До и после лечения


Осмотр и диагностика
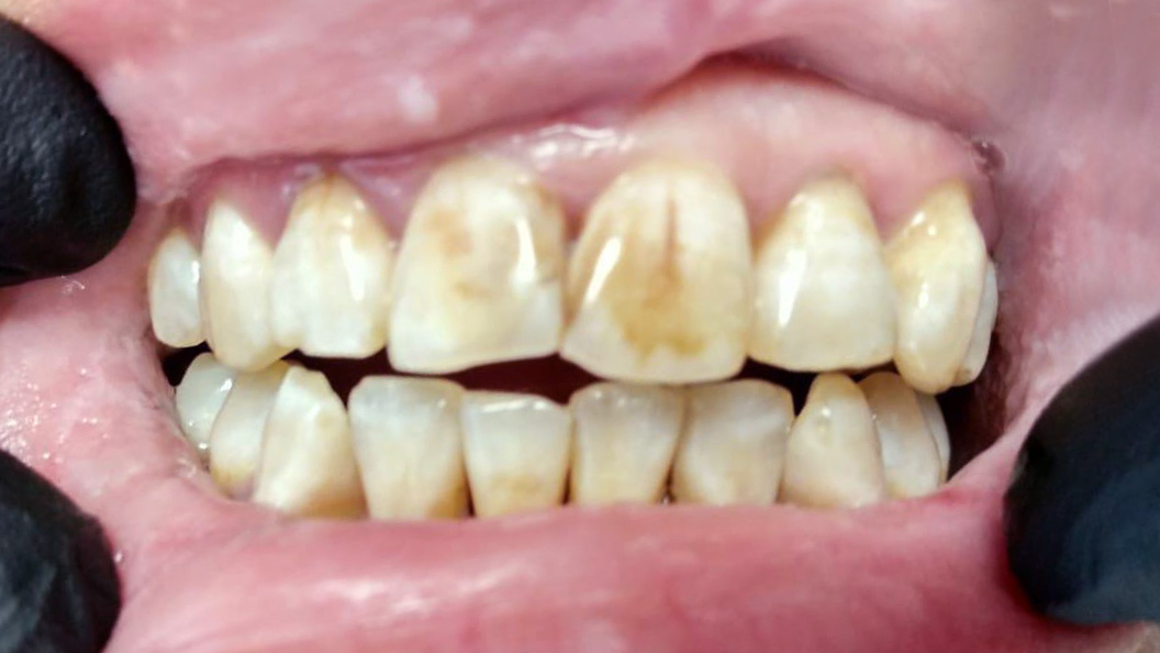
В нашу клинику обратилась пациентка с жалобами на неудовлетворительный вид зубов в зоне улыбки и связанный с этим психологический дискомфорт. Основное её желание — быстрое восстановление эстетики по приемлемой цене. Наш врач Боханов Александр Викторович после осмотра предложил провести реставрацию верхних зубов компонирами.
Реставрация компонирами подразумевает послойное нанесение светоотверждаемого композитного материала непосредственно в полости рта пациента. Широкая линейка цветов позволяет подобрать оттенок, максимально схожий со своими зубами. Отличаются невысокой ценой и отличной эстетикой.
Процесс работы
В ходе лечения были проведены следующие работы:
- профессиональная гигиена полости рта
- терапевтическое лечение и подготовка зубов
- установка компониров на зубы 11,12, 21, 22
Улыбку создавали
Другие работы



Устранение повышенной чувствительности зубов к холодной пищеСмотреть работуСрок лечения:1 визитСумма лечения:7 800 руб.
Мы работаем с 1988 года
Все наши специалисты — профессионалы своего дела. Гарантируем, вам будет оказана квалифицированная помощь.
Высокое качество лечения
Используем лучшие материалы и оборудование. В качестве работы вы можете убедиться, ознакомившись с отзывами.
Доступные цены
Мы стараемся сократить ваши расходы, поэтому регулярно организуем для вас выгодные акции и скидки.
Тёплое отношение
Вам больше не нужно бояться стоматологов. Наши специалисты гарантируют комфортное и безболезненное лечение.
Удобное расположение
6 филиалов в 10 минутах ходьбы от метро в разных районах Санкт-Петербурга. Мы всегда рады вас видеть!
Сервис онлайн-записи
Теперь вы можете записаться к врачу быстро и легко. Просто выберите удобное время и оставьте заявку на приём!


