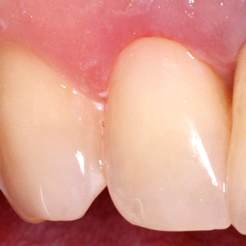
До и после лечения


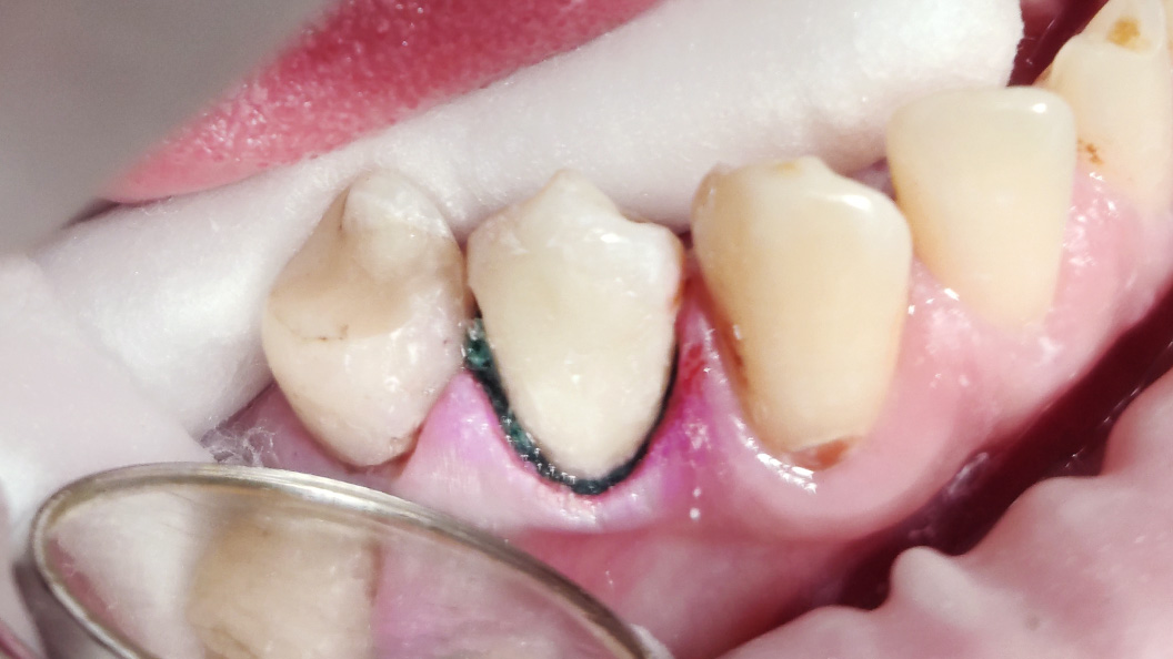
Осмотр и диагностика
Пациент обратился с жалобой на эстетический недостаток в области нижнего зуба справа. После обработки кариозной полости врач выявил глубокий кариес. Дно и стенки полости плотные, гладкие, блестящие, при зондировании крепетируют. Реакция на холод слабоболезненна, на перкуссию — безболезненна. Диагноз — хронический глубокий кариес.
Чаще всего кариес развивается до запущенной стадии из-за несоблюдения гигиены полости рта, нарушений прикуса, злоупотребления сладким или нехватки в организме кальция и фтора. Своевременное вмешательство значительно повышает шансы на сохранение зуба.
Процесс работы
Ход лечения:
- введение анестезии Sol. Articaini vs. Adrenalini 1:200000 1.8 ml;
- наложение системы OptaGate;
- установка ретракционной нити UltraPack 00;
- механическая обработка кариозной полости;
- медикаментозная обработка полости раствором хлоргексидина 2%;
- пломбирование Vitremer (A3);
- микроконтурирование и макроконтурирование пломбы.
Улыбку создавали
Другие работы

Эндодонтическое лечение за два визитаСмотреть работуСрок лечения:2 визита, 2 часаСумма лечения:10 120 руб.
Имплантация зубов верхней челюсти по методу «all-on-6» с одномоментной установкой условно-съёмного протезаСмотреть работуСрок лечения:5 визитовСумма лечения:304 000 руб.
Мы работаем с 1988 года
Все наши специалисты — профессионалы своего дела. Гарантируем, вам будет оказана квалифицированная помощь.
Высокое качество лечения
Используем лучшие материалы и оборудование. В качестве работы вы можете убедиться, ознакомившись с отзывами.
Доступные цены
Мы стараемся сократить ваши расходы, поэтому регулярно организуем для вас выгодные акции и скидки.
Тёплое отношение
Вам больше не нужно бояться стоматологов. Наши специалисты гарантируют комфортное и безболезненное лечение.
Удобное расположение
6 филиалов в 10 минутах ходьбы от метро в разных районах Санкт-Петербурга. Мы всегда рады вас видеть!
Сервис онлайн-записи
Теперь вы можете записаться к врачу быстро и легко. Просто выберите удобное время и оставьте заявку на приём!


