


