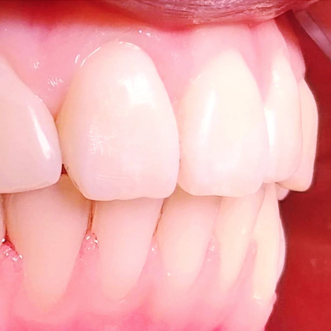
До и после лечения


Осмотр и диагностика
В нашу клинику обратился пациент с жалобами на неровный зубной ряд и неудовлетворительную эстетику лица.
Приём проводил врач-ортодонт Скуратовский Семён Константинович. После осмотра и изучения компьютерной томограммы был составлен план лечения. Для исправления прикуса применялась брекет-система Mini master с удалением 2-х премоляров.
Скученные и неровные зубы усложняют гигиену полости рта, что может привести к развитию кариеса и воспалению дёсен, поэтому стоматологи рекомендуют исправлять прикус.
Улыбку создавали
Другие работы

Реставрация зуба 3.5, пораженного глубоким кариесом, композитом из светоотверждаемого материала ЭстелайтСмотреть работуСрок лечения:60 минутСумма лечения:7 280 руб.

Мы работаем с 1988 года
Все наши специалисты — профессионалы своего дела. Гарантируем, вам будет оказана квалифицированная помощь.
Высокое качество лечения
Используем лучшие материалы и оборудование. В качестве работы вы можете убедиться, ознакомившись с отзывами.
Доступные цены
Мы стараемся сократить ваши расходы, поэтому регулярно организуем для вас выгодные акции и скидки.
Тёплое отношение
Вам больше не нужно бояться стоматологов. Наши специалисты гарантируют комфортное и безболезненное лечение.
Удобное расположение
6 филиалов в 10 минутах ходьбы от метро в разных районах Санкт-Петербурга. Мы всегда рады вас видеть!
Сервис онлайн-записи
Теперь вы можете записаться к врачу быстро и легко. Просто выберите удобное время и оставьте заявку на приём!






