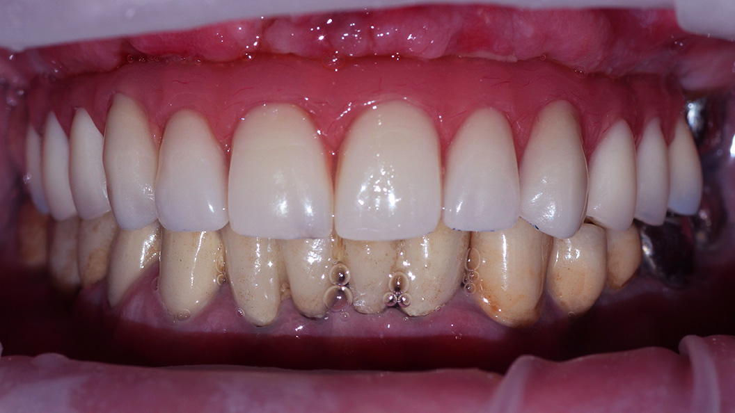
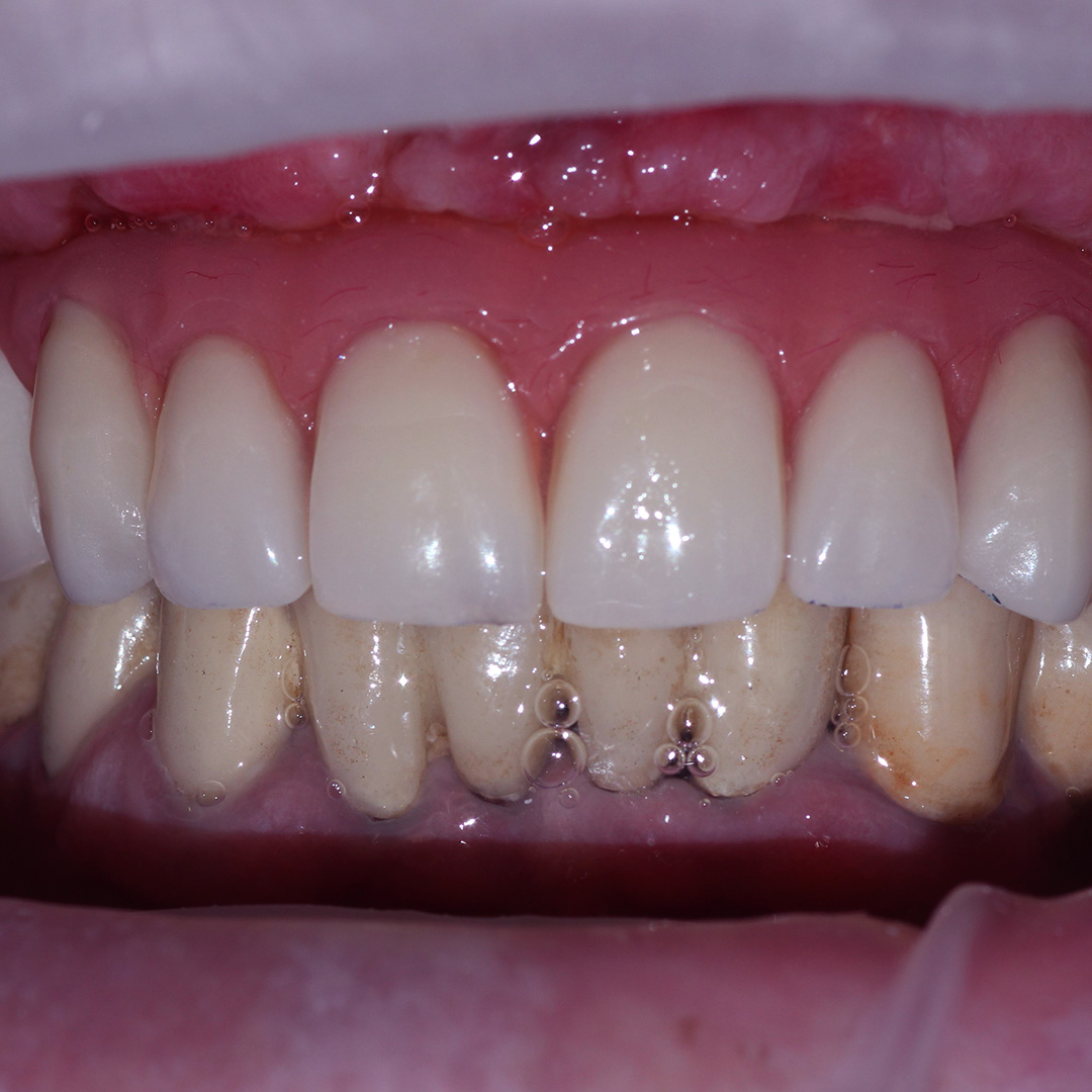
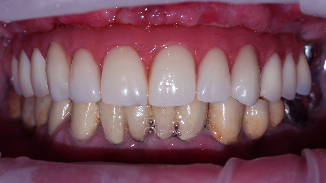
До и после лечения


Осмотр и диагностика
К нам обратился пациент с жалобами на адентию верхней челюсти и желанием быстрого восстановления жевательной функции. После проведения осмотра и проведения рентгенограммы стоматолог-хирург, ортопед Мельников Алексей Владимирович предложил установку заживляющего прикручиваемого протеза по методике All-on-6 или «Всё на 6-ти».
Технология All-on-6 (а также All-on-4) позволяет установку ортопедической конструкции сразу после имплантации или в течение 72 часов. Нагрузка протезов производится таким образом, что не травмирует слизистую.
Процесс работы
В ходе процедуры были проведены следующие работы:
- подготовка полости рта к имплантации;
- изготовление протеза по предварительно созданной модели;
- вживление 6-ти имплантов на верхней челюсти;
- установка прикручиваемого протеза через 3 дня после операции.
Улыбку создавали
Другие работы

Проведение профессиональной гигиены для удаления налёта и лечения гингивитаСмотреть работуСрок лечения:40 минутСумма лечения:3 850 руб.
Восстановление зубов путём установки имплантов и протезирования металлокерамическими коронкамиСмотреть работуСрок лечения:4 визитаСумма лечения:117 000 р.
Мы работаем с 1988 года
Все наши специалисты — профессионалы своего дела. Гарантируем, вам будет оказана квалифицированная помощь.
Высокое качество лечения
Используем лучшие материалы и оборудование. В качестве работы вы можете убедиться, ознакомившись с отзывами.
Доступные цены
Мы стараемся сократить ваши расходы, поэтому регулярно организуем для вас выгодные акции и скидки.
Тёплое отношение
Вам больше не нужно бояться стоматологов. Наши специалисты гарантируют комфортное и безболезненное лечение.
Удобное расположение
6 филиалов в 10 минутах ходьбы от метро в разных районах Санкт-Петербурга. Мы всегда рады вас видеть!
Сервис онлайн-записи
Теперь вы можете записаться к врачу быстро и легко. Просто выберите удобное время и оставьте заявку на приём!






