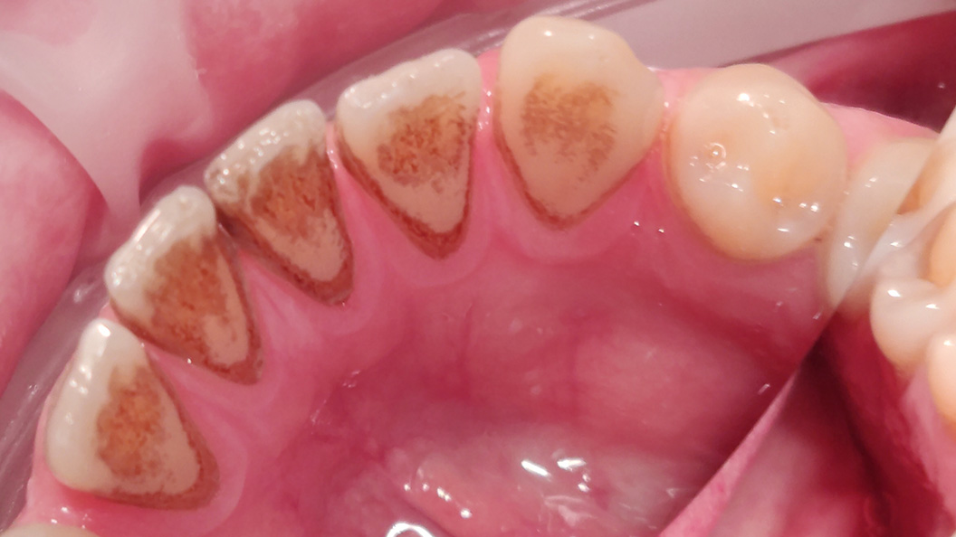
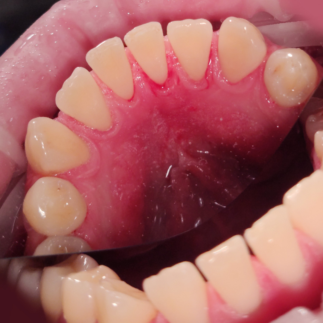
До и после лечения


Осмотр и диагностика
Пациент обратился в «Стоматологию Комфорта» с жалобами на наличие зубных отложений и кровоточивость дёсен при чистке зубов. Результаты осмотра: маргинальная десна отечна гиперемирована, обнаружены наддесневые зубный отложения в области четырёх сегментов зубного ряда. Диагноз — хронический генерализированный катаральный гингивит.
Гингивит — это поверхностные воспаления дёсен. Чаще всего он развивается при неправильной или недостаточной гигиене полости рта. Лучшая профилактика этого заболевания — регулярные визиты к стоматологу и соблюдение его рекомендаций по уходу за зубами и дёснами.
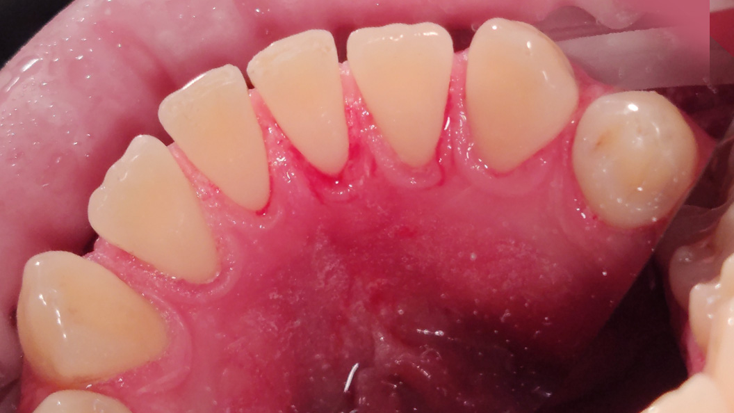
Процесс работы
Ход лечения:
- профессиональная гигиена полости рта с применением ультразвуковой системы DTE
- чистка зубов пастой Detatrine
Улыбку создавали
Другие работы

Проведена имплантация по методу All-on-4 имплантами Hi-tecСмотреть работуСрок лечения:5 днейСумма лечения:Стоимость с учётом скидки: 266 000 р.
Лечение хронического глубокого кариеса, восстановление анатомической формы зубаСмотреть работуСрок лечения:1 визитСумма лечения:6 000 р.
Мы работаем с 1988 года
Все наши специалисты — профессионалы своего дела. Гарантируем, вам будет оказана квалифицированная помощь.
Высокое качество лечения
Используем лучшие материалы и оборудование. В качестве работы вы можете убедиться, ознакомившись с отзывами.
Доступные цены
Мы стараемся сократить ваши расходы, поэтому регулярно организуем для вас выгодные акции и скидки.
Тёплое отношение
Вам больше не нужно бояться стоматологов. Наши специалисты гарантируют комфортное и безболезненное лечение.
Удобное расположение
6 филиалов в 10 минутах ходьбы от метро в разных районах Санкт-Петербурга. Мы всегда рады вас видеть!
Сервис онлайн-записи
Теперь вы можете записаться к врачу быстро и легко. Просто выберите удобное время и оставьте заявку на приём!


