До и после лечения


Осмотр и диагностика
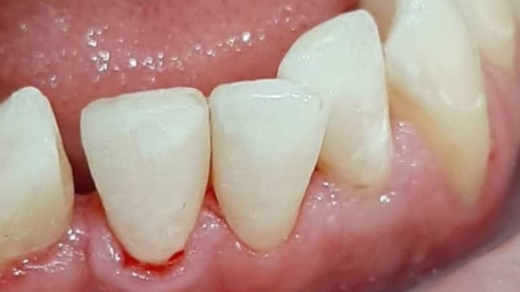
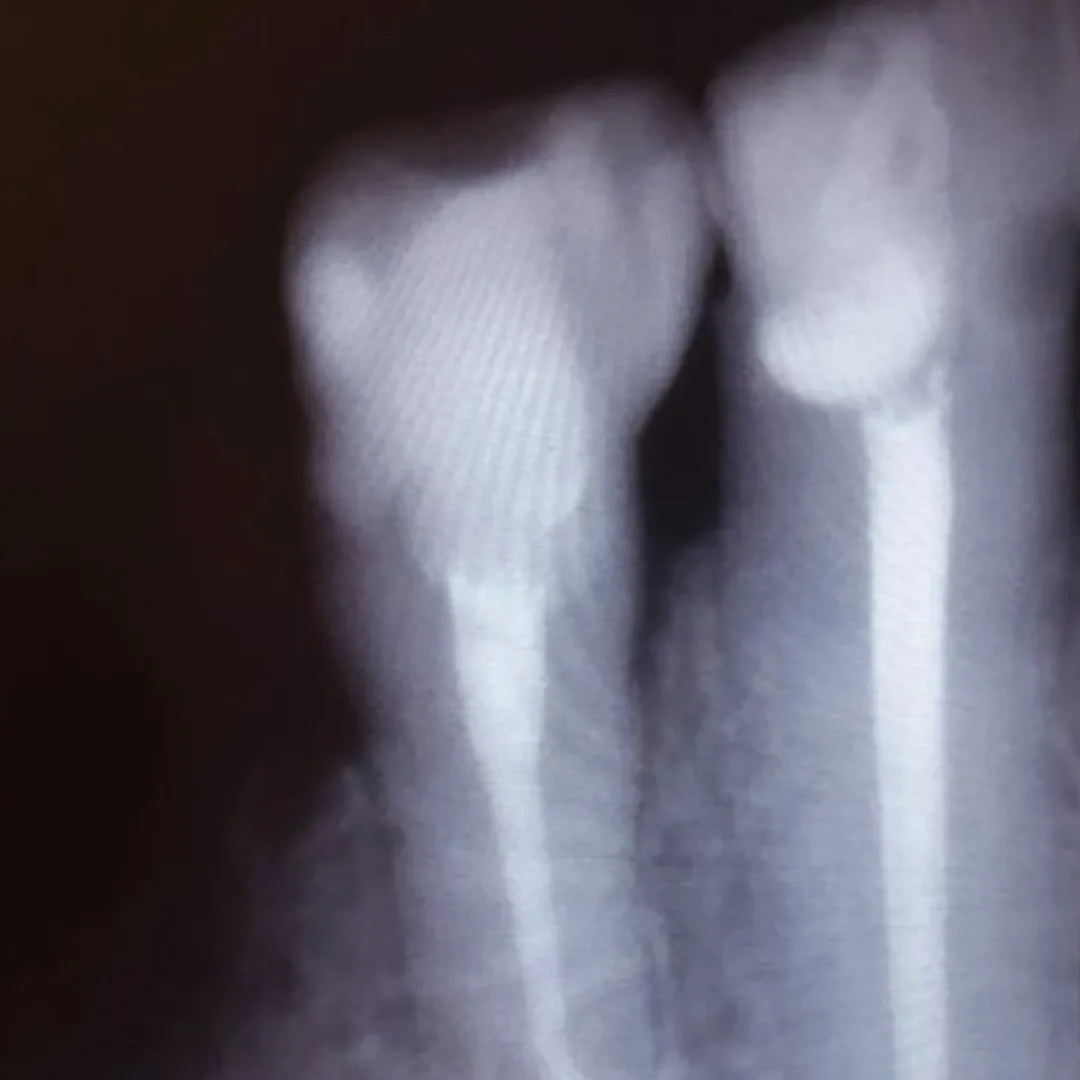
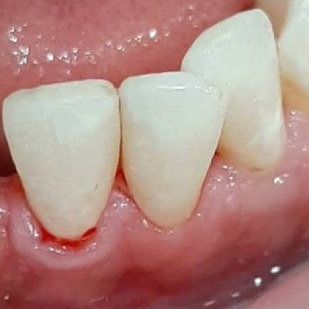
В «Стоматологию комфорта» обратилась пациентка с жалобами на эстетические дефекты 3.2, 3.1, 4.1 зубов. В процессе осмотра врач Серебрякова Мария Борисовна диагностировала хронический средний кариес зубов. Врач сделала заключение о целесообразности лечения и реставрации зуба при помощи композита Estelite.
Высокопрочный материал Estelite имеет отличные эстетические и функциональные показатели. Пломбировочная масса устойчива к истиранию и имеет широкий спектр оттенков — более 20 тонов. При правильной нагрузке и соблюдении правил гигиены полости рта срок службы пломбы — до 10-15 лет.
Процесс работы
В ходе лечения проведены следующие работы:
- введение анестетика;
- применение системы коффердам;
- механическая обработка кариозной полостей;
- медикаментозная обработка;
- наложение лечебной прокладки;
- наложение изолирующей прокладки;
- пломбирование композитом Estelite;
- шлифовка и полировка пломбы;
- обработка полости рта.
Улыбку создавали
Другие работы

Высокоэстетичная реставрация передних зубов керамикойСмотреть работуСрок лечения:2 визитаСумма лечения:75 000 р.
Лечение хронического пульпита с временной реставрацией коронковой частиСмотреть работуСрок лечения:1 визитСумма лечения:13 090 руб.
Мы работаем с 1988 года
Все наши специалисты — профессионалы своего дела. Гарантируем, вам будет оказана квалифицированная помощь.
Высокое качество лечения
Используем лучшие материалы и оборудование. В качестве работы вы можете убедиться, ознакомившись с отзывами.
Доступные цены
Мы стараемся сократить ваши расходы, поэтому регулярно организуем для вас выгодные акции и скидки.
Тёплое отношение
Вам больше не нужно бояться стоматологов. Наши специалисты гарантируют комфортное и безболезненное лечение.
Удобное расположение
6 филиалов в 10 минутах ходьбы от метро в разных районах Санкт-Петербурга. Мы всегда рады вас видеть!
Сервис онлайн-записи
Теперь вы можете записаться к врачу быстро и легко. Просто выберите удобное время и оставьте заявку на приём!


