
Металлокерамика – что это
В стоматологической практике это комбинированный материал, из которого изготавливают ортопедические конструкции, сочетающие прочность, доступность, эстетику.
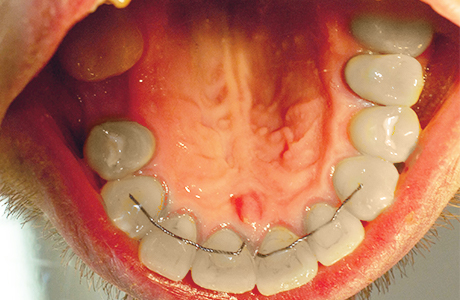
В основе коронки лежит металлический каркас, повторяющий форму зубной единицы. На него напыляют или наплавляют керамику, которую подбирают индивидуально под оттенок эмали. Керамическая облицовка долго сохраняет естественный цвет, не впитывает красящие вещества.
Для жевательных и передних зубов
Низкая вероятность аллергических реакций позволяет устанавливать металлокерамику на передних и жевательных зубах при индивидуальной непереносимости компонентов других ортопедических протезов.
Установка на передние зубы допустима. Но во фронтальной зоне снижена прозрачность зубной эмали, что приводит к просвечиванию металлического каркаса сквозь керамическое напыление. Поэтому стоматологи рекомендуют проводить протезирование эстетически значимой области (зона улыбки) на диоксиде циркония или безметалловой керамике E-max (Имакс).
Установка металлокерамики на жевательные единицы предпочтительней, что обусловлено низкой эстетической составляющей, высокими требованиями к прочности зубного протеза. Металлокерамическая коронка повторяет структуру зуба, оттенок эмали, выдерживает повышенную жевательную нагрузку.
Металлокерамические коронки и протезы решают проблему:
- Эстетических дефектов (изменений формы, цвета зубной единицы, вызванных кариесом, травмой, побочным действием лекарственных препаратов, курением);
- Аномалий челюсти (нестандартная форма, размер);
- Наследственных патологий эмали, обнаруженных при профилактическом осмотре;
- Сильно разрушенных зубных единиц (установка виниров, вкладок невозможна).
Цены
- Коронка металлокерамикаот 21000 ₽
Виды металлокерамических коронок
Наша клиника оснащена зуботехнической лабораторией, что позволяет изготавливать ортопедические конструкции под индивидуальные особенности пациента. Учитываем размер, форму челюсти, оттенок эмали, жевательную нагрузку, возраст пациента, непереносимость составов.








Показания и противопоказания
Показания и противопоказания определяет специалист после консультации.
Преимущества и недостатки
Совет: какую металлокерамику лучше выбрать
Передние зубы стоматологи советуют протезировать коронками из диоксида циркония. Он придает прочность и эстетичность зубным единицам, не просвечивается сквозь напыление, предотвращает попадание болезнетворных бактерий. Материал надежен, долговечен, идентичен натуральному цвету эмали, обладает низкой теплопроводностью. Риск аллергических реакций минимальный.
- ДиагностикаСтоматолог осматривает полость рта, определяет участок для работы. Удаляет зубной камень или налет. Назначает инструментальные методы исследования – рентгенограмму для исключения воспалительного процесса корня. Дефекты единиц устраняют до протезирования.
- ПодготовкаУдаляют нежизнеспособные корни и нервы под местом установки коронки. Проводят депульпирование. Обтачивают верхний слой. Процедура безболезненна. Снимают слепок, отправляют в зуботехническую лабораторию. Срок изготовления металлокерамической коронки – 10-14 дней. Устанавливают временную коронку (на имплант) или пластмассовый протез (защита от попадания патогенных микроорганизмов).
- ПримеркаПосле первой примерки техники дорабатывают конструкцию: напыляют керамику, эмаль. После повторной примерки наносят глазурь, придающую блеск.
- УстановкаПротез закрепляют временным цементом (до 3 месяцев). Отсутствие боли, дискомфорта, неприятных ощущений – показание к очистке и постоянной фиксации коронки.
Сравнение металлокерамики, керамики, циркония



Как увеличить срок службы
Врачи рекомендуют:
Отзывы пациентов
Все отзывыКакой прекрасный врач Денис Геннадьевич, мы с ним стали родными людьми, поставила коронку, все супер, спасибо огромное Денис Геннадьевич, Вы лучший врач, ещё огромное спасибо его ассистенту Наталье.
Обратилась в клинику Стоматология комфорта на ул. Дыбенко д.27 к доктору Черных Антону Алексеевичу впервые и ничуть не пожалела. Проблема с коронками возникла второй раз, первый раз обратилась к клинику Мой зубной, в которой мне установили коронки за 5 минут на 3 дня, потом повторно ходила и опять на 28 дней, доктор Черных А.А. очень ответственно и качественно выполнил все процедуры, прием прошел очень доброжелательно. Теперь я зная хорошего доктора и буду ходить только к нему и рекомендовать его своим друзьям. Спасибо Вам большое.
Мы работаем с 1988 года
Все наши специалисты — профессионалы своего дела. Гарантируем, вам будет оказана квалифицированная помощь.
Высокое качество лечения
Используем лучшие материалы и оборудование. В качестве работы вы можете убедиться, ознакомившись с отзывами.
Доступные цены
Мы стараемся сократить ваши расходы, поэтому регулярно организуем для вас выгодные акции и скидки.
Тёплое отношение
Вам больше не нужно бояться стоматологов. Наши специалисты гарантируют комфортное и безболезненное лечение.
Удобное расположение
6 филиалов в 10 минутах ходьбы от метро в разных районах Санкт-Петербурга. Мы всегда рады вас видеть!
Сервис онлайн-записи
Теперь вы можете записаться к врачу быстро и легко. Просто выберите удобное время и оставьте заявку на приём!










