До и после лечения


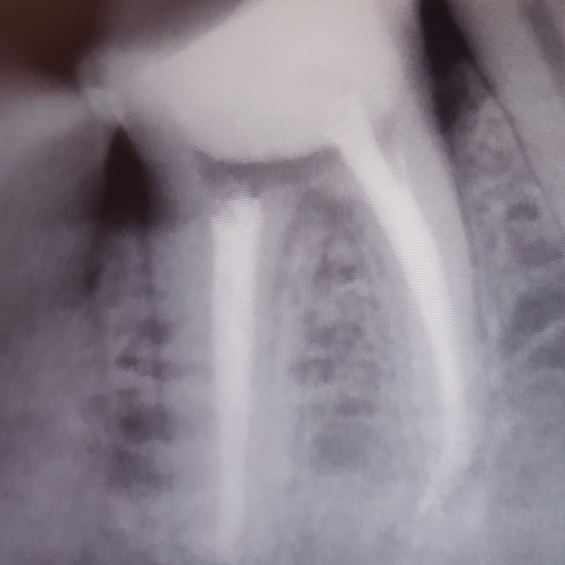
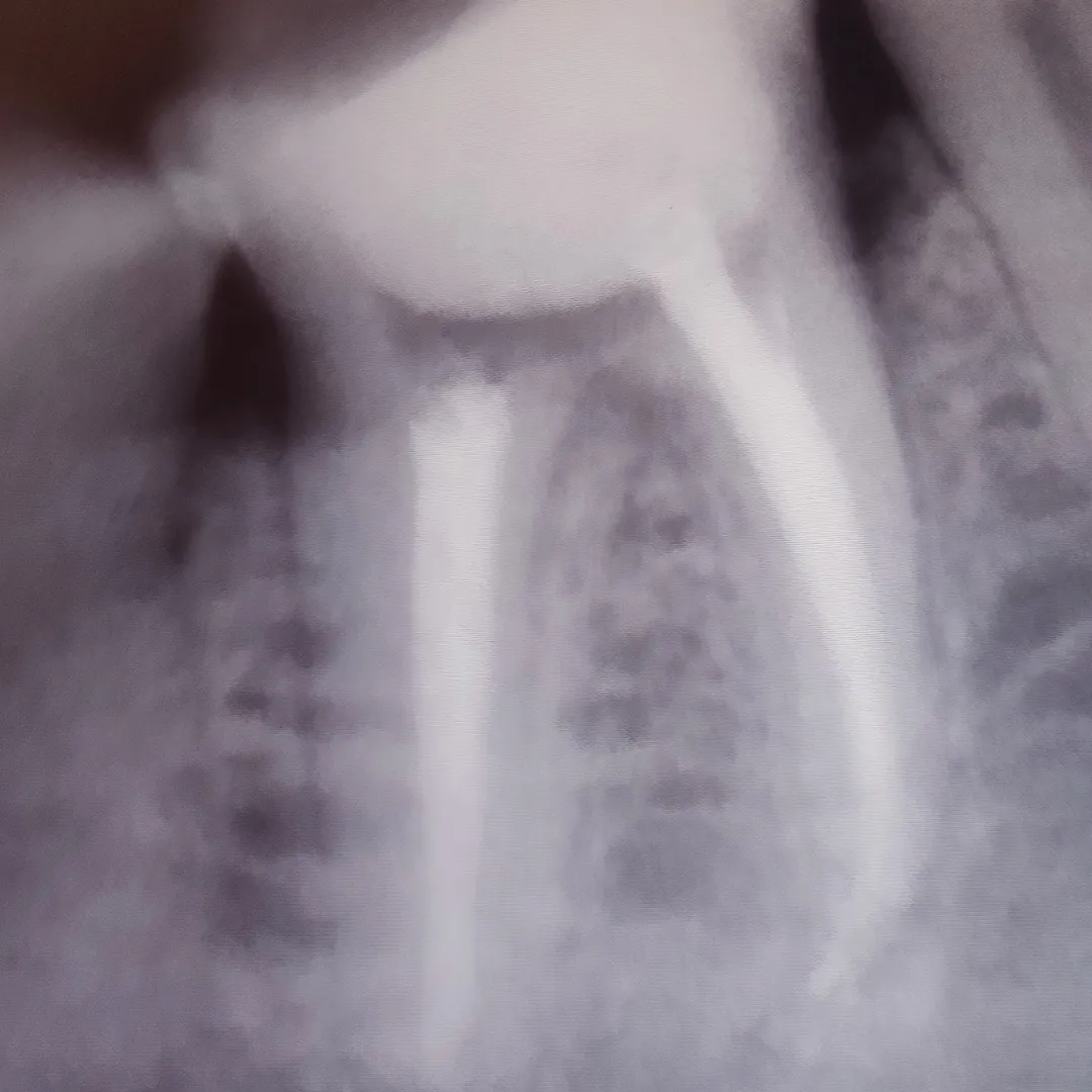
Осмотр и диагностика
К нам в клинику обратился пациент с жалобами на постоянные ноющие боли, усиливающиеся в вечернее время в зубе 4.8. Боль от холодного проходит не сразу. Зуб начал беспокоить пару дней назад. После проведения рентгенограммы доктор Черных Антон Алексеевич поставил диагноз: обострение хронического пульпита и принял решение удалять 4.8 зуб.
При осложнении глубокого кариеса воспалительный процесс переходит в пульпу. Развивается пульпит, который необходимо в срочном порядке лечить. Если этого не происходит вовремя, то начинается стадия обострения. Процесс сопровождается сильными болевыми ощущениями, потому что через пульпу проходит огромное количеств нервных окончаний. В такой ситуации зуб подлежит удалению.
Процесс работы
В ходе лечения были проведены следующие работы:
- удаление 4.8 зуба
- кюретаж лунки
Улыбку создавали
Черных Антон АлексеевичВрач стоматолог-терапевт, хирург, имплантолог, ортопедо врачеСтаж работы:
11 лет
Другие работы

Реставрация зуба 3.5, пораженного глубоким кариесом, композитом из светоотверждаемого материала ЭстелайтСмотреть работуСрок лечения:60 минутСумма лечения:7 280 руб.
Ортодонтическое лечение верхней и нижней челюстей при скученности зубовСмотреть работуСрок лечения:1,5 годаСумма лечения:112 900 р.
Мы работаем с 1988 года
Все наши специалисты — профессионалы своего дела. Гарантируем, вам будет оказана квалифицированная помощь.
Высокое качество лечения
Используем лучшие материалы и оборудование. В качестве работы вы можете убедиться, ознакомившись с отзывами.
Доступные цены
Мы стараемся сократить ваши расходы, поэтому регулярно организуем для вас выгодные акции и скидки.
Тёплое отношение
Вам больше не нужно бояться стоматологов. Наши специалисты гарантируют комфортное и безболезненное лечение.
Удобное расположение
6 филиалов в 10 минутах ходьбы от метро в разных районах Санкт-Петербурга. Мы всегда рады вас видеть!
Сервис онлайн-записи
Теперь вы можете записаться к врачу быстро и легко. Просто выберите удобное время и оставьте заявку на приём!

