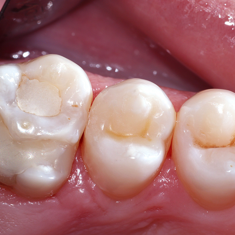
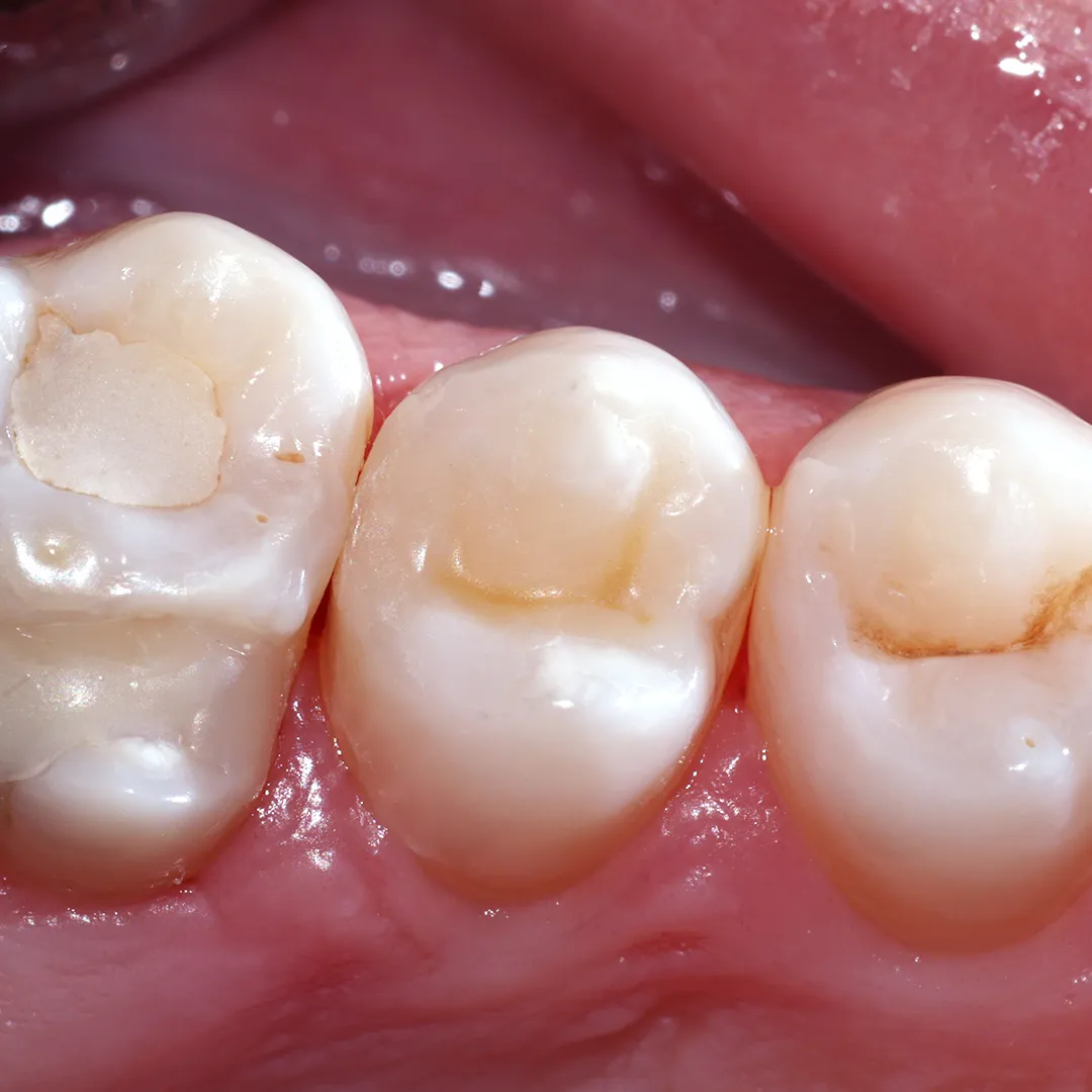
До и после лечения


Осмотр и диагностика
Пациент обратился в «Стоматологию Комфорта» с жалобами на постоянное застревание пищи между зубами верхней челюсти с правой стороны. После осмотре стоматолог Галухина Карина Николаевна обнаружила кариес дентина зуба 1.6 и поставила соответствующий диагноз. Врачом было принято решение о проведении лечения с применением фотополимерного композита Estelite.
Материал Estelite применяется для пломбирования и реставрации зубов. Высокие показатели отверждаемости и скорости полимеризации кремние-цирокониевого композита — гарантия быстрого и качественного лечения, надёжных пломб и совершенных эстетических показателей после восстановления. Композитная масса устойчива к изнашиванию и усадке в процессе эксплуатации.
Процесс работы
В ходе лечения проведены следующие работы:
- введение анестетика;
- механическая и медикаментозная обработка зуба 1.6 под контролем кариес-маркера;
- наложение лечебной прокладки;
- наложение изолирующей прокладки;
- пломбировка зуба композитом Estelite.
Улыбку создавали
Другие работы

Лечение кариеса зуба 1.7. с нанесением пломбировочного материала Filtek PosteriorСмотреть работуСрок лечения:90 минутСумма лечения:6 000 руб.
Лечение глубокого кариеса зубов 44 и 45 с использованием композита светового отверждения Estelite в «Стоматологии Комфорта»: фото до и послеСмотреть работуСрок лечения:90 минутСумма лечения:12 810 руб.
Мы работаем с 1988 года
Все наши специалисты — профессионалы своего дела. Гарантируем, вам будет оказана квалифицированная помощь.
Высокое качество лечения
Используем лучшие материалы и оборудование. В качестве работы вы можете убедиться, ознакомившись с отзывами.
Доступные цены
Мы стараемся сократить ваши расходы, поэтому регулярно организуем для вас выгодные акции и скидки.
Тёплое отношение
Вам больше не нужно бояться стоматологов. Наши специалисты гарантируют комфортное и безболезненное лечение.
Удобное расположение
6 филиалов в 10 минутах ходьбы от метро в разных районах Санкт-Петербурга. Мы всегда рады вас видеть!
Сервис онлайн-записи
Теперь вы можете записаться к врачу быстро и легко. Просто выберите удобное время и оставьте заявку на приём!


