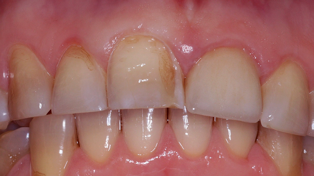
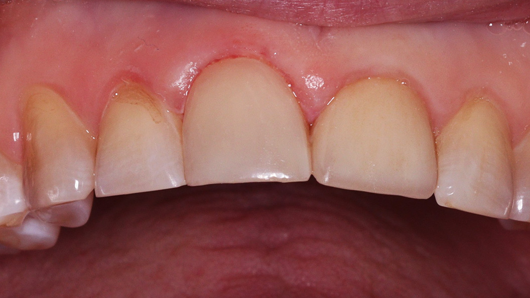
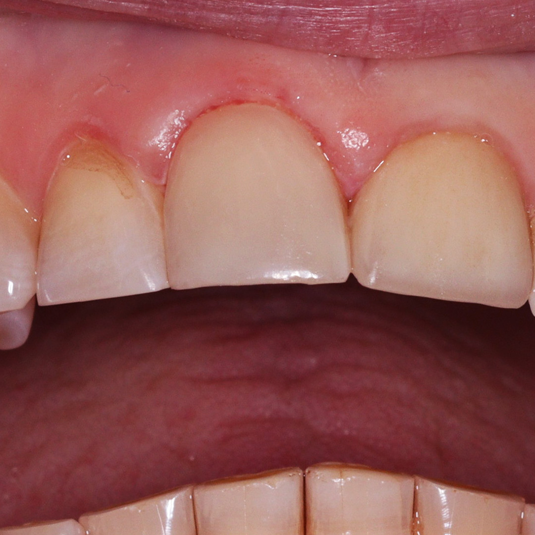
До и после лечения


Осмотр и диагностика
В «Стоматологию Комфорта» обратилась пациентка с жалобой на неудовлетворительную эстетику зуба 1.1 — резца верхней челюсти. Стоматолог-терапевт Прудникова Инна Владимировна в ходе осмотра челюсти пациента установила наличие дисплазии эмали. Рекомендована реставрация зуба светоотверждаемым композитом.
Дисплазия эмали не носит воспалительный характер, а представляет собой нарушение формирования тканей зуба. Патология влияет не только на оттенок, но и на целостность покрытия эмали. Зачастую это заболевание является наследственным. Для профилактики проявления дисплазии эмали необходимо не реже 1-2 раз в год проходить профессиональную гигиену полости рта.
Процесс работы
В ходе лечения проведены следующие работы:
- введение анестетика;
- удаление поражённых участков эмали;
- выбор подходящего оттенка;
- нанесение композитного материала Эстелайт;
- воздействие УФ-лампы до застывания композита;
- обработка полости рта.
Улыбку создавали
Другие работы

Устранение дисплазии эмали верхнего резца путём реставрации светоотверждаемым композитом ЭстелайтСмотреть работуСрок лечения:60 минутСумма лечения:8 491 руб.
Устранение кариозной полости и восстановление жевательной функции зубаСмотреть работуСрок лечения:1 визитСумма лечения:5 860 р.
Мы работаем с 1988 года
Все наши специалисты — профессионалы своего дела. Гарантируем, вам будет оказана квалифицированная помощь.
Высокое качество лечения
Используем лучшие материалы и оборудование. В качестве работы вы можете убедиться, ознакомившись с отзывами.
Доступные цены
Мы стараемся сократить ваши расходы, поэтому регулярно организуем для вас выгодные акции и скидки.
Тёплое отношение
Вам больше не нужно бояться стоматологов. Наши специалисты гарантируют комфортное и безболезненное лечение.
Удобное расположение
6 филиалов в 10 минутах ходьбы от метро в разных районах Санкт-Петербурга. Мы всегда рады вас видеть!
Сервис онлайн-записи
Теперь вы можете записаться к врачу быстро и легко. Просто выберите удобное время и оставьте заявку на приём!


