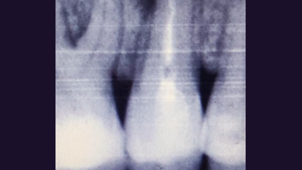
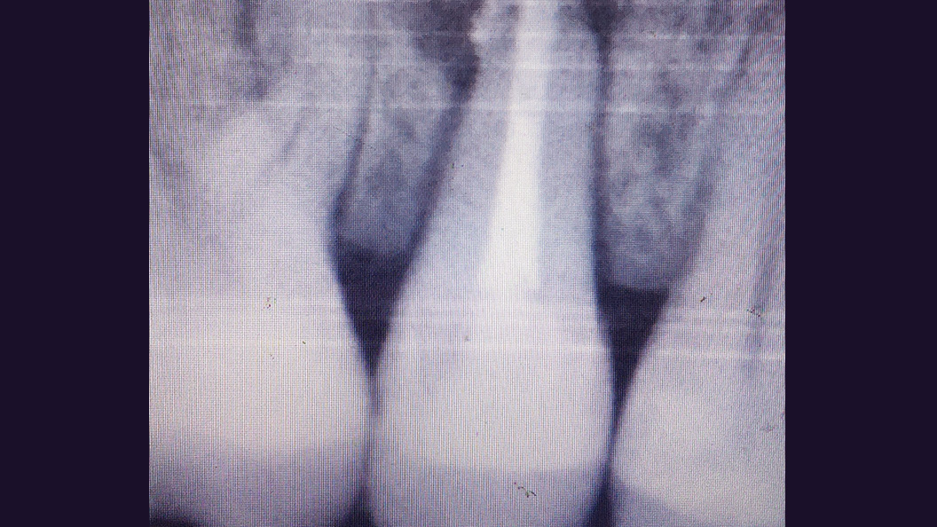
До и после лечения


Осмотр и диагностика
В клинику обратился пациент с жалобами на постоянные ноющие боли и резкую боль при накусывании. С его слов, зуб ранее лечили в другом ЛПУ по поводу хронического фиброзного пульпита. После осмотра врач Черных Антон Алексеевич проанализировал рентгенограмму, поставил диагноз и провёл повторное эндодонтическое лечение зуба 1.5.
Перелечивание каналов необходимо при воспалении тканей, окружающих зуб. Требуется при попадании инфекции или при дефектах ранее проведённого лечения: недопломбированные участки, рассосавшийся пломбировочный материал внутри каналов.
Процесс работы
В ходе лечения были проведены следующие работы:
- эндодонтическое лечение с применением коффердама
- постоянная пломбировка корневых каналов
- восстановление коронковой части зуба
Улыбку создавали
Черных Антон АлексеевичВрач стоматолог-терапевт, хирург, имплантолог, ортопедо врачеСтаж работы:
11 лет
Другие работы

Исправление прикуса верхней и нижней челюстей на брекет-системе Damon QСмотреть работуСрок лечения:1,5 годаСумма лечения:148 200 р.
Лечение глубокого кариеса с установкой пломбы из светоотверждаемого композита EsteliteСмотреть работуСрок лечения:60 минутСумма лечения:7 020 руб.
Мы работаем с 1988 года
Все наши специалисты — профессионалы своего дела. Гарантируем, вам будет оказана квалифицированная помощь.
Высокое качество лечения
Используем лучшие материалы и оборудование. В качестве работы вы можете убедиться, ознакомившись с отзывами.
Доступные цены
Мы стараемся сократить ваши расходы, поэтому регулярно организуем для вас выгодные акции и скидки.
Тёплое отношение
Вам больше не нужно бояться стоматологов. Наши специалисты гарантируют комфортное и безболезненное лечение.
Удобное расположение
6 филиалов в 10 минутах ходьбы от метро в разных районах Санкт-Петербурга. Мы всегда рады вас видеть!
Сервис онлайн-записи
Теперь вы можете записаться к врачу быстро и легко. Просто выберите удобное время и оставьте заявку на приём!

