До и после лечения


Осмотр и диагностика
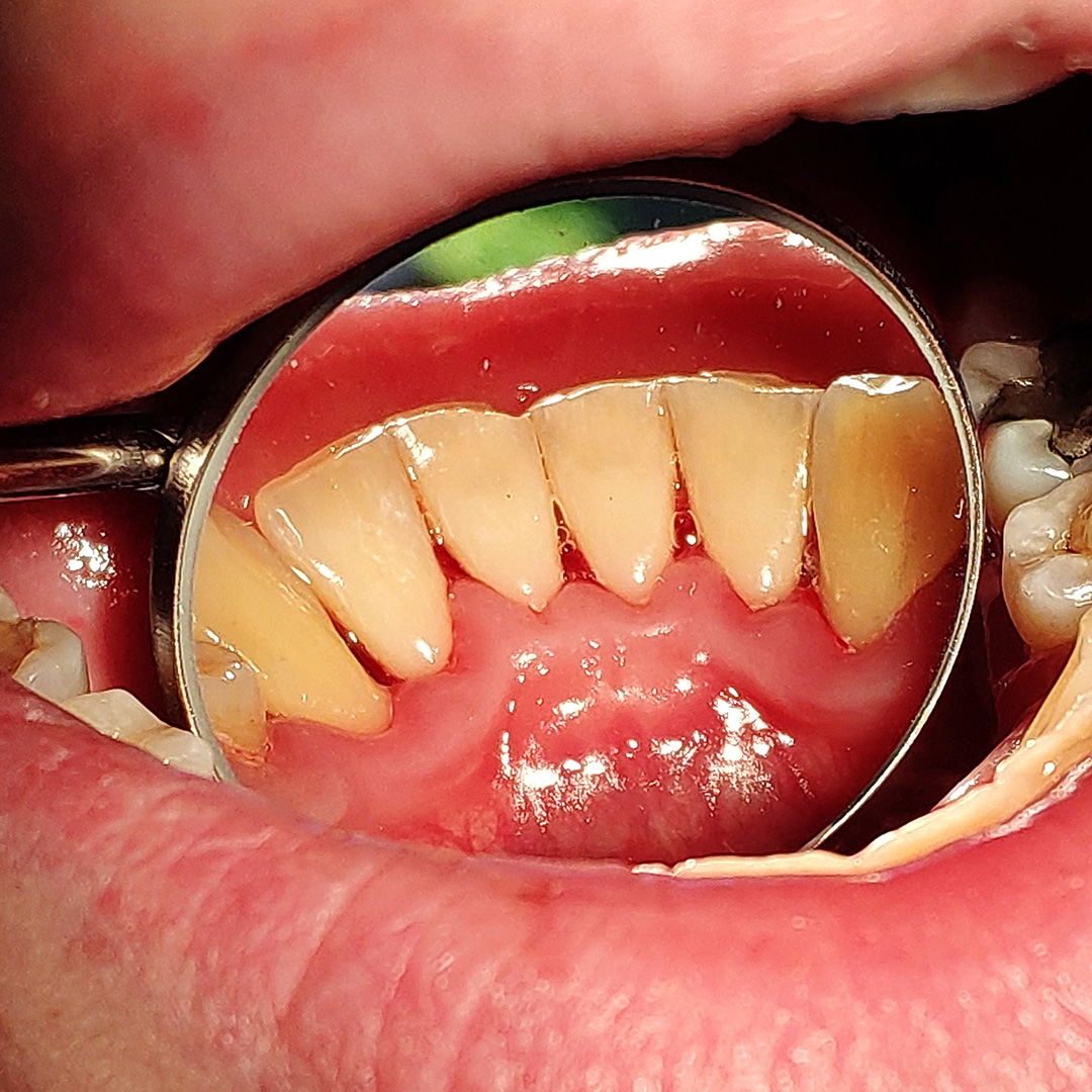
В нашу клинику обратился пациент с жалобами на наличие зубных камней и сильную кровоточивость дёсен во время чистки зубов.
На момент осмотра были обнаружены над- и поддесневые зубные отложения, пигментированный зубной налёт на всех зубах, маргинальная десна отёчна и гиперемирована, при зондировании кровоточит. При этом патологическая подвижность зубов и пародонтальные карманы отсутствуют. Наш специалист Черных Антон Алексеевич рекомендовал проведение профессиональной гигиены полости рта.
Профессиональная чистка — комплекс мероприятий, который направлен на удаление твёрдых и мягких зубных отложений с поверхности зубов и из-под десны. Рекомендована при лечении гингивита, пародонтита и пародонтоза.
Процесс работы
В ходе процедуры Антоном Алексеевичем были проведены следующие работы:
- удаление над- и поддесневых зубных отложений с помощью ультразвукового аппарата;
- чистка зубов аппаратом Airflow;
- полировка зубов щеткой с пастой "Detartrine Z";
- медикаментозная обработка десны 3% перекисью водорода и 0,05% хлоргексидином;
- даны рекомендации по ежедневной личной гигиене полости рта.
Улыбку создавали
Черных Антон АлексеевичВрач стоматолог-терапевт, хирург, имплантолог, ортопедо врачеСтаж работы:
11 лет
Другие работы

Лечение глубокого кариеса зубов 44 и 45 с использованием композита светового отверждения Estelite в «Стоматологии Комфорта»: фото до и послеСмотреть работуСрок лечения:90 минутСумма лечения:12 810 руб.
Процедура профессиональной гигиены для снятия минерализованных зубных отложений и пигментированного налётаСмотреть работуСрок лечения:40 мин.Сумма лечения:3 850 руб.
Мы работаем с 1988 года
Все наши специалисты — профессионалы своего дела. Гарантируем, вам будет оказана квалифицированная помощь.
Высокое качество лечения
Используем лучшие материалы и оборудование. В качестве работы вы можете убедиться, ознакомившись с отзывами.
Доступные цены
Мы стараемся сократить ваши расходы, поэтому регулярно организуем для вас выгодные акции и скидки.
Тёплое отношение
Вам больше не нужно бояться стоматологов. Наши специалисты гарантируют комфортное и безболезненное лечение.
Удобное расположение
6 филиалов в 10 минутах ходьбы от метро в разных районах Санкт-Петербурга. Мы всегда рады вас видеть!
Сервис онлайн-записи
Теперь вы можете записаться к врачу быстро и легко. Просто выберите удобное время и оставьте заявку на приём!

