До и после лечения


Осмотр и диагностика
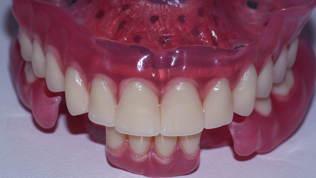
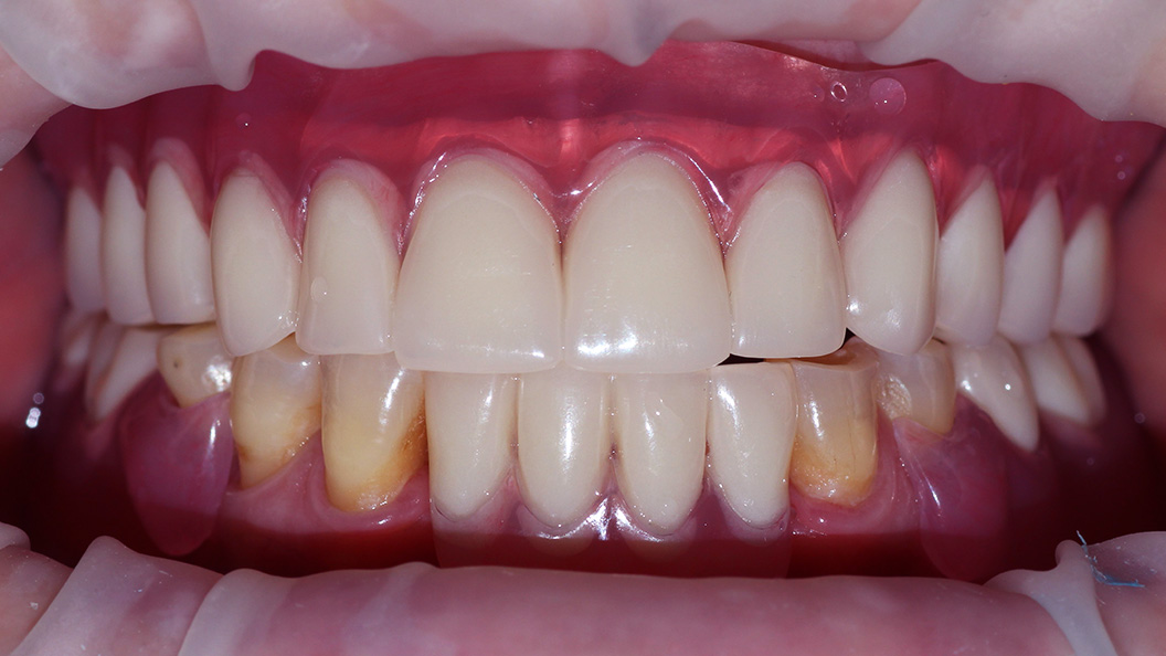
К нам обратилась пациентка с желанием восстановить зубы на верхней челюсти. На консультации врач Мельников Алексей Владимирович назначил рентген-диагностику, по результатам которой посоветовал установку съёмного протеза на 3 импланта.
Протезирование на имплантах позволяет проводить эстетичное восстановление зубов при полной адентии. Ортопедическая конструкция при этом надёжно крепится в полсти рта и не выпадает при разговоре и приёме пищи.
Процесс работы
В ходе лечения были проведены следующие работы:
- подготовка и санирование полости рта к протезированию;
- установка 3-х имплантов системы Straumann (Швейцария);
- снятие слепков после приживления имплантов;
- изготовление и фиксация съёмного протеза.
Улыбку создавали
Другие работы

Тотальная реабилитация при помощи диоксид-циркониевых коронокСмотреть работуСрок лечения:4 визитаСумма лечения:297 000 р.
Смотреть работуСрок лечения:6 месяцевСумма лечения:238 000 руб.
Мы работаем с 1988 года
Все наши специалисты — профессионалы своего дела. Гарантируем, вам будет оказана квалифицированная помощь.
Высокое качество лечения
Используем лучшие материалы и оборудование. В качестве работы вы можете убедиться, ознакомившись с отзывами.
Доступные цены
Мы стараемся сократить ваши расходы, поэтому регулярно организуем для вас выгодные акции и скидки.
Тёплое отношение
Вам больше не нужно бояться стоматологов. Наши специалисты гарантируют комфортное и безболезненное лечение.
Удобное расположение
6 филиалов в 10 минутах ходьбы от метро в разных районах Санкт-Петербурга. Мы всегда рады вас видеть!
Сервис онлайн-записи
Теперь вы можете записаться к врачу быстро и легко. Просто выберите удобное время и оставьте заявку на приём!







