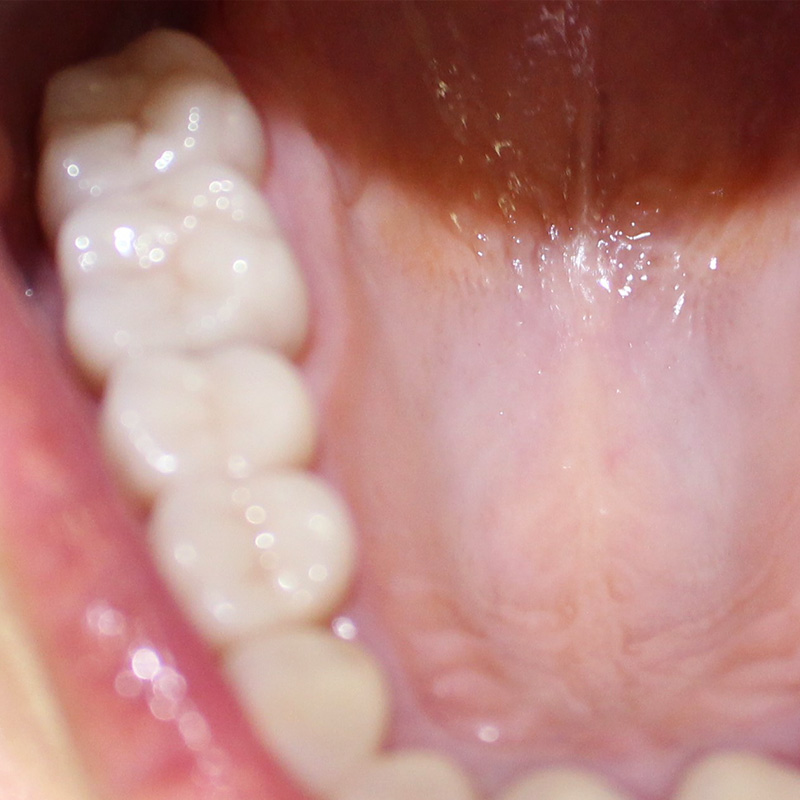
До и после лечения


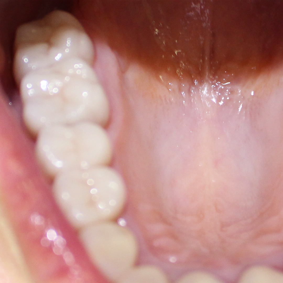
Осмотр и диагностика
В нашу клинику обратилась пациентка с целью восстановления эстетики зубов на верхней челюсти.
После осмотра и тщательной диагностики врач-ортопед Мельников Алексей Владимирович предложил протезирование коронками из цельной керамики.
Керамические коронки идеальны для высокоэстетичных реставраций в зоне улыбки. Керамика не выделяется в полости рта и обладает естественной светопрозрачностью.
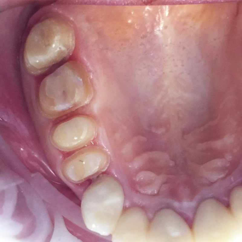
Процесс работы
В ходе лечения были проведены следующие работы:
- профессиональная гигиена полости рта;
- препарирование эмали зубов;
- снятие слепков;
- изготовление и установка цельнокерамических коронок на 15-17 зубы.
Улыбку создавали
Другие работы

Смотреть работуСрок лечения:14 месяцевСумма лечения:65 000 руб.

Мы работаем с 1988 года
Все наши специалисты — профессионалы своего дела. Гарантируем, вам будет оказана квалифицированная помощь.
Высокое качество лечения
Используем лучшие материалы и оборудование. В качестве работы вы можете убедиться, ознакомившись с отзывами.
Доступные цены
Мы стараемся сократить ваши расходы, поэтому регулярно организуем для вас выгодные акции и скидки.
Тёплое отношение
Вам больше не нужно бояться стоматологов. Наши специалисты гарантируют комфортное и безболезненное лечение.
Удобное расположение
6 филиалов в 10 минутах ходьбы от метро в разных районах Санкт-Петербурга. Мы всегда рады вас видеть!
Сервис онлайн-записи
Теперь вы можете записаться к врачу быстро и легко. Просто выберите удобное время и оставьте заявку на приём!




