До и после лечения


Осмотр и диагностика
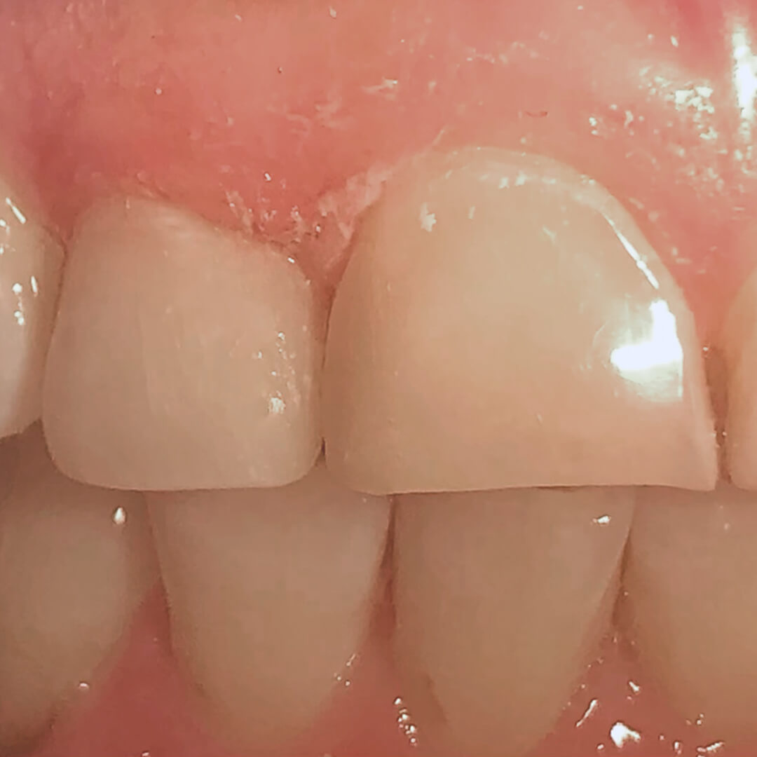
Пациент обратился в «Стоматологию Комфорта» с жалобами на эстетический недостаток передних зубов. Врач-стоматолог-терапевт Луцюк Наталья Владимировна провела осмотр и поставила диагноз: кариес дентина зубов 1.2 и 1.1. Врач приняла решение о лечении кариеса и последующем восстановлении эстетики с помощью пломбировочного материала Estelite.
Композитный материал Estelite разработан японскими учёными для комфортной и быстрой пломбировки зубных рядов. Композит отличается высокой скоростью светоотверждаемости, устойчивостью к истиранию, а также высокой эстетичностью. Мягкий материал с уникальным кремниево-циркониевым наполнителем хорошо держит форму и полируется.
Процесс работы
В ходе лечения проведены следующие работы:
- введение инфильтрационного анестетика;
- снятие пломб;
- механическая обработка кариозных полостей;
- медикаментозная обработка раствором хлоргексидина 2%;
- наложение лечебной прокладки;
- наложение изолирующей прокладки;
- установка пломбы из композита Estelite;
- шлифовка и полировка пломбы.
Улыбку создавали
Другие работы

Лечение хронического кариеса под инфильтрационной анестезиейСмотреть работуСрок лечения:60 минутСумма лечения:5 700 руб.
Исправление прикуса верхней и нижней челюстей на брекет-системе Damon QСмотреть работуСрок лечения:1,5 годаСумма лечения:148 200 р.
Мы работаем с 1988 года
Все наши специалисты — профессионалы своего дела. Гарантируем, вам будет оказана квалифицированная помощь.
Высокое качество лечения
Используем лучшие материалы и оборудование. В качестве работы вы можете убедиться, ознакомившись с отзывами.
Доступные цены
Мы стараемся сократить ваши расходы, поэтому регулярно организуем для вас выгодные акции и скидки.
Тёплое отношение
Вам больше не нужно бояться стоматологов. Наши специалисты гарантируют комфортное и безболезненное лечение.
Удобное расположение
6 филиалов в 10 минутах ходьбы от метро в разных районах Санкт-Петербурга. Мы всегда рады вас видеть!
Сервис онлайн-записи
Теперь вы можете записаться к врачу быстро и легко. Просто выберите удобное время и оставьте заявку на приём!


