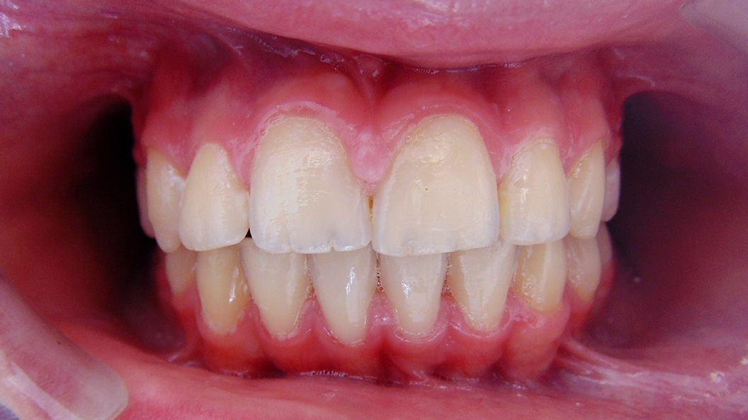
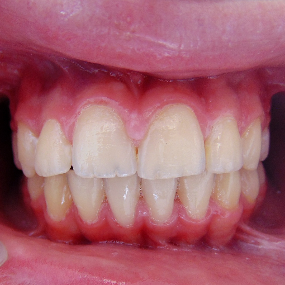
До и после лечения


Осмотр и диагностика
В «Стоматологию Комфорта» обратилась пациентка с целью исправления прикуса. В ходе осмотра врач-ортодонт Резниченко Анна Васильевна поставила диагноз: вертикальная резцовая окклюзия и индивидуальная макродентия. Было принято решение о лечении брекет-системой Damon Q2 (ORMKO).
Damon Q2 — эффективная самолигирующаяся брекет-система для коррекции прикуса. Конструкция разработана знаменитой корпорацией ORMKO (США). Damon Q2 легко устанавливается и прекрасно справляется даже с тяжёлыми дефектами прикуса. Надёжная эстетическая система дарит зубам красоту и здоровье.
Процесс работы
В ходе лечения проведены следующие работы:
- полная санация полости рта;
- рентген-снимок;
- снятие слепков;
- изготовление модели челюсти;
- наложение изолирующей прокладки;
- фиксация замочков на поверхности зубов светоотверждаемым составом;
- установка силовой дуги с фиксацией защёлками;
- создание необходимого натяжения дуги;
- регулярная коррекция 1 раз в 2 месяца.
Улыбку создавали
Другие работы

Лечение кариеса зуба 1.6 композитом EsteliteСмотреть работуСрок лечения:1 часСумма лечения:6 500 руб.
Удаление десневых и зубных отложений с помощью УЗ-аппаратаСмотреть работуСрок лечения:60 мин.Сумма лечения:3 880 руб.
Мы работаем с 1988 года
Все наши специалисты — профессионалы своего дела. Гарантируем, вам будет оказана квалифицированная помощь.
Высокое качество лечения
Используем лучшие материалы и оборудование. В качестве работы вы можете убедиться, ознакомившись с отзывами.
Доступные цены
Мы стараемся сократить ваши расходы, поэтому регулярно организуем для вас выгодные акции и скидки.
Тёплое отношение
Вам больше не нужно бояться стоматологов. Наши специалисты гарантируют комфортное и безболезненное лечение.
Удобное расположение
6 филиалов в 10 минутах ходьбы от метро в разных районах Санкт-Петербурга. Мы всегда рады вас видеть!
Сервис онлайн-записи
Теперь вы можете записаться к врачу быстро и легко. Просто выберите удобное время и оставьте заявку на приём!


