До и после лечения


Осмотр и диагностика
В наш филиал клиники на ул. Дыбенко обратилась пациентка с желанием восстановить давно отсутствующий зуб.
После осмотра и сбора анамнеза была сделана рентгенограмма и назначены дополнительные анализы для исключения противопоказаний к имплантации. После выполнения всех исследований был составлен план лечения.
Имплантация — оптимальный вариант восполнения отсутствующих зубов, который в полном объёме восстанавливает эстетику и жевательную функцию.
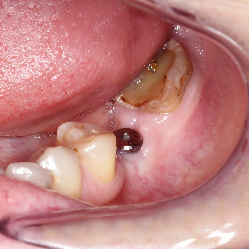
Процесс работы
В ходе лечения были проведены следующие работы:
- анестезия;
- установка импланта Alpha-Bio и заглушки;
- рентген-контроль;
- снятие слепков после приживления импланта;
- фиксация постоянной металлокерамической коронки.
Улыбку создавали
Другие работы

Удаление зубных отложений, устранение кровоточивости дёсенСмотреть работуСрок лечения:1 визитСумма лечения:1 990 р.
Эндодонтическое лечение верхнего резца в результате обострения хронического пульпита зуба 1.2Смотреть работуСрок лечения:90 минутСумма лечения:8 600 руб.
Мы работаем с 1988 года
Все наши специалисты — профессионалы своего дела. Гарантируем, вам будет оказана квалифицированная помощь.
Высокое качество лечения
Используем лучшие материалы и оборудование. В качестве работы вы можете убедиться, ознакомившись с отзывами.
Доступные цены
Мы стараемся сократить ваши расходы, поэтому регулярно организуем для вас выгодные акции и скидки.
Тёплое отношение
Вам больше не нужно бояться стоматологов. Наши специалисты гарантируют комфортное и безболезненное лечение.
Удобное расположение
6 филиалов в 10 минутах ходьбы от метро в разных районах Санкт-Петербурга. Мы всегда рады вас видеть!
Сервис онлайн-записи
Теперь вы можете записаться к врачу быстро и легко. Просто выберите удобное время и оставьте заявку на приём!




