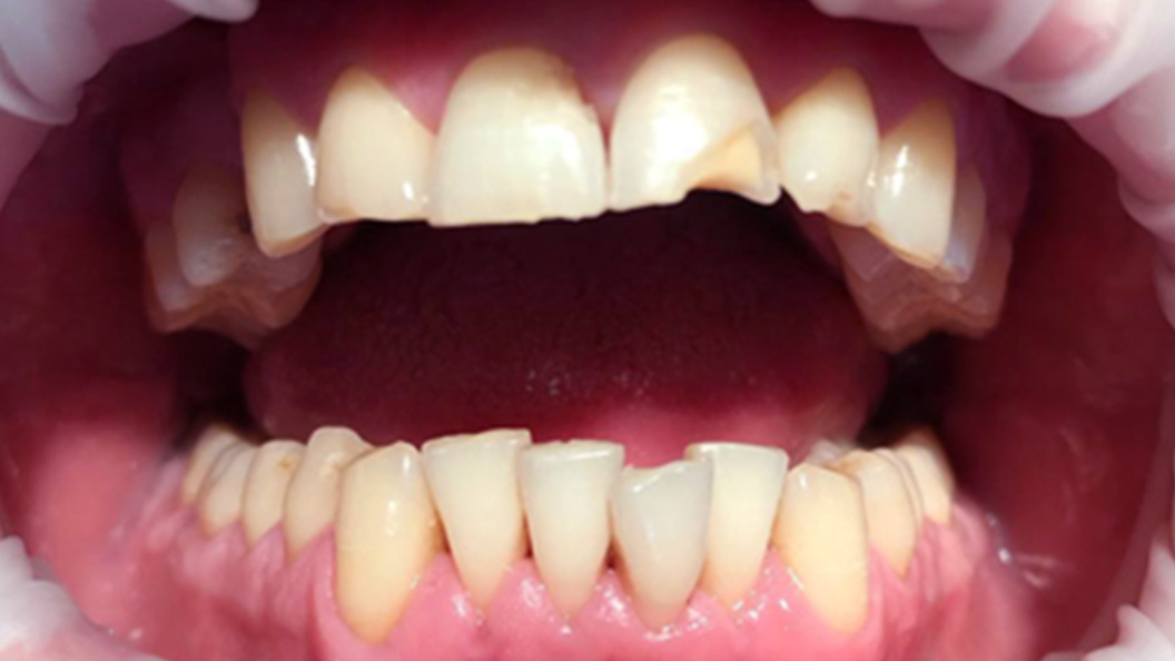
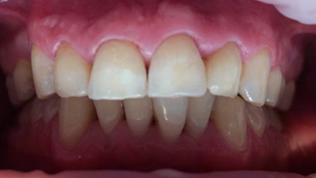
До и после лечения


Осмотр и диагностика
В нашу клинику обратился пациент с жалобами на дискомфорт из-за неудовлетворительного внешнего вида верхнего резца. Осмотр проводил врач-терапевт Вахлюева Елена Сергеевна.
После оценки состояния полости рта и диагностики Елена Сергеевна рекомендовала проведение реставрации с использованием высокоэстетичного композитного материала.
Реставрация композитным вариантом — быстрый и доступный способ восстановления эстетики улыбки. Проводится прямым методом непосредственно во рту пациента всего за 1 визит. Для восстановления используются качественные пломбировочные материалы, соответствующие естественному оттенку эмали. Они послойно наносятся на зуб и отвердевают под воздействием света.
Процесс работы
В ходе процедуры Еленой Сергеевной были проведены следующие работы:
- анестезия;
- обработка и препарирование зуба;
- реставрация с использованием композитного материала.
Улыбку создавали
Другие работы

Процедура профессиональной гигиены для снятия минерализованных зубных отложений и пигментированного налётаСмотреть работуСрок лечения:40 мин.Сумма лечения:3 850 руб.
Восстановление зубов при частичной адентии при помощи имплантов и металлокерамических коронокСмотреть работуСрок лечения:5 визитовСумма лечения:440 000 р.
Мы работаем с 1988 года
Все наши специалисты — профессионалы своего дела. Гарантируем, вам будет оказана квалифицированная помощь.
Высокое качество лечения
Используем лучшие материалы и оборудование. В качестве работы вы можете убедиться, ознакомившись с отзывами.
Доступные цены
Мы стараемся сократить ваши расходы, поэтому регулярно организуем для вас выгодные акции и скидки.
Тёплое отношение
Вам больше не нужно бояться стоматологов. Наши специалисты гарантируют комфортное и безболезненное лечение.
Удобное расположение
6 филиалов в 10 минутах ходьбы от метро в разных районах Санкт-Петербурга. Мы всегда рады вас видеть!
Сервис онлайн-записи
Теперь вы можете записаться к врачу быстро и легко. Просто выберите удобное время и оставьте заявку на приём!


