До и после лечения


Осмотр и диагностика
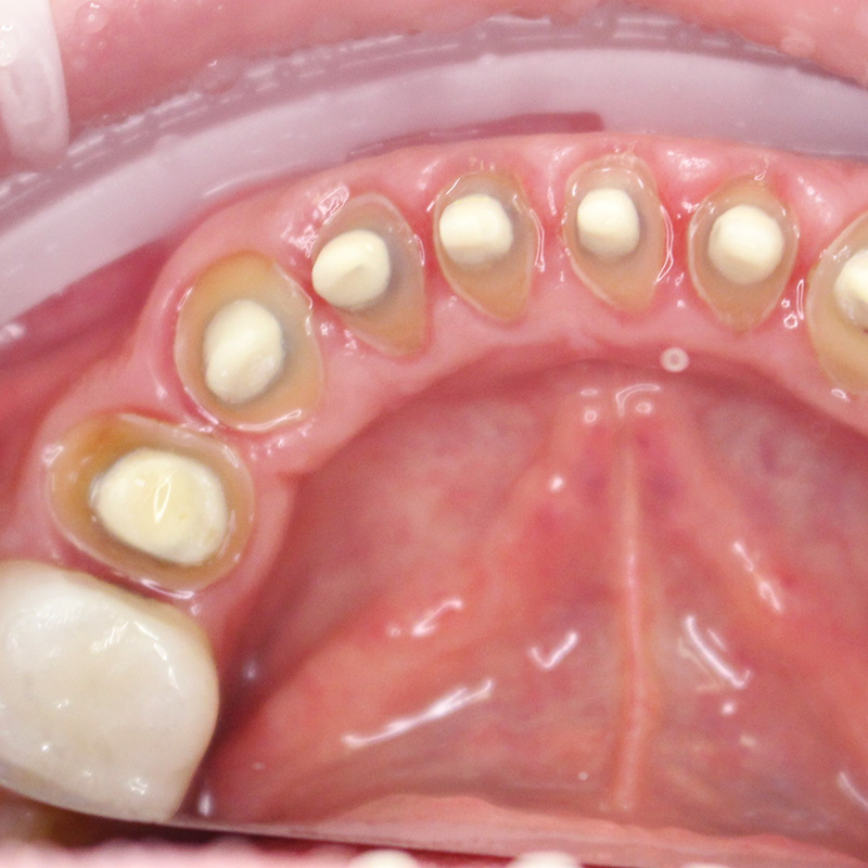
В нашу клинику обратился пациент с жалобами частично-разрушенные зубы нижней челюсти.
На момент осмотра была выявлена необходимость в протезировании 9-ти нижних зубов.
Приём проводил наш врач-ортопед Мельников Алексей Владимирович. На консультации совместно с пациентом было решено провести протезирование коронками на основе диоксида циркония.
Циркониевые коронки — самый эстетичный вариант для восстановления передних зубов. Помимо привлекательного внешнего вида и схожести с натуральной эмалью зубов, они обладают высокими прочностными характеристиками.
Процесс работы
В ходе процедуры были проведены следующие работы:
- профессиональная гигиена полости рта;
- пролечивание зубов и укрепление их культевыми вкладками с керамической облицовкой;
- снятие слепков с обеих челюстей;
- установка диоксид-циркониевых коронок на зубы 35-44.
Улыбку создавали
Другие работы

Установка протеза на верхнюю челюсть через 3 дня после имплантацииСмотреть работуСрок лечения:2 визитаСумма лечения:388 000 р.
Устранение кровоточивости дёсен и налёта на зубахСмотреть работуСрок лечения:1 визитСумма лечения:3 850 р.
Мы работаем с 1988 года
Все наши специалисты — профессионалы своего дела. Гарантируем, вам будет оказана квалифицированная помощь.
Высокое качество лечения
Используем лучшие материалы и оборудование. В качестве работы вы можете убедиться, ознакомившись с отзывами.
Доступные цены
Мы стараемся сократить ваши расходы, поэтому регулярно организуем для вас выгодные акции и скидки.
Тёплое отношение
Вам больше не нужно бояться стоматологов. Наши специалисты гарантируют комфортное и безболезненное лечение.
Удобное расположение
6 филиалов в 10 минутах ходьбы от метро в разных районах Санкт-Петербурга. Мы всегда рады вас видеть!
Сервис онлайн-записи
Теперь вы можете записаться к врачу быстро и легко. Просто выберите удобное время и оставьте заявку на приём!




