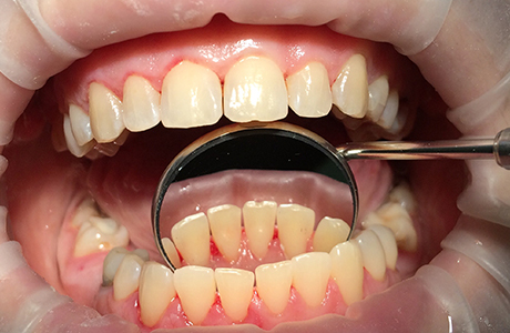
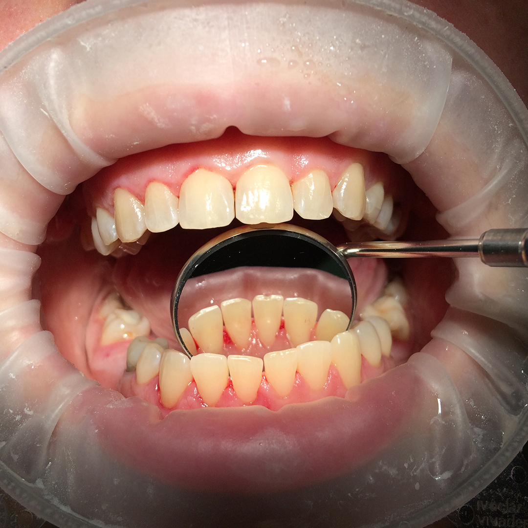
До и после лечения


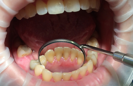
Осмотр и диагностика
В «Стоматологию Комфорта» обратилась пациентка с жалобой на твёрдые зубные отложения, которые не поддаются удалению в домашних условиях. В ходе личного осмотра врач стоматолог-терапевт Вахлюева Елена Сергеевна обнаружила зубной камень, затвердевший налёт и назначила пациенту профессиональную гигиену полости рта.
Профгигиену полости рта необходимо проводить один-два раза в год в зависимости от состояния полости рта. По рекомендации врача процедура может быть назначена и раньше. Отсутствие лечения приводит к образованию кариеса и других заболеваний зубов и дёсен.
Процесс работы
Процесс чистки включал в себя:
- безболезненное снятие твёрдых отложений с помощью ультразвука;
- удаление пигментации от чая, кофе, курения и других красящих продуктов;
- полировку с целью предотвращения новых отложений;
- фторирование зубов с использованием специальных паст для укрепления эмали.
Улыбку создавали
Другие работы

Удаление зуба при резком обострении хронического пульпитаСмотреть работуСрок лечения:30 минутСумма лечения:4 000 руб.
Удаление зубного камня и твёрдого налёта с использованием ультразвука, аппарата Air-Flow, полировки щёткой и пастойСмотреть работуСрок лечения:45 минутСумма лечения:3 850 руб.
Мы работаем с 1988 года
Все наши специалисты — профессионалы своего дела. Гарантируем, вам будет оказана квалифицированная помощь.
Высокое качество лечения
Используем лучшие материалы и оборудование. В качестве работы вы можете убедиться, ознакомившись с отзывами.
Доступные цены
Мы стараемся сократить ваши расходы, поэтому регулярно организуем для вас выгодные акции и скидки.
Тёплое отношение
Вам больше не нужно бояться стоматологов. Наши специалисты гарантируют комфортное и безболезненное лечение.
Удобное расположение
6 филиалов в 10 минутах ходьбы от метро в разных районах Санкт-Петербурга. Мы всегда рады вас видеть!
Сервис онлайн-записи
Теперь вы можете записаться к врачу быстро и легко. Просто выберите удобное время и оставьте заявку на приём!


