До и после лечения


Осмотр и диагностика
Пациент обратился с жалобами на эстетический недостаток и ноющие боли в области нижнего зуба справа. Диагноз врача — хронический фиброзный пульпит.
Хронический фиброзный пульпит при осмотре выявить трудно. Это наименее опасная форма периодонтита, но и она может спровоцировать осложнения. Заболевание прогрессирует из-за снижения метаболических процессов и ухудшенной васкуляризации.
Процесс работы
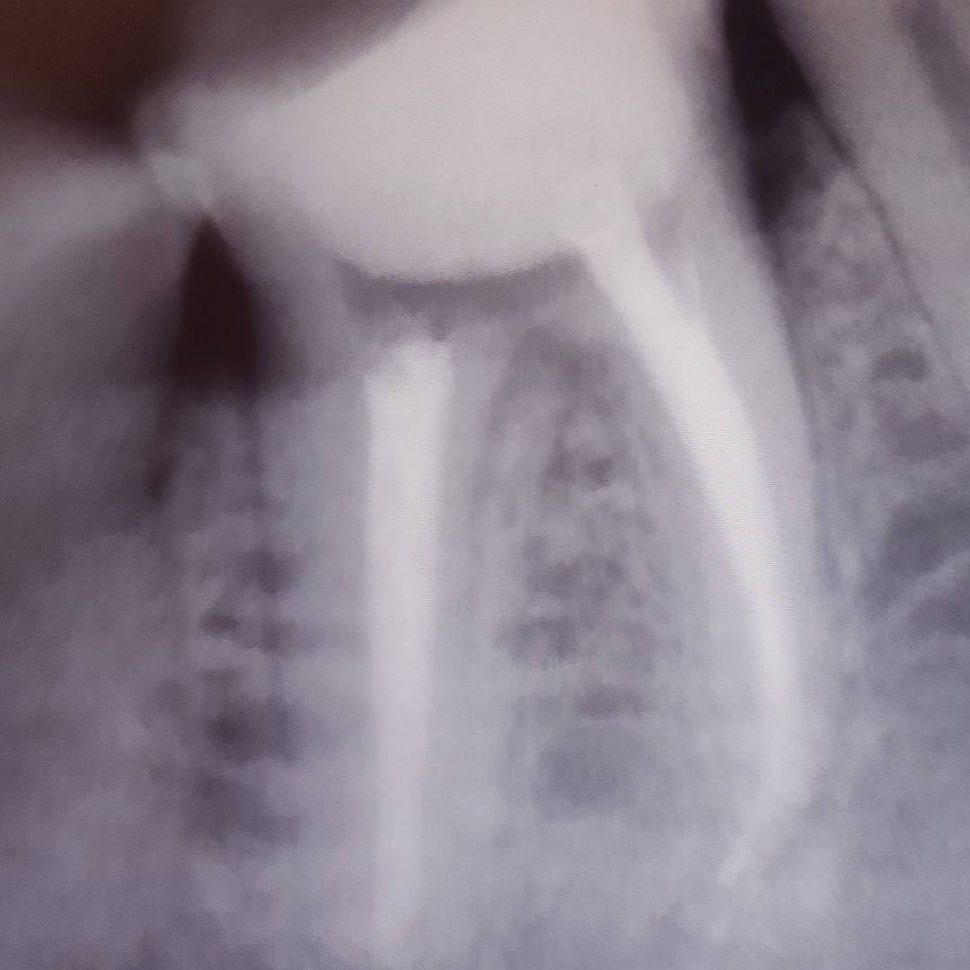
Ход лечения:
- рентгенограмма и её анализ
- проведение эндодонтического лечения с постоянной обтурацией трёх корневых каналов и использованием изоляционной системы коффердам
Улыбку создавали
Другие работы

Восстановление премоляра, поражённого кариесом, с помощью пломбы ЭстелайтСмотреть работуСрок лечения:60 минутСумма лечения:6 820 руб.
Протезирование верхних зубов высокоэстетичными безметалловыми коронкамиСмотреть работуСрок лечения:2 визитаСумма лечения:63 000 р.
Мы работаем с 1988 года
Все наши специалисты — профессионалы своего дела. Гарантируем, вам будет оказана квалифицированная помощь.
Высокое качество лечения
Используем лучшие материалы и оборудование. В качестве работы вы можете убедиться, ознакомившись с отзывами.
Доступные цены
Мы стараемся сократить ваши расходы, поэтому регулярно организуем для вас выгодные акции и скидки.
Тёплое отношение
Вам больше не нужно бояться стоматологов. Наши специалисты гарантируют комфортное и безболезненное лечение.
Удобное расположение
6 филиалов в 10 минутах ходьбы от метро в разных районах Санкт-Петербурга. Мы всегда рады вас видеть!
Сервис онлайн-записи
Теперь вы можете записаться к врачу быстро и легко. Просто выберите удобное время и оставьте заявку на приём!


