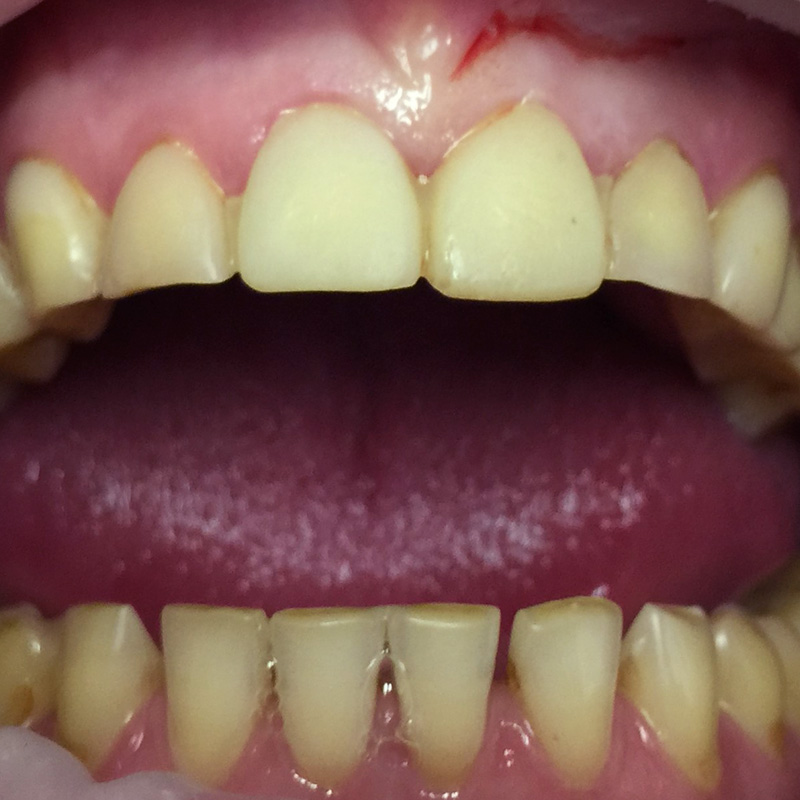
До и после лечения


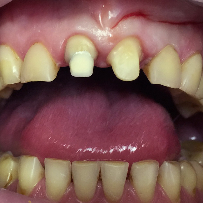
Осмотр и диагностика
В нашу клинику обратился пациент с жалобой на неудовлетворительный внешний вид двух передних зубов, которые уже были покрыты коронками.
После осмотра врач-ортопед Мельников Алексей Владимирович предложил заменить старые коронки и провести протезирование керамическими конструкциями с предварительным укреплением коронковой части зубов вкладками.
Протезирование цельнокерамическими конструкциями считается самым эстетичным вариантом реставраций. Керамика схожа с эмалью зубов, прочна и не окрашивается со временем.
Процесс работы
В ходе лечения были проведены следующие работы:
- санация полости рта;
- укрепление культевой вкладкой с керамической облицовкой;
- восстановление композитом по методике «Build-Up»;
- выбор цвета будущих конструкций с учётом дальнейшей реставрации остальных зубов винирами;
- снятие слепков и изготовление коронок;
- фиксация микропротезов в полости рта.
Улыбку создавали
Другие работы



Лечение глубокого кариеса композитом EsteliteСмотреть работуСрок лечения:60 минутСумма лечения:7 240 руб.
Мы работаем с 1988 года
Все наши специалисты — профессионалы своего дела. Гарантируем, вам будет оказана квалифицированная помощь.
Высокое качество лечения
Используем лучшие материалы и оборудование. В качестве работы вы можете убедиться, ознакомившись с отзывами.
Доступные цены
Мы стараемся сократить ваши расходы, поэтому регулярно организуем для вас выгодные акции и скидки.
Тёплое отношение
Вам больше не нужно бояться стоматологов. Наши специалисты гарантируют комфортное и безболезненное лечение.
Удобное расположение
6 филиалов в 10 минутах ходьбы от метро в разных районах Санкт-Петербурга. Мы всегда рады вас видеть!
Сервис онлайн-записи
Теперь вы можете записаться к врачу быстро и легко. Просто выберите удобное время и оставьте заявку на приём!




