До и после лечения


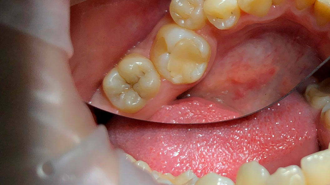
Осмотр и диагностика
В «Стоматологию Комфорта» обратился пациент с жалобами на боль в нижнем зубе с правой стороны при употреблении в пищу сладкого. В результате проведённого осмотра врачом Магомедовым был поставлен диагноз: кариес дентина 4.7 зуба. Проведено лечение с применением коффердама и установкой пломбы Estelite А3.
Пломбы Estelite – это инновационный материал с высокими эстетическими показателями, который предназначен для зубов, поражённых кариесом. Estelite выглядит естественно, имеет высокий уровень прочности и быстро полимеризуется под воздействием светового излучения. Состоит из кремниево-циркониевого и композитного наполнителей.
Процесс работы
В ходе лечения врач провёл следующие манипуляции:
- инфильтрационная анестезия;
- механическая обработка полости под контролем кариес-маркера;
- медикаментозная обработка;
- постановка пломбы из композита Estelite.
Улыбку создавали
Другие работы

Тотальная реабилитация при помощи диоксид-циркониевых коронокСмотреть работуСрок лечения:4 визитаСумма лечения:297 000 р.
Лечение кариеса с применением светоотверждаемого композита EsteliteСмотреть работуСрок лечения:1 часСумма лечения:6 500 руб.
Мы работаем с 1988 года
Все наши специалисты — профессионалы своего дела. Гарантируем, вам будет оказана квалифицированная помощь.
Высокое качество лечения
Используем лучшие материалы и оборудование. В качестве работы вы можете убедиться, ознакомившись с отзывами.
Доступные цены
Мы стараемся сократить ваши расходы, поэтому регулярно организуем для вас выгодные акции и скидки.
Тёплое отношение
Вам больше не нужно бояться стоматологов. Наши специалисты гарантируют комфортное и безболезненное лечение.
Удобное расположение
6 филиалов в 10 минутах ходьбы от метро в разных районах Санкт-Петербурга. Мы всегда рады вас видеть!
Сервис онлайн-записи
Теперь вы можете записаться к врачу быстро и легко. Просто выберите удобное время и оставьте заявку на приём!


