До и после лечения


Осмотр и диагностика
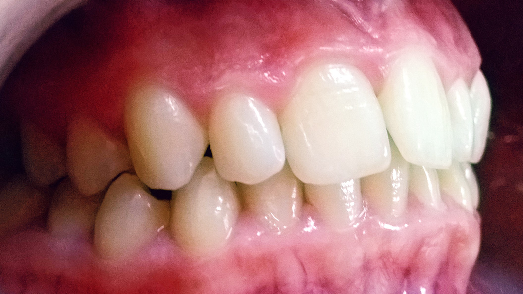
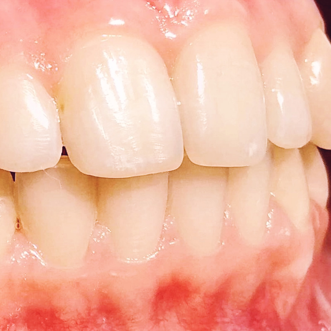
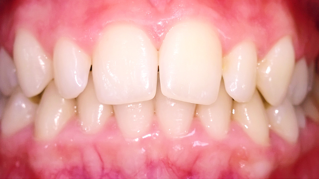
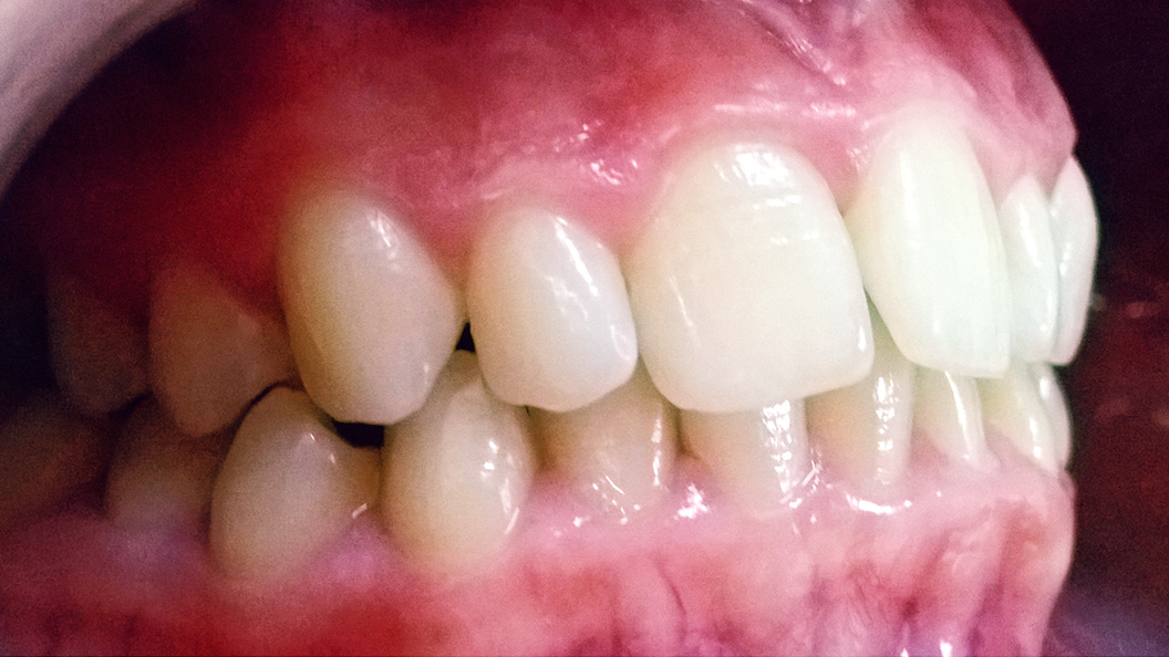
В наш филиал клиники на ул. Дыбенко обратился пациент с жалобами на кривые зубы.
Наш врач-ортодонт Скуратовский Семён Константинович назначил проведение рентген-диагностики с применением компьютерной томограммы. После диагностики был составлен план и проведено лечение с применением брекет-системы Damon Q.
Брекеты Damon относятся к самолигирующей системе, что позволяет обеспечить естественное перемещение зубов.
Улыбку создавали
Другие работы



Эндодонтическое лечение с коффердам и пломбировкой при хроническом пульпитеСмотреть работуСрок лечения:1 визит, 90 минутСумма лечения:12 090 руб.
Мы работаем с 1988 года
Все наши специалисты — профессионалы своего дела. Гарантируем, вам будет оказана квалифицированная помощь.
Высокое качество лечения
Используем лучшие материалы и оборудование. В качестве работы вы можете убедиться, ознакомившись с отзывами.
Доступные цены
Мы стараемся сократить ваши расходы, поэтому регулярно организуем для вас выгодные акции и скидки.
Тёплое отношение
Вам больше не нужно бояться стоматологов. Наши специалисты гарантируют комфортное и безболезненное лечение.
Удобное расположение
6 филиалов в 10 минутах ходьбы от метро в разных районах Санкт-Петербурга. Мы всегда рады вас видеть!
Сервис онлайн-записи
Теперь вы можете записаться к врачу быстро и легко. Просто выберите удобное время и оставьте заявку на приём!






