До и после лечения


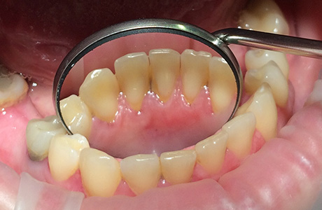
Осмотр и диагностика
К нам в клинику обратилась пациентка, которая была недовольна налётом и зубными отложениями. Также она отметила, что зубы со временем приобрели желтоватый оттенок. Специалист Вахлюева Елена Сергеевна после проведённого осмотра рекомендовала пациентке процедуру профессиональной гигиены полости рта.
Очень часто пациенты обеспокоены потемнением эмали, желтизной зубов. Как правило, в таких случаях наблюдаются твёрдые и мягкие отложения на зубах. Мы всегда рекомендуем процедуру, которая легко решает подобные проблемы — профессиональная чистка. Как бы хорошо и качественно вы не чистили зубы в домашних условиях, работа специалиста в этой ситуации необходима!
Процесс работы
Врач выполнил следующие действия:
- профессиональная гигиена с помощью ультразвукового аппарата;
- чистка зубов аппаратом air-flow;
- полировка щёточками и пастами;
- даны рекомендации по ежедневной личной гигиене полости рта.
Улыбку создавали
Другие работы

Лечение кариеса зуба 4.7 композитом Filtek PosteriorСмотреть работуСрок лечения:1,5 часаСумма лечения:6 000 руб.
Лечение кариеса с применением светоотверждаемого композита EsteliteСмотреть работуСрок лечения:1 часСумма лечения:6 500 руб.
Мы работаем с 1988 года
Все наши специалисты — профессионалы своего дела. Гарантируем, вам будет оказана квалифицированная помощь.
Высокое качество лечения
Используем лучшие материалы и оборудование. В качестве работы вы можете убедиться, ознакомившись с отзывами.
Доступные цены
Мы стараемся сократить ваши расходы, поэтому регулярно организуем для вас выгодные акции и скидки.
Тёплое отношение
Вам больше не нужно бояться стоматологов. Наши специалисты гарантируют комфортное и безболезненное лечение.
Удобное расположение
6 филиалов в 10 минутах ходьбы от метро в разных районах Санкт-Петербурга. Мы всегда рады вас видеть!
Сервис онлайн-записи
Теперь вы можете записаться к врачу быстро и легко. Просто выберите удобное время и оставьте заявку на приём!


