До и после лечения


Осмотр и диагностика
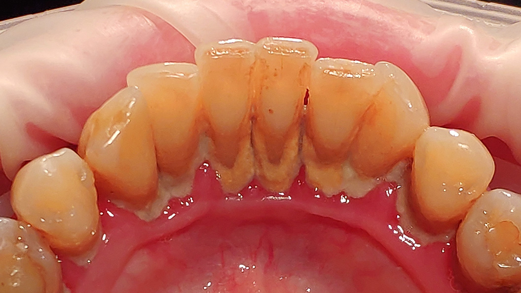
В «Стоматологию Комфорта» обратился пациент с жалобой на наличие зубных камней и кровоточивость дёсен во время чистки зубов. При осмотре врач обнаружил твёрдый и пигментированный налёт, выявил хронический генерализованный катаральный гингивит. Пациенту назначена профессиональная гигиена полости рта для удаления наддесневых и поддесневых отложений, полировка зубов и медикаментозная обработка дёсен.
Гингивит возникает под воздействием микробов при недостаточной гигиене полости рта. Ухудшает ситуацию гормональный сбой, заболевания других органов, слабый иммунитет. При отсутствии лечения гингивит перерастает в пародонтит. Для профилактики заболеваний дёсен необходимо 1-2 раза в год обращаться к стоматологу за профессиональной чисткой зубов.
Процесс работы
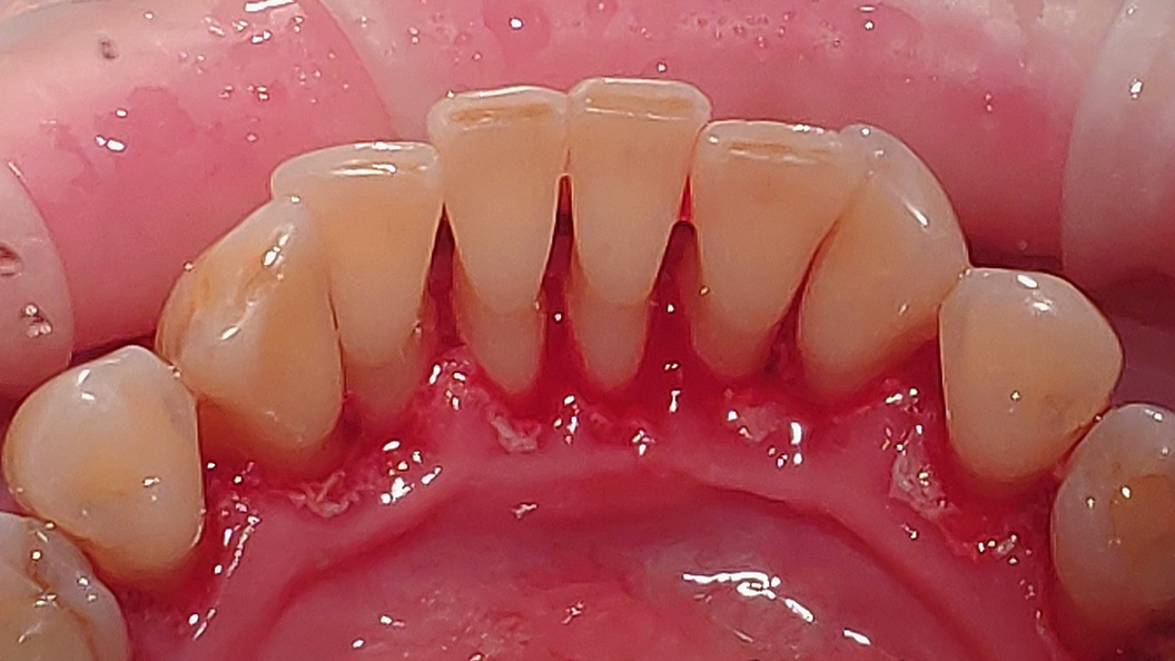
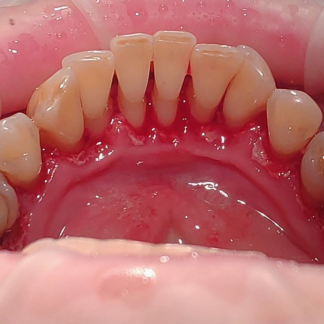
В ходе лечения врач провёл следующие манипуляции:
- удаление наддесневых и поддесневых зубных отложений с помощью ультразвукового аппарата;
- чистка зубов системой Air Flow;
- полировка эмали пастой «Detartrine»;
- медикаментозная обработка десны перекисью водорода и хлоргексидином.
Улыбку создавали
Черных Антон АлексеевичВрач стоматолог-терапевт, хирург, имплантолог, ортопедо врачеСтаж работы:
11 лет
Другие работы

Восстановление эстетики при помощи композитного материалаСмотреть работуСрок лечения:1 визитСумма лечения:5 550 р.
В результате некачественной реставрации потребовалось лечение глубокого кариеса и повторное проведение процедуры с восстановлением анатомической формы зубаСмотреть работуСрок лечения:60 минутСумма лечения:6 200 руб.
Мы работаем с 1988 года
Все наши специалисты — профессионалы своего дела. Гарантируем, вам будет оказана квалифицированная помощь.
Высокое качество лечения
Используем лучшие материалы и оборудование. В качестве работы вы можете убедиться, ознакомившись с отзывами.
Доступные цены
Мы стараемся сократить ваши расходы, поэтому регулярно организуем для вас выгодные акции и скидки.
Тёплое отношение
Вам больше не нужно бояться стоматологов. Наши специалисты гарантируют комфортное и безболезненное лечение.
Удобное расположение
6 филиалов в 10 минутах ходьбы от метро в разных районах Санкт-Петербурга. Мы всегда рады вас видеть!
Сервис онлайн-записи
Теперь вы можете записаться к врачу быстро и легко. Просто выберите удобное время и оставьте заявку на приём!

