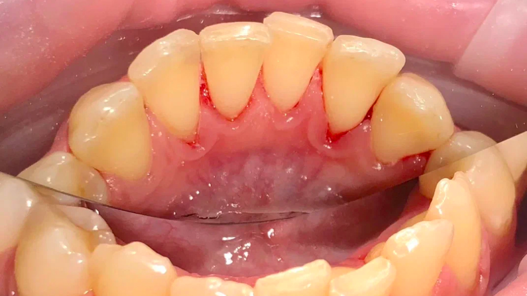
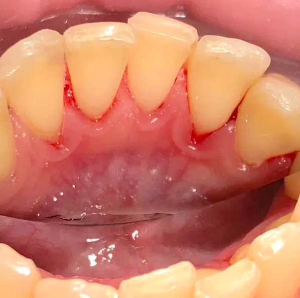
До и после лечения


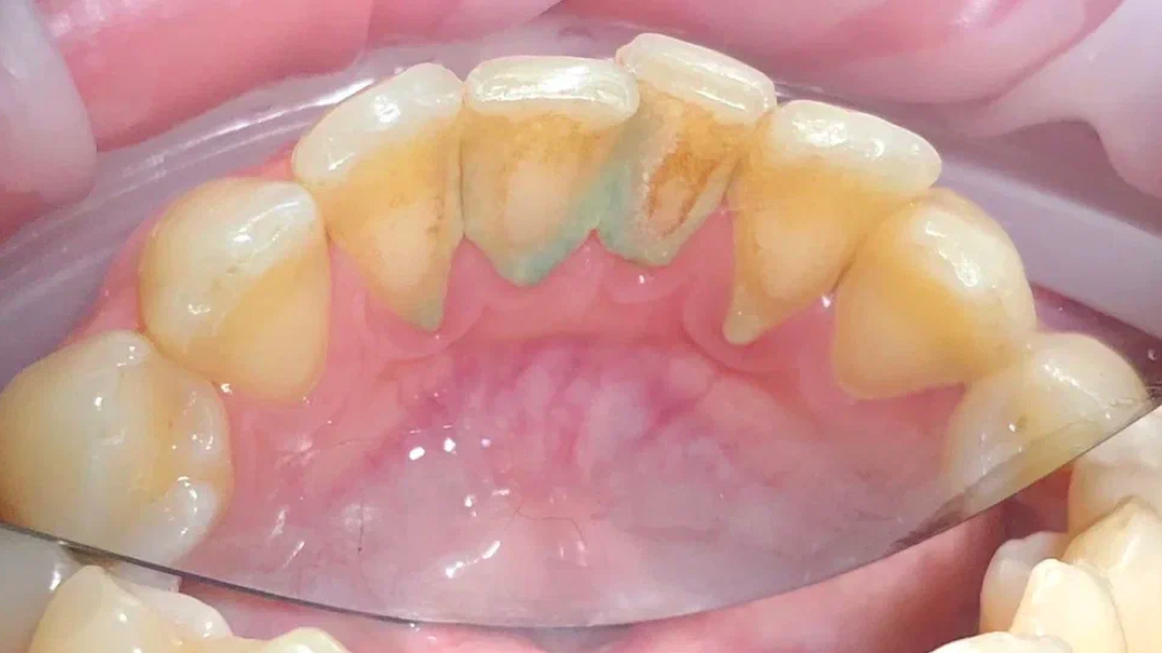
Осмотр и диагностика
В «Стоматологию Комфорта» обратился пациент с жалобами на наличие зубных отложений, а также кровоточивость дёсен во время чистки зубов. Врач Луцюк Наталья Владимировна провела осмотр и диагностировала хронический катаральный генерализованный гингивит. Было принято решение о проведении профессиональной гигиены полости рта с целью снятия минерализованных зубных отложений ультразвуком и удаления пигментированного налета пескоструйным аппаратом, а также последующей полировкой щеткой с пастой SuperPolish.
Полирование зубов пастой осуществляется после комплексной чистки полости рта. Для этого применяются специальные насадки — щетки и резиновые чашечки. На поверхность зубов наносится абразивная паста SuperPolish. Паста наносится непосредственно на зуб, пломбу или щетку для полировки зубного ряда. Во время полирования достигается идеальная гладкость зубов, что уменьшает риск образования зубного камня и налета на долгое время.
Процесс работы
В ходе лечения проведены следующие работы:
- снятие минерализованных зубных отложений ультразвуком;
- удаление пигментированного налёта пескоструйным аппаратом;
- полировка зубов резиновой насадкой;
- финальная полировка пастой SuperPolish.
Улыбку создавали
Другие работы

Замена несостоятельной пломбы перед установкой брекет-системыСмотреть работуСрок лечения:3 часаСумма лечения:16 500 руб.

Мы работаем с 1988 года
Все наши специалисты — профессионалы своего дела. Гарантируем, вам будет оказана квалифицированная помощь.
Высокое качество лечения
Используем лучшие материалы и оборудование. В качестве работы вы можете убедиться, ознакомившись с отзывами.
Доступные цены
Мы стараемся сократить ваши расходы, поэтому регулярно организуем для вас выгодные акции и скидки.
Тёплое отношение
Вам больше не нужно бояться стоматологов. Наши специалисты гарантируют комфортное и безболезненное лечение.
Удобное расположение
6 филиалов в 10 минутах ходьбы от метро в разных районах Санкт-Петербурга. Мы всегда рады вас видеть!
Сервис онлайн-записи
Теперь вы можете записаться к врачу быстро и легко. Просто выберите удобное время и оставьте заявку на приём!


