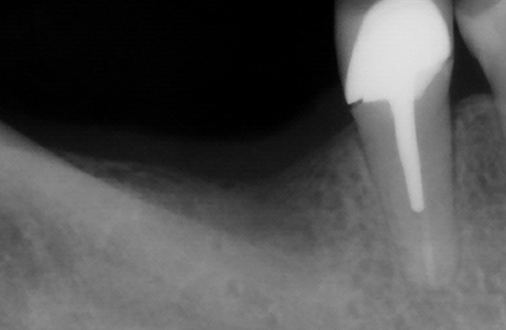
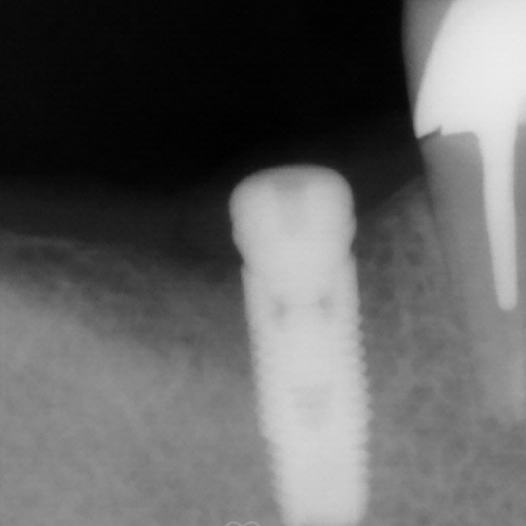
До и после лечения


Осмотр и диагностика
Пациентка обратилась в клинику за установкой зуба, удалённого более года назад, с целью восстановления жевательной функции. Врач стоматолог-терапевт, хирург, имплантолог, ортопед Шандро Евгения Богдановна провела осмотр и анализ компьютерной томографии, после чего принято решение установки импланта Alpha Bio в позицию зуба 4.6.
Имплантация — один из наиболее эффективных и эстетически привлекательных способов восстановления зубов. Благодаря широкому выбору методов имплантации этот тип лечения подходит практически каждому человеку. Alpha Bio — импланты израильского производства высокого качества по доступной цене.
Процесс работы
В ходе лечения проведены следующие операции:
- санация полости рта;
- установка импланта Alpha Bio;
- рекомендация установки коронки через 3 месяца с момента имплантации.
Улыбку создавали
Другие работы

Перелечивание зуба при обострении хронического периодонтитаСмотреть работуСрок лечения:2 визитаСумма лечения:9 040 р.
Лечение глубокого кариеса 47 светоотверждаемым композитом EsteliteСмотреть работуСрок лечения:90 минутСумма лечения:7 840 руб.
Мы работаем с 1988 года
Все наши специалисты — профессионалы своего дела. Гарантируем, вам будет оказана квалифицированная помощь.
Высокое качество лечения
Используем лучшие материалы и оборудование. В качестве работы вы можете убедиться, ознакомившись с отзывами.
Доступные цены
Мы стараемся сократить ваши расходы, поэтому регулярно организуем для вас выгодные акции и скидки.
Тёплое отношение
Вам больше не нужно бояться стоматологов. Наши специалисты гарантируют комфортное и безболезненное лечение.
Удобное расположение
6 филиалов в 10 минутах ходьбы от метро в разных районах Санкт-Петербурга. Мы всегда рады вас видеть!
Сервис онлайн-записи
Теперь вы можете записаться к врачу быстро и легко. Просто выберите удобное время и оставьте заявку на приём!


